相关产品推荐更多 >

NEUROD1 Rabbit pAb, PerCP-Cy7 conjugated(bs-1517R-PerCP-Cy7)-100ul
¥2980
phospho-Ataxin 1 (Ser775) Rabbit pAb(bs-3008R)-50ul/100ul/200ul
¥1180
CTLA4 Rabbit pAb, PE-Cy5 conjugated(bs-10006R-PE-Cy5)-100ul
¥2980
C11ORF77 Rabbit pAb(bs-9934R)-50ul/100ul/200ul
¥1180
ZNF336/GZF1 Rabbit pAb(bs-7230R)-50ul/100ul/200ul
¥1180
万千商家帮你免费找货
0 人在求购买到急需产品
- 详细信息
- 文献和实验
- 技术资料
- 应用范围:
产品信息以Bioss网站为准
- 规格:
50ul/100ul/200ul/200ug
| 规格: | 50ul | 产品价格: | ¥1180.0 |
|---|---|---|---|
| 规格: | 100ul | 产品价格: | ¥1980.0 |
| 规格: | 200ul | 产品价格: | ¥2800.0 |
| 规格: | 200ug | 产品价格: | ¥5600.0 |
| 产品编号 | bsm-33219M |
| 英文名称 | PIK3R1 Mouse mAb |
| 中文名称 | 磷脂酰肌醇激酶单克隆抗体 |
| 英文别名 | P85A_HUMAN; Phosphatidylinositol 3-kinase regulatory subunit alpha; GRB1; PI3-kinase regulatory subunit alpha; PI3K regulatory subunit alpha; PtdIns-3-kinase regulatory subunit alpha; Phosphatidylinositol 3-kinase 85 kDa regulatory subunit alpha(PI3-kinase subunit p85-alpha; PtdIns-3-kinase regulatory subunit p85-alpha); PI 3-kinase p85α; PI 3-kinase p85 α; PI 3-kinase p85-α; SH3_PI3K_p85alpha; PI3-kinase p85 subunit alpha; phosphoinositide-3-kinase regulatory subunit 1; p85; AGM7; IMD36; p85-ALPHA; PI 3 Kinase p85 alpha; |
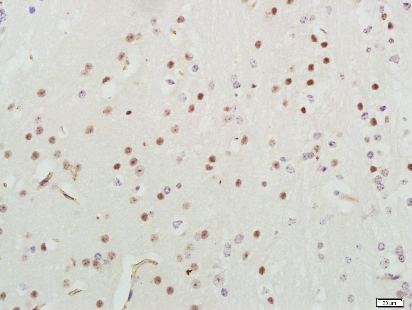
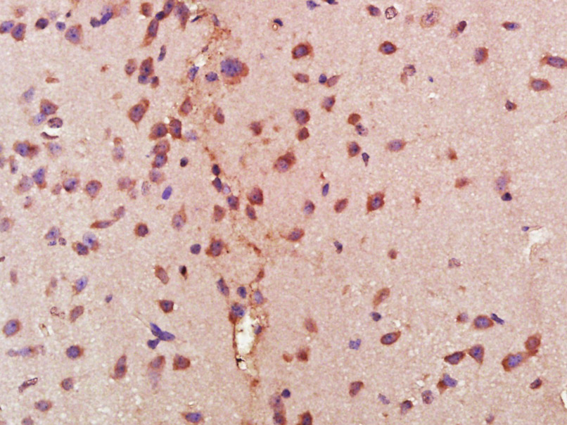
| 产品应用 | WB=1:500-2000, IHC-P=1:100-500, IHC-F=1:100-500, ICC/IF=1:100-500, IF=1:100-500 Not yet tested in other applications. |
| 交叉反应 | Human, Mouse, Rat (Pig) |
| 抗体来源 | Mouse |
| 免疫原 | Recombinant mouse PI3K p85 Protein |
| 亚型 | IgG |
| 性状 | Liquid |
| 纯化方法 | affinity purified by Protein G |
| 克隆类型 | Monoclonal |
| 理论分子量 | 80 kDa |
| 浓度 | 1mg/ml |
| 储存液 | 0.01M TBS (pH7.4) with 1% BSA, 0.02% Proclin300 and 50% Glycerol. |
| 研究领域 |
Cancer > Signal transduction Immunology > Innate Immunity > TLR Signaling Signal Transduction > Signaling Pathway > Lipid Signaling > Lipid Kinases |
| 亚基 | Heterodimer of a regulatory subunit PIK3R1 and a p110 catalytic subunit (PIK3CA, PIK3CB or PIK3CD). Interacts with FER. Interacts (via SH2 domain) with TEK/TIE2 (tyrosine phosphorylated). Interacts with PTK2/FAK1 (By similarity). Interacts with phosphorylated TOM1L1. Interacts with phosphorylated LIME1 upon TCR and/or BCR activation. Interacts with SOCS7. Interacts with RUFY3. Interacts (via SH2 domain) with CSF1R (tyrosine phosphorylated). Interacts with LYN (via SH3 domain); this enhances enzyme activity. Interacts with phosphorylated LAT, LAX1 and TRAT1 upon TCR activation. Interacts with CBLB. Interacts with HIV-1 Nef to activate the Nef associated p21-activated kinase (PAK). This interaction depends on the C-terminus of both proteins and leads to increased production of HIV. Interacts with HCV NS5A. The SH2 domains interact with the YTHM motif of phosphorylated INSR in vitro. Also interacts with tyrosine-phosphorylated IGF1R in vitro. Interacts with CD28 and CD3Z upon T-cell activation. Interacts with IRS1 and phosphorylated IRS4, as well as with NISCH and HCST. Interacts with FASLG, KIT and BCR. Interacts with AXL, FGFR1, FGFR2, FGFR3 and FGFR4 (phosphorylated). Interacts with FGR and HCK. Interacts with PDGFRA (tyrosine phosphorylated) and PDGFRB (tyrosine phosphorylated). Interacts with ERBB4 (phosphorylated). Interacts with NTRK1 (phosphorylated upon ligand-binding). |
| 亚细胞定位 | Cytoplasmic. |
| 组织特异性 | Isoform 2 is expressed in skeletal muscle and brain, and at lower levels in kidney and cardiac muscle. Isoform 2 and isoform 4 are present in skeletal muscle (at protein level). |
| 翻译后修饰 | Polyubiquitinated in T-cells by CBLB; which does not promote proteasomal degradation but impairs association with CD28 and CD3Z upon T-cell activation. Phosphorylated. Tyrosine phosphorylated in response to signaling by FGFR1, FGFR2, FGFR3 and FGFR4. Phosphorylated by CSF1R. Phosphorylated by ERBB4. Phosphorylated on tyrosine residues by TEK/TIE2. Dephosphorylated by PTPRJ. Phosphorylated by PIK3CA at Ser-608; phosphorylation is stimulated by insulin and PDGF. The relevance of phosphorylation by PIK3CA is however unclear. Phosphorylated in response to KIT and KITLG/SCF. Phosphorylated by FGR. |
| 相似性 | Belongs to the PI3K p85 subunit family. Contains 1 Rho-GAP domain. Contains 2 SH2 domains. |
| 功能 | Binds to activated (phosphorylated) protein-Tyr kinases, through its SH2 domain, and acts as an adapter, mediating the association of the p110 catalytic unit to the plasma membrane. Necessary for the insulin-stimulated increase in glucose uptake and glycogen synthesis in insulin-sensitive tissues. |
| 保存条件 | Shipped at 4℃. Store at -20℃ for one year. Avoid repeated freeze/thaw cycles. |
| 注意事项 | This product as supplied is intended for research use only, not for use in human, therapeutic or diagnostic applications. |
| 背景资料 | The enzyme phosphatidylinositol 3 kinase (PI3 kinase) is a lipid kinase that generates phosphatidylinositol 3, 4, 5-triphosphate in response to receptor activation in many signal transduction pathways. Class IA PI3Ks exist as a heterodimer of a catalytic 110 kDa (p110) and a regulatory p85 subunit (e.g. p85 alpha). p85 alpha is an adaptor molecule that regulates the activity of the catalytic p110 subunit by binding to phosphorylated receptor tyrosine kinases (RTKs) through its SH2 domain and mediating the interaction between p110 and the plasma membrane. p85 alpha is necessary for insulin-stimulated increase in glucose uptake and glycogen synthesis in insulin-sensitive tissues. |
| 应用 | 推荐稀释比例 |
| {WB} | {1:500-2000} |
| {IHC-P} | {1:100-500} |
| {IHC-F} | {1:100-500} |
| {ICC/IF} | {1:100-500} |
| {IF} | {1:100-500} |
Lane 1: Jurkat (Human) Cell Lysate at 30 ug
Lane 2: NIH/3T3(Mouse) Cell Lysate at 30 ug
Lane 3: Cerebrum (Mouse) Lysate at 40 ug
Lane 4: Cerebrum (Rat) Lysate at 40 ug
Lane 5: Heart (Mouse) Lysate at 40 ug
Lane 6: Heart (Rat) Lysate at 40 ug
Lane 7: Skeletal muscle (Mouse) Lysate at 40 ug
Lane 8: Skeletal muscle (Rat) Lysate at 40 ug
Lane 9: Spleen (Mouse) Lysate at 40 ug
Lane 10: MOLT4 (Human) Cell Lysate at 30 ug
Primary: Anti-PI 3 Kinase p85 alpha (bsm-33219M) at 1/1000 dilution
Secondary: IRDye800CW Goat Anti-Mouse IgG at 1/20000 dilution
Predicted band size: 85 kD
Observed band size: 85 kD
Primary: Anti-PI3K p85 (bsm-33219M) at 1/1000 dilution
Secondary: IRDye800CW Goat Anti-Mouse IgG at 1/20000 dilution
Predicted band size: 80 kD
Observed band size: 80 kD
风险提示:丁香通仅作为第三方平台,为商家信息发布提供平台空间。用户咨询产品时请注意保护个人信息及财产安全,合理判断,谨慎选购商品,商家和用户对交易行为负责。对于医疗器械类产品,请先查证核实企业经营资质和医疗器械产品注册证情况。
文献和实验[IF={{ 8.3 }}] {Jingjing Hu. et al. Raspberry ameliorates renal fibrosis in rats with chronic kidney disease via the PI3K/Akt pathway. PHYTOMEDICINE. 2025 May;140:156589} {WB} {Rat}
[IF={{ 6.376 }}] {Xu, Qinqin. et al. Exenatide regulates Th17/Treg balance via PI3K/Akt/FoxO1 pathway in db/db mice. MOL MED. 2022 Dec;28(1):1-14} {WB} {Mouse}
[IF={{ 4.7 }}] {Xiao-Ying Gao. et al. Molybdenum interferes with MMPs/TIMPs expression to reduce the receptivity of porcine endometrial epithelial cells. CHEM-BIOL INTERACT. 2025 Jan;405:111304} {WB} {Porcine}
[IF={{ 4.4 }}] {Liang Huang. et al. Zinc alleviates thermal stress-induced damage to the integrity and barrier function of cultured chicken embryonic primary jejunal epithelial cells via the MAPK and PI3K/AKT/mTOR signaling pathways. POULTRY SCI. 2024 Mar;:103696} {WB} {Broiler}
[IF={{ 3.8 }}] {Xin Liu. et al. Role of PI3K/AKT signaling pathway involved in self-renewing and maintaining biological properties of chicken primordial germ cells. POULTRY SCI. 2024 Aug;:104140} {WB} {Chicken}
T-Cell Activation Using mAb to CD3
One of the most common ways to assess T cell activation is to measure T cell proliferation upon in vitro stimulation of T cells via antigen or agonistic antibodies to TCR. This protocol is written as a starting point for examining in vitro proliferation of mouse
WHOLE MOUNT IN SITU HYBRIDIZATION. Mouse Embryos
. Use gloves and aerosol barrier tips. Linearize the plasmid and check the digest. Phenol extract. Extract twice with chloroform:isoamyl alcohol (24:1) Ethanol precipitate ( 1/2 vol 7.5 M NH4 OAc + 2.5 vol 100
Hybrid Resistance by Mouse NK Cells In Vitro
A purified NK cells to kill H2d target cells can be reversed by adding MAb reagents that bind to either Ly49A or H2-Dd . We and others have extended these early findings to the Ly49C and I subsets of NK cells, and have recently detected positive signaling
技术资料暂无技术资料 索取技术资料






