相关产品推荐更多 >
万千商家帮你免费找货
0 人在求购买到急需产品
- 详细信息
- 文献和实验
- 技术资料
- 应用范围:
产品信息以Bioss网站为准
- 规格:
50ul/100ul/200ul/200ug
| 规格: | 50ul | 产品价格: | ¥1180.0 |
|---|---|---|---|
| 规格: | 100ul | 产品价格: | ¥1980.0 |
| 规格: | 200ul | 产品价格: | ¥2800.0 |
| 规格: | 200ug | 产品价格: | ¥5600.0 |
| 产品编号 | bsm-33192M |
| 英文名称 | GAP43 Mouse mAb |
| 中文名称 | 神经生长相关蛋白43单克隆抗体 |
| 英文别名 | Growth Associated Protein-43; Neuromodulin; Axonal membrane protein GAP 43; B-50; F1; GAP 43; Growth Associated Protein 43; Nerve Growth Related Peptide; Neural phosphoprotein B 50; Neuromodulin; GAP-43; pp46; NEUM_HUMAN; Protein F1; QtrA-11580; QtrA-13071. |
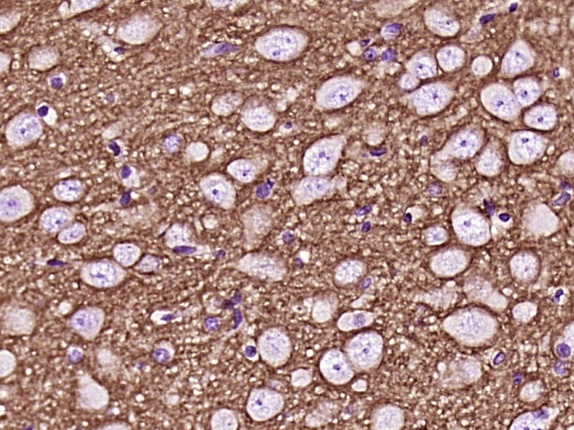
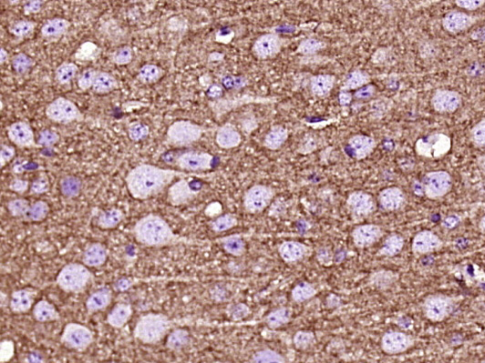
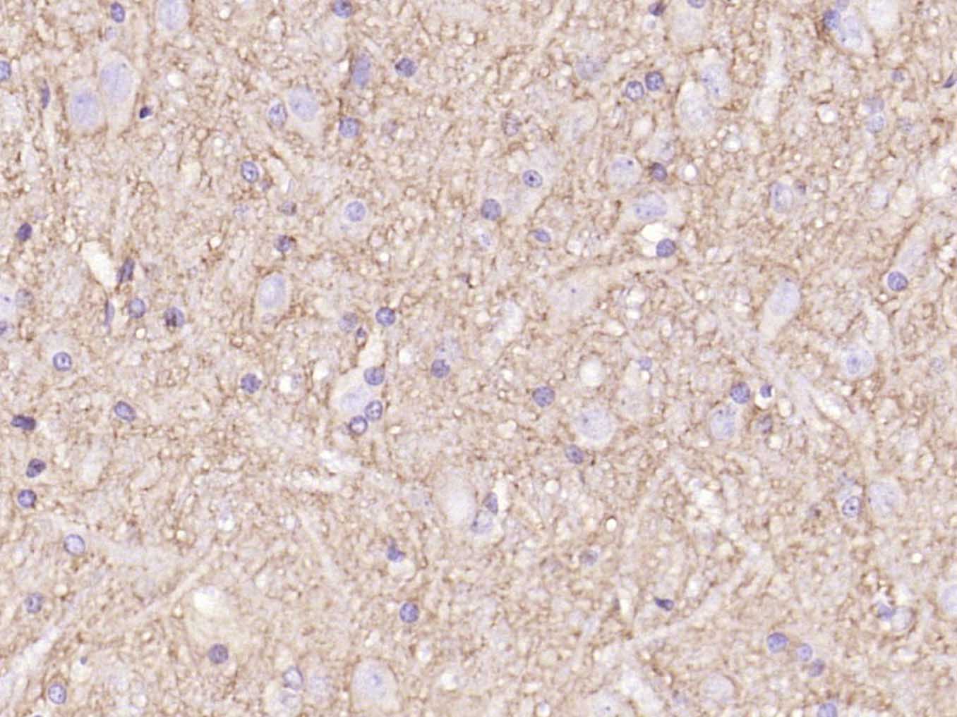
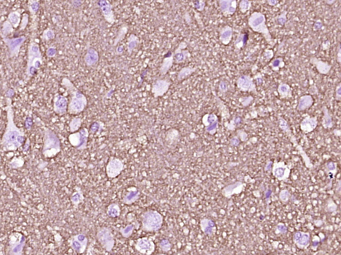
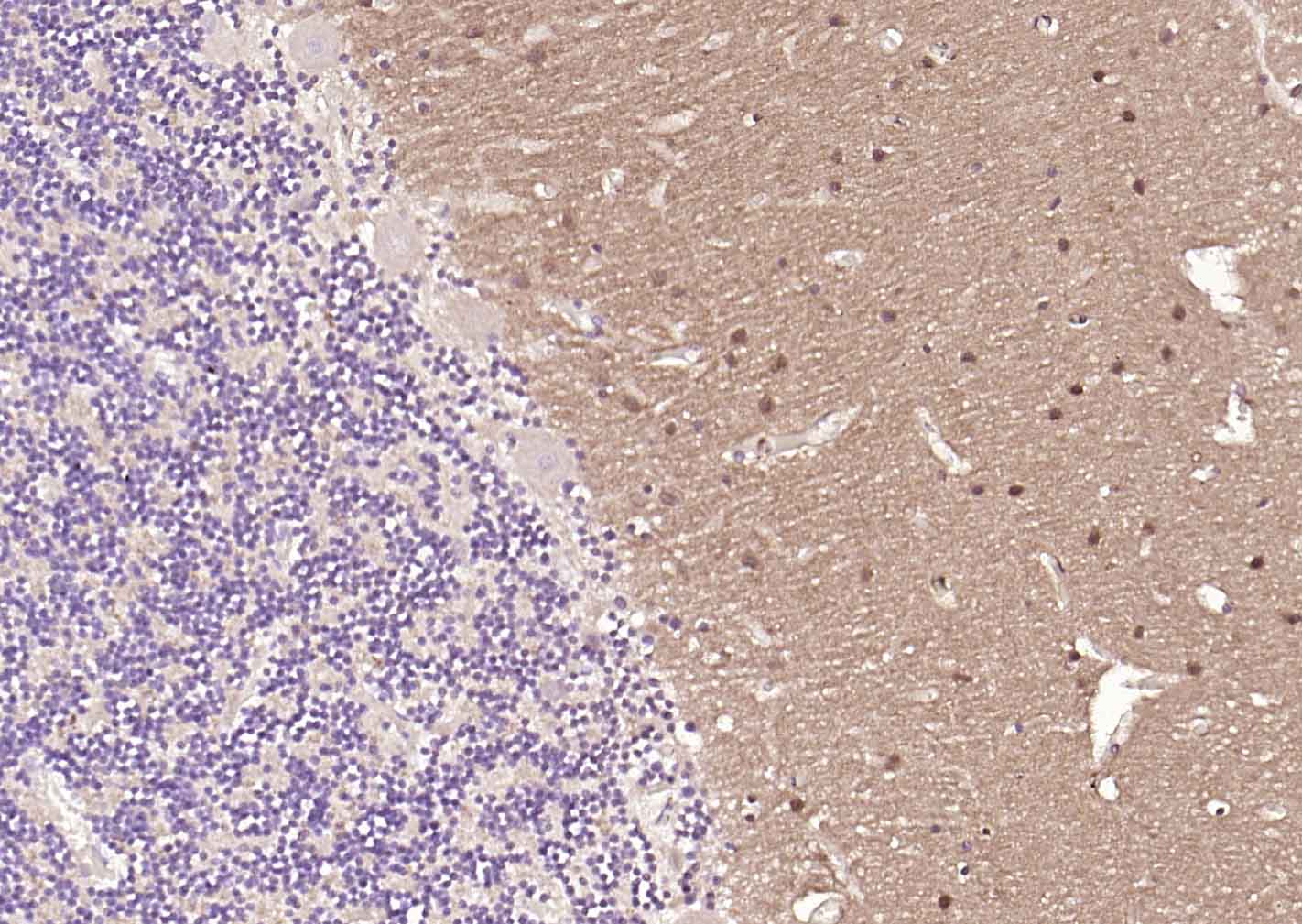
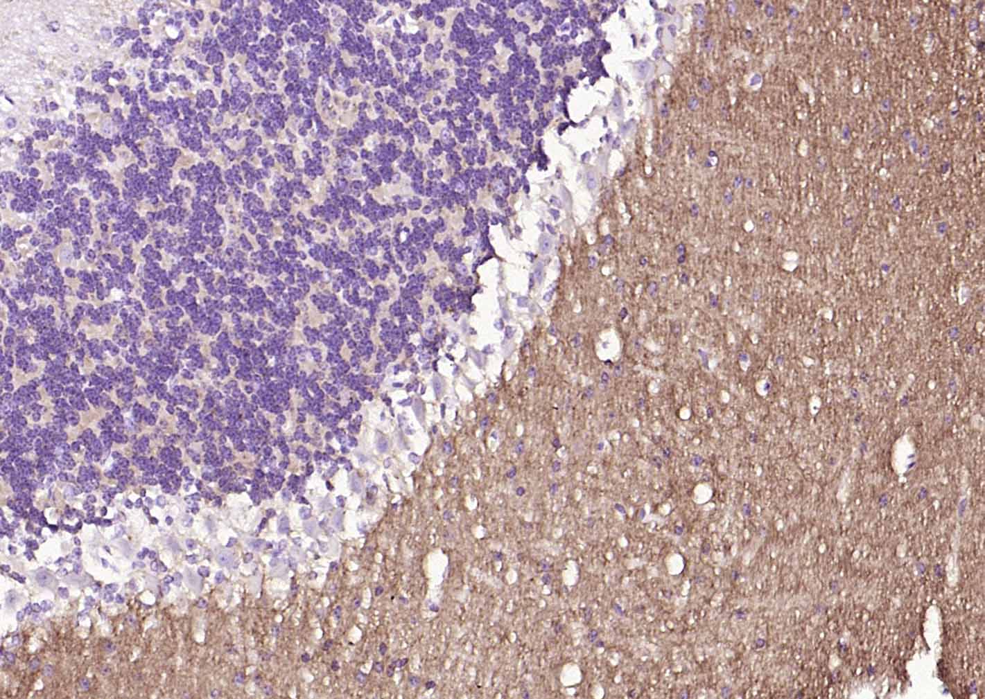
| 产品应用 | WB=1:500-2000, IHC-P=1:100-500, IHC-F=1:100-500, IF=1:100-500, ICC/IF=1:50-200 Not yet tested in other applications. |
| 交叉反应 | Human, Mouse, Rat |
| 抗体来源 | Mouse |
| 免疫原 | Recombinant human GAP43 Protein |
| 亚型 | IgG |
| 性状 | Liquid |
| 纯化方法 | affinity purified by Protein G |
| 克隆类型 | Monoclonal |
| 理论分子量 | 43 kDa |
| 浓度 | 1mg/ml |
| 储存液 | 0.01M TBS (pH7.4) with 1% BSA, 0.02% Proclin300 and 50% Glycerol. |
| 研究领域 | Neuroscience > Cell Type Marker > Neuron marker > Growth Cone Neuroscience > Cell Type Marker > Neuron marker > Synapse marker Neuroscience > Neurology process > Growth and Development > Axonal Guidance Proteins |
| 亚基 | Identified in a complex containing FGFR4, NCAM1, CDH2, PLCG1, FRS2, SRC, SHC1, GAP43 and CTTN. Binds calmodulin with a greater affinity in the absence of Ca(2+) than in its presence. |
| 亚细胞定位 | Cell membrane; Peripheral membrane protein; Cytoplasmic side. Cell projection, growth cone membrane; Peripheral membrane protein; Cytoplasmic side. Cell junction, synapse. Cell projection, filopodium membrane; Peripheral membrane protein. Note=Cytoplasmic surface of growth cone and synaptic plasma membranes. |
| 翻译后修饰 | Phosphorylated at Ser-41 by PHK. Phosphorylation of this protein by a protein kinase C is specifically correlated with certain forms of synaptic plasticity.
Palmitoylation by ARF6 is essential for plasma membrane association and axonal and dendritic filopodia induction. Deacylated by LYPLA2. |
| 相似性 | Belongs to the neuromodulin family. Contains 1 IQ domain. |
| 功能 | This protein is associated with nerve growth. It is a major component of the motile 'growth cones' that form the tips of elongating axons. Plays a role in axonal and dendritic filopodia induction. |
| 保存条件 | Shipped at 4℃. Store at -20℃ for one year. Avoid repeated freeze/thaw cycles. |
| 注意事项 | This product as supplied is intended for research use only, not for use in human, therapeutic or diagnostic applications. |
| 背景资料 | The protein encoded by this gene has been termed a 'growth' or 'plasticity' protein because it is expressed at high levels in neuronal growth cones during development and axonal regeneration. This protein is considered a crucial component of an effective regenerative response in the nervous system. Alternatively spliced transcript variants encoding distinct isoforms have been found for this gene. [provided by RefSeq, Jul 2008] |
| 应用 | 推荐稀释比例 |
| {WB} | {1:500-2000} |
| {IHC-P} | {1:100-500} |
| {IHC-F} | {1:100-500} |
| {IF} | {1:100-500} |
| {ICC/IF} | {1:50-200} |




Spinal cord(Mouse) Lysate at 40 ug
Spinal cord(Rat) Lysate at 40 ug
Primary: Anti-GAP43 (bsm-33192M) at 1/1000 dilution
Secondary: IRDye800CW Goat Anti-Mouse IgG at 1/20000 dilution
Predicted band size: 43-46 kD
Observed band size: 43 kD

Cerebrum(Rat) Lysate at 40 ug
Cerebellum(Rat) Lysate at 40 ug
Primary: Anti-GAP43 (bsm-33192M) at 1/1000 dilution
Secondary: IRDye800CW Goat Anti-Mouse IgG at 1/20000 dilution
Predicted band size: 43-46 kD
Observed band size: 43 kD

BV2 (Mouse) Lysate at 40 ug
VSC4.1(Rat) Lysate at 40 ug
Primary: Anti-GAP43 (bsm-33192M) at 1/1000 dilution
Secondary: IRDye800CW Goat Anti-Mouse IgG at 1/20000 dilution
Predicted band size: 43 kD
Observed band size: 43 kD





风险提示:丁香通仅作为第三方平台,为商家信息发布提供平台空间。用户咨询产品时请注意保护个人信息及财产安全,合理判断,谨慎选购商品,商家和用户对交易行为负责。对于医疗器械类产品,请先查证核实企业经营资质和医疗器械产品注册证情况。
文献和实验[IF={{ 7.9 }}] {Mei-feng Zhang. et al. Catalpol attenuates ischemic stroke by promoting neurogenesis and angiogenesis via the SDF-1α/CXCR4 pathway. PHYTOMEDICINE. 2024 Jan;:155362} {WB} {Rat}
[IF={{ 3.7 }}] {Sun Xuri. et al. Exogenous NT-3 Promotes Phenotype Switch of Resident Macrophages and Improves Sciatic Nerve Injury through AMPK/NF-κB Signaling Pathway. NEUROCHEM RES. 2024 Jun;:1-15} {IF,WB} {Rat}
T-Cell Activation Using mAb to CD3
One of the most common ways to assess T cell activation is to measure T cell proliferation upon in vitro stimulation of T cells via antigen or agonistic antibodies to TCR. This protocol is written as a starting point for examining in vitro proliferation of mouse
WHOLE MOUNT IN SITU HYBRIDIZATION. Mouse Embryos
. Use gloves and aerosol barrier tips. Linearize the plasmid and check the digest. Phenol extract. Extract twice with chloroform:isoamyl alcohol (24:1) Ethanol precipitate ( 1/2 vol 7.5 M NH4 OAc + 2.5 vol 100
Hybrid Resistance by Mouse NK Cells In Vitro
A purified NK cells to kill H2d target cells can be reversed by adding MAb reagents that bind to either Ly49A or H2-Dd . We and others have extended these early findings to the Ly49C and I subsets of NK cells, and have recently detected positive signaling
技术资料暂无技术资料 索取技术资料








