相关产品推荐更多 >

PTS Rabbit pAb(bs-19592R)-50ul/100ul/200ul
¥1180
KDM1/LSD1 Rabbit pAb, BF594 conjugated(bs-10166R-BF594)-100ul
¥2980
TNFRSF19 Rabbit pAb(bs-3852R)-50ul/100ul/200ul
¥1180
Collagen III Mouse mAb(bsm-33129M)-50ul/100ul/200ul/200ug
¥1180
Insulin Receptor alpha Rabbit pAb, APC conjugated(bs-0047R-APC)-100ul
¥2980
万千商家帮你免费找货
0 人在求购买到急需产品
- 详细信息
- 文献和实验
- 技术资料
- 应用范围:
产品信息以Bioss网站为准
- 规格:
50ul/100ul/200ul
| 规格: | 50ul | 产品价格: | ¥1180.0 |
|---|---|---|---|
| 规格: | 100ul | 产品价格: | ¥1980.0 |
| 规格: | 200ul | 产品价格: | ¥2800.0 |
| 产品编号 | bs-0108R |
| 英文名称 | Leptin Rabbit pAb |
| 中文名称 | 瘦素抗体 |
| 英文别名 | LEP; Leptin Murine Obesity Homolog; Leptin Precursor Obesity Factor; OB; Obese Protein; Obesity; Obesity factor; Obesity homolog mouse; Obesity Murine Homolog Leptin; OBS; LEP_MOUSE. |
| 产品应用 | IHC-P=1:100-500, IHC-F=1:100-500, IF=1:100-500 Not yet tested in other applications. |
| 交叉反应 | Mouse, Rat (Dog, Pig, Cow, Horse) |
| 抗体来源 | Rabbit |
| 免疫原 | KLH conjugated synthetic peptide derived from mouse Leptin |
| 亚型 | IgG |
| 性状 | Liquid |
| 纯化方法 | affinity purified by Protein A |
| 克隆类型 | Polyclonal |
| 理论分子量 | 16 kDa |
| 浓度 | 1mg/ml |
| 储存液 | 0.01M TBS (pH7.4) with 1% BSA, 0.02% Proclin300 and 50% Glycerol. |
| 研究领域 | Cardiovascular > Atherosclerosis > Diabetes associated Metabolism > Types of disease > Cancer Metabolism > Types of disease > Heart disease Metabolism > Types of disease > Obesity Neuroscience > Neurology process > Metabolism Signal Transduction > Growth Factors/Hormones > Hormones Stem Cells > Mesenchymal Stem Cells > Adipogenesis |
| 亚基 | Interacts with SIGLEC6. |
| 亚细胞定位 | Secreted. |
| 相似性 | Belongs to the leptin family. |
| 功能 | May function as part of a signaling pathway that acts to regulate the size of the body fat depot. An increase in the level of LEP may act directly or indirectly on the CNS to inhibit food intake and/or regulate energy expenditure as part of a homeostatic mechanism to maintain constancy of the adipose mass. |
| 保存条件 | Shipped at 4℃. Store at -20℃ for one year. Avoid repeated freeze/thaw cycles. |
| 注意事项 | This product as supplied is intended for research use only, not for use in human, therapeutic or diagnostic applications. |
| 背景资料 | Leptin, the product of the ob (obese) gene, is a 16kD protein consisting of 146 amino acid residues. Leptin is produced in the adipose tissue, and is considered to play an important role in appetite control, fat metabolism and regulation of body weight. It targets the central nervous system, particularly hypothalamus, affecting food intake. Leptin levels are high in most obese individuals. Studies have shown that it may also influence reproductive function. |
| 应用 | 推荐稀释比例 |
| {IHC-P} | {1:100-500} |
| {IHC-F} | {1:100-500} |
| {IF} | {1:100-500} |

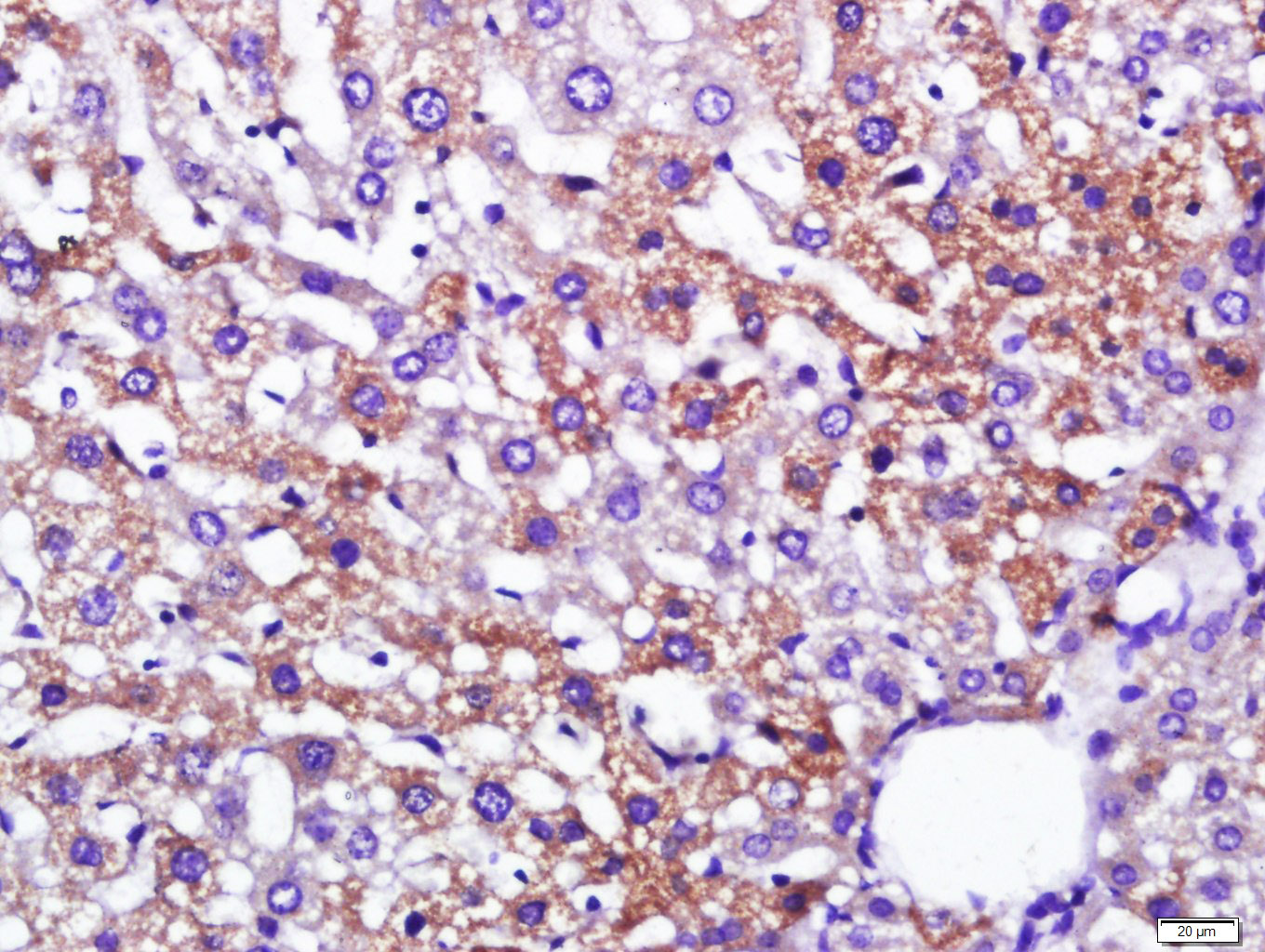
Antigen retrieval: citrate buffer ( 0.01M, pH 6.0 ), Boiling bathing for 15min; Block endogenous peroxidase by 3% Hydrogen peroxide for 30min; Blocking buffer (normal goat serum,C-0005) at 37℃ for 20 min;
Incubation: Anti-Leptin Polyclonal Antibody, Unconjugated(bs-0108R) 1:500, overnight at 4°C, followed by conjugation to the secondary antibody(SP-0023) and DAB(C-0010) staining

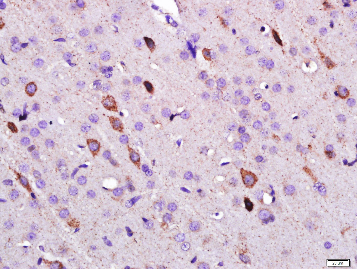
Antigen retrieval: citrate buffer ( 0.01M, pH 6.0 ), Boiling bathing for 15min; Block endogenous peroxidase by 3% Hydrogen peroxide for 30min; Blocking buffer (normal goat serum,C-0005) at 37℃ for 20 min;
Incubation: Anti-Leptin Polyclonal Antibody, Unconjugated(bs-0108R) 1:500, overnight at 4°C, followed by conjugation to the secondary antibody(SP-0023) and DAB(C-0010) staining
风险提示:丁香通仅作为第三方平台,为商家信息发布提供平台空间。用户咨询产品时请注意保护个人信息及财产安全,合理判断,谨慎选购商品,商家和用户对交易行为负责。对于医疗器械类产品,请先查证核实企业经营资质和医疗器械产品注册证情况。
文献和实验[IF={{ 5.065 }}] {Lin Zhu. et al. Leptin Gene Targeted Editing in ob/ob Mouse Adipose Tissue Based on the CRISPR/Cas9 System. J Genet Genomics. 2021 Mar;:} {IHC,ICC} {Mouse}
[IF={{ 4.9 }}] {Jungmin Lee. et al. Effects of Environmental Noise Stress on Mouse Metabolism. INT J MOL SCI. 2024 Jan;25(20):10985} {IHC} {Mouse}
= NAL), appears to form upon oxidative cyclization of the nonfluorescent 2:1 lysine-HNE Michael adduct-Schiff base cross-link (Scheme 1). Polyclonal antibody (PAb) to the NAL-HNE fluorophore was raised in rabbit and found to be highly specific
进口分装 F0106 可溶性细胞间粘附分子-2(sICAM-2) ELISA 48T/96T 1200/2000 进口分装 F0107 干扰素- a (IFN- a ) ELISA 48T/96T 1200/2000 进口分装 F0108 干扰素- b (IFN- b ) ELISA 48T/96T 1200/2000 进口分装 F0109 ★ 干扰素-r(IFN-r) ELISA 48T/96T 1000/1800 进口
进口分装 F0106 可溶性细胞间粘附分子-2(sICAM-2) ELISA 48T/96T 1200/2000 进口分装 F0107 干扰素- a (IFN- a ) ELISA 48T/96T 1200/2000 进口分装 F0108 干扰素- b (IFN- b ) ELISA 48T/96T 1200/2000 进口分装 F0109 ★ 干扰素-r(IFN-r) ELISA 48T/96T 1000/1800 进口
技术资料暂无技术资料 索取技术资料






