相关产品推荐更多 >

LBP Rabbit pAb, PerCP conjugated(bs-17113R-PerCP)-100ul
¥2980
VWF Rabbit pAb, APC-Cy7 conjugated(bs-20428R-APC-Cy7)-100ul
¥2980
5T4 Recombinant Rabbit mAb(bsm-52422R)-50ul/100ul/25ul
¥800
Anti-4-1BB & PD-L1 Reference Antibody (Acasunlimab Biosimilar)(BIO0997SM)-100ug/1mg/5mg
¥2160
phospho-Histone H3 (Thr11) Rabbit pAb(bs-60070R)-50ul/100ul
¥1580
万千商家帮你免费找货
0 人在求购买到急需产品
- 详细信息
- 询价记录
- 文献和实验
- 技术资料
- 应用范围:
产品信息以Bioss网站为准
- 规格:
50ul/100ul/200ul
| 规格: | 50ul | 产品价格: | ¥1180.0 |
|---|---|---|---|
| 规格: | 100ul | 产品价格: | ¥1980.0 |
| 规格: | 200ul | 产品价格: | ¥2800.0 |
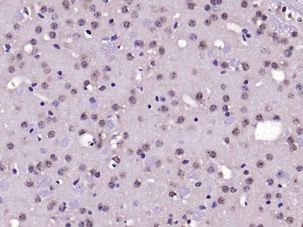
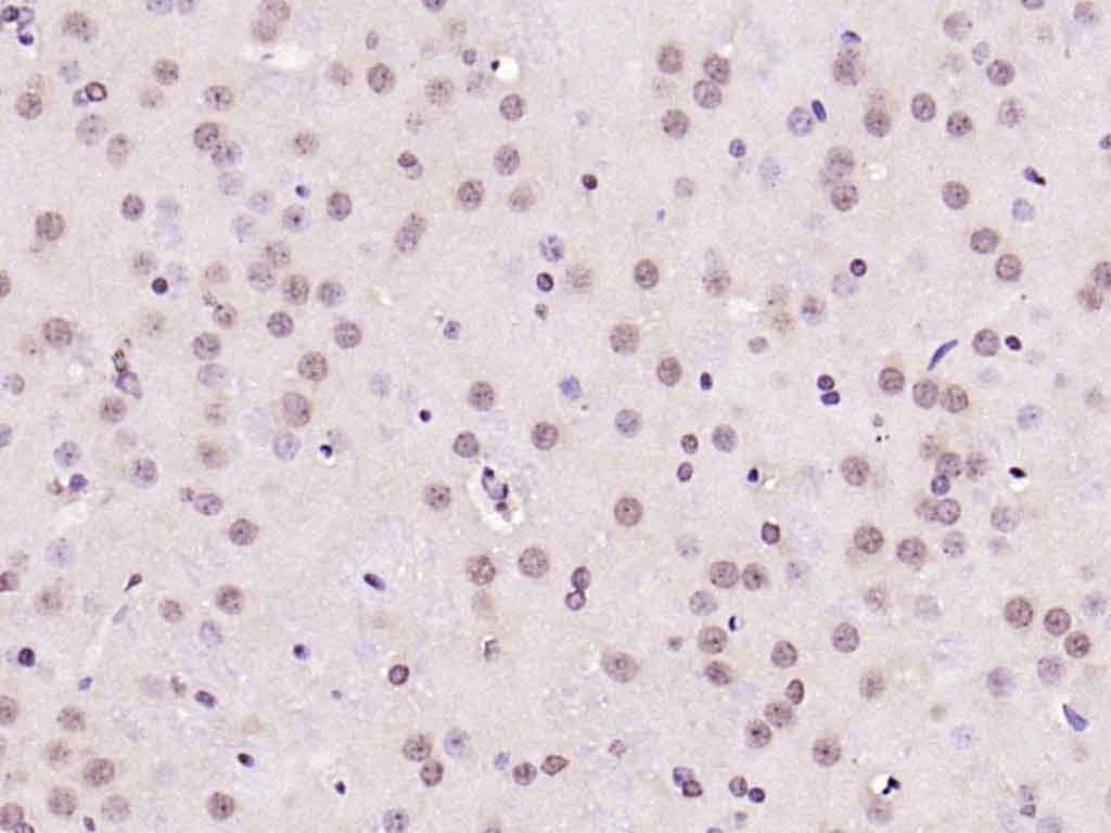
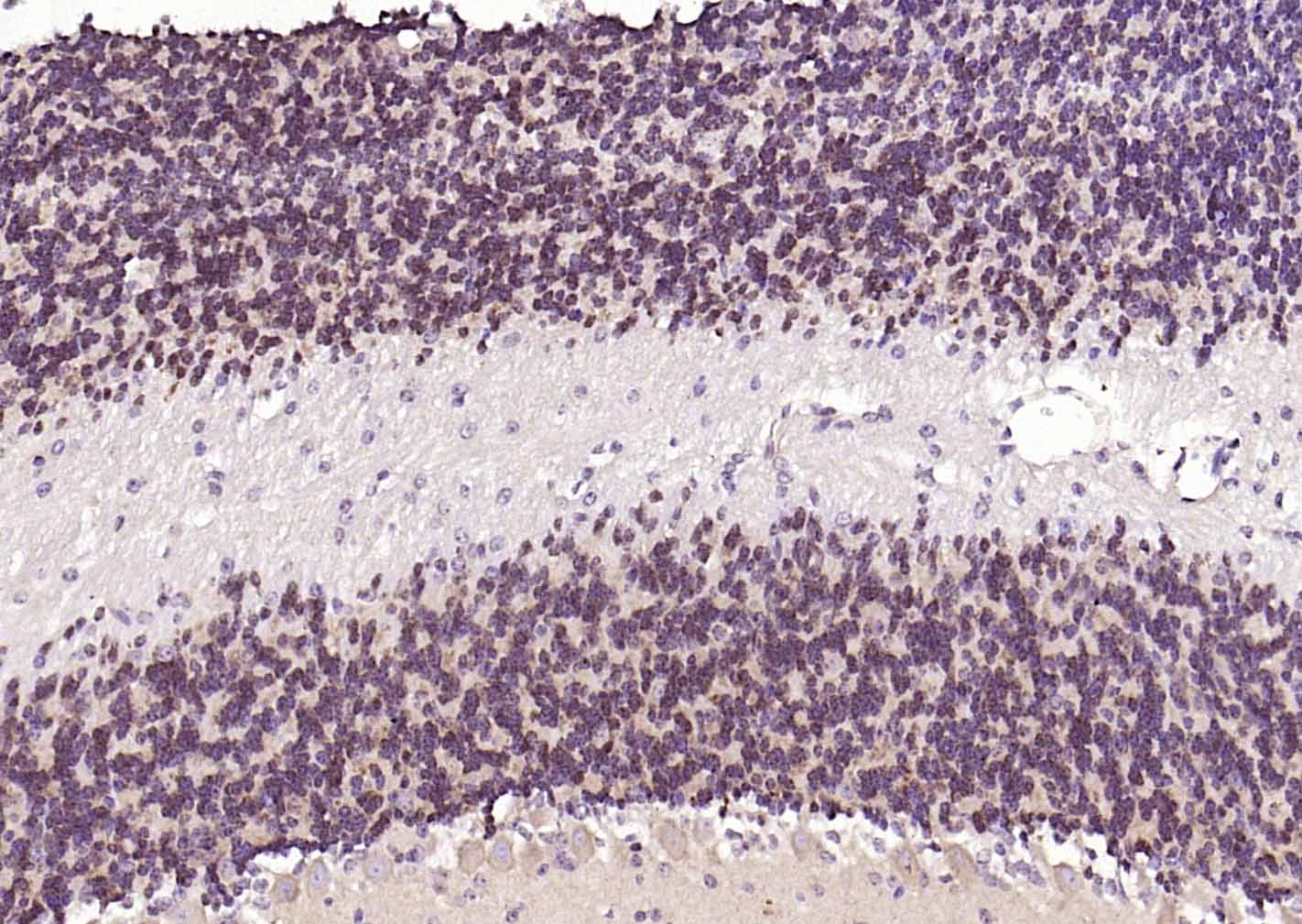
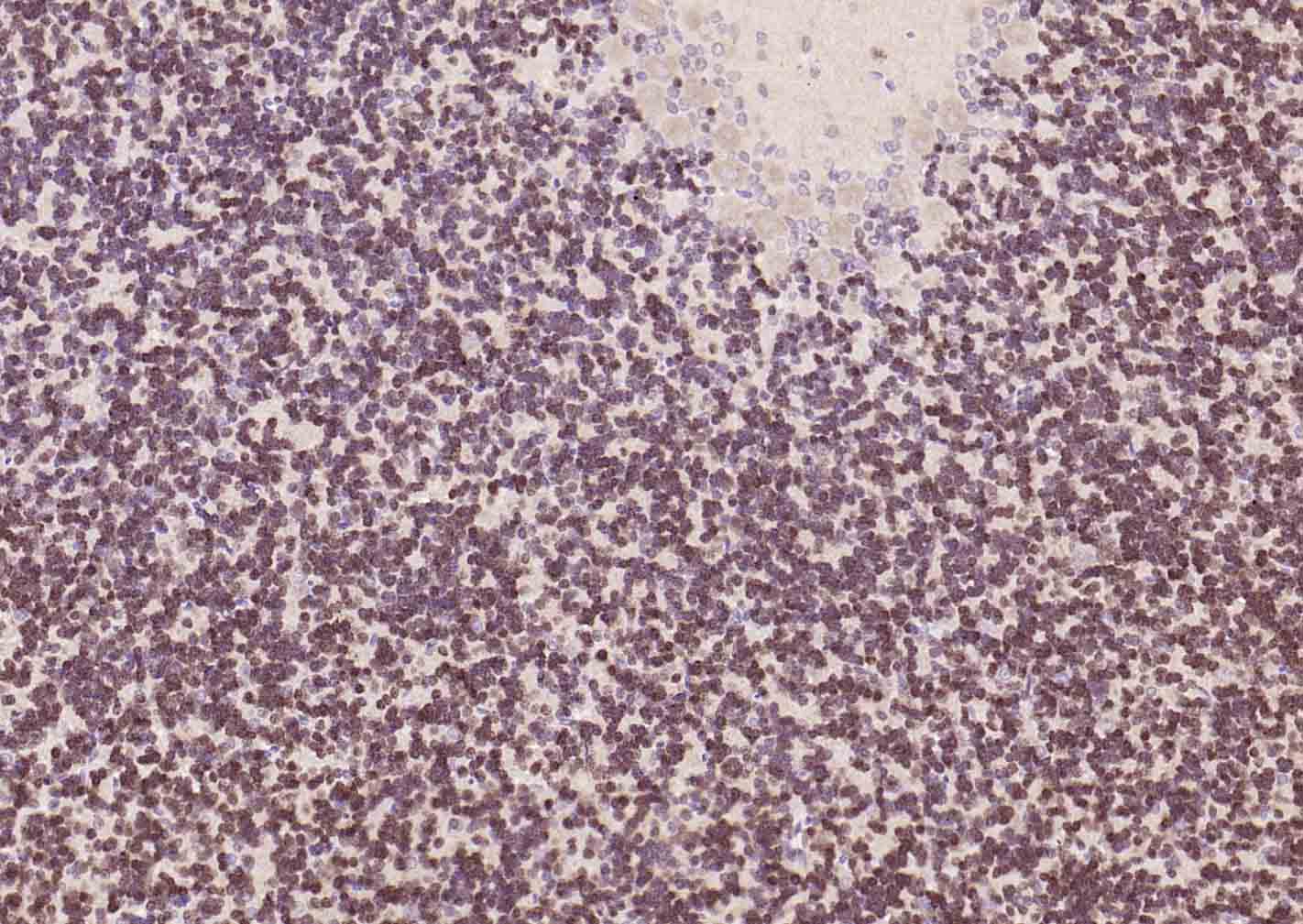
| 产品编号 | bs-1613R |
| 英文名称 | NeuN Rabbit pAb |
| 中文名称 | 神经元核抗原抗体 |
| 英文别名 | RFOX3_HUMAN; RNA binding protein fox-1 homolog 3; RBFOX3; Fox-1 homolog C; Neuronal nuclei antigen(NeuN antigen); FOX3; FOX-3; HRNBP3; |
| 产品应用 | WB=1:500-2000, IHC-P=1:100-500, IHC-F=1:100-500, IF=1:100-500 Not yet tested in other applications. |
| 交叉反应 | Mouse, Rat, cerebellum, cerebellum, cerebellum, cerebellum, cerebellum, cerebellum, cerebellum (Human, Dog, Cow, Horse) |
| 抗体来源 | Rabbit |
| 免疫原 | KLH conjugated synthetic peptide derived from human NeuN |
| 亚型 | IgG |
| 性状 | Liquid |
| 纯化方法 | affinity purified by Protein A |
| 克隆类型 | Polyclonal |
| 理论分子量 | 34 kDa |
| 浓度 | 1mg/ml |
| 储存液 | 0.01M TBS (pH7.4) with 1% BSA, 0.02% Proclin300 and 50% Glycerol. |
| 研究领域 | Epigenetics and Nuclear Signaling > Transcription > Domain Families > Forkhead Box > Other FOXes Epigenetics and Nuclear Signaling > Transcription > Transcription Factors Neuroscience > Cell Type Marker > Neuron marker > Soma marker Signal Transduction > Antibodies > neun Tags & Cell Markers > Cell Type Markers > Neuroscience Markers > Neuronal |
| 亚细胞定位 | Nucleus. Cytoplasm. |
| 组织特异性 | Expressed in activated, but not resting, CD4+ T-cells and activated monocytes. |
| 相似性 | Contains 1 RRM (RNA recognition motif) domain. |
| 功能 | RNA-binding protein that regulates alternative splicing events. |
| 保存条件 | Shipped at 4℃. Store at -20℃ for one year. Avoid repeated freeze/thaw cycles. |
| 注意事项 | This product as supplied is intended for research use only, not for use in human, therapeutic or diagnostic applications. |
| 背景资料 | This gene encodes a member of the RNA-binding FOX protein family which is involved in the regulation of alternative splicing of pre-mRNA. The protein has an N-terminal proline-rich region, an RNA recognition motif (RRM) domain, and a C-terminal alanine-rich region. This gene produces the neuronal nuclei (NeuN) antigen that has been widely used as a marker for post-mitotic neurons. This gene has its highest expression in the central nervous system and plays a prominent role in neural tissue development and regulation of adult brain function. Mutations in this gene have been associated with numerous neurological disorders. Alternative splicing of this gene results in multiple transcript variants encoding distinct isoforms. [provided by RefSeq, May 2017] |
| 应用 | 推荐稀释比例 |
| {WB} | {1:500-2000} |
| {IHC-P} | {1:100-500} |
| {IHC-F} | {1:100-500} |
| {IF} | {1:100-500} |

Lane 1: Cerebrum (Mouse) Lysate at 40 ug
Lane 2: Cerebellum (Mouse) Lysate at 40 ug
Primary:
Anti-NeuN (bs-1613R) at 1/1000 dilution
Secondary: IRDye800CW Goat Anti-Rabbit IgG at 1/20000 dilution
Predicted band size: 34 kD
Observed band size: 46/50 kD




风险提示:丁香通仅作为第三方平台,为商家信息发布提供平台空间。用户咨询产品时请注意保护个人信息及财产安全,合理判断,谨慎选购商品,商家和用户对交易行为负责。对于医疗器械类产品,请先查证核实企业经营资质和医疗器械产品注册证情况。
- 作者
- 内容
- 询问日期
文献和实验[IF={{ 7.69 }}] {Zhao, Wenjuan, et al. "Human APOE Genotype Affects Intraneuronal Aβ1-42 Accumulation in a Lentiviral Gene Transfer Model." Human Molecular Genetics (2013): ddt525.} {Other} {="Mouse"}
[IF={{ 5.62 }}] {Derya Kaya. et al. Allopurinol attenuates repeated traumatic brain injury in old rats: A preliminary report. EXP NEUROL. 2022 Nov;357:114196} {IHC} {Rat}
[IF={{ 5.2 }}] {Zhao, Wenjuan, et al. "Aging reduces glial uptake and promotes extracellular accumulation of Aβ from a lentiviral vector." Frontiers in Aging Neuroscience 6 (2014): 210.} {IHC} {="Mouse"}
[IF={{ 5.195 }}] {Lu Hong. et al. Investigation of Naoluoxintong on the neural stem cells by facilitating proliferation and differentiation in vitro and on protecting neurons by up-regulating the expression of nestin in MCAO rats. J ETHNOPHARMACOL. 2022 Sep;:115684} {WB} {Rat}
[IF={{ 4.679 }}] {Junting Xiao. et al. Arsenite induces ferroptosis in the neuronal cells via activation of ferritinophagy. Food Chem Toxicol. 2021 Mar;:112114} {IF} {Mouse}
= NAL), appears to form upon oxidative cyclization of the nonfluorescent 2:1 lysine-HNE Michael adduct-Schiff base cross-link (Scheme 1). Polyclonal antibody (PAb) to the NAL-HNE fluorophore was raised in rabbit and found to be highly specific
/96T 2000/3000 进口分装 F0021 骨成型蛋白-9(BMP-9) ELISA 48T/96T 2000/3000 进口分装 F0022 BMP-R1A ELISA 48T/96T 2000/3000 进口分装 F0023 BMP-R2 ELISA 48T/96T 2000/3000 进口分装 F0024 BTC ELISA 48T/96T 2000/3100 进口分装 F0030 CAE-Ab ELISA 96
/96T 2000/3000 进口分装 F0021 骨成型蛋白-9(BMP-9) ELISA 48T/96T 2000/3000 进口分装 F0022 BMP-R1A ELISA 48T/96T 2000/3000 进口分装 F0023 BMP-R2 ELISA 48T/96T 2000/3000 进口分装 F0024 BTC ELISA 48T/96T 2000/3100 进口分装 F0030 CAE-Ab ELISA 96
技术资料暂无技术资料 索取技术资料






