相关产品推荐更多 >

Visfatin Rabbit pAb, Cy5.5 conjugated(bs-0273R-Cy5.5)-100ul
¥2980
PMEL Recombinant Rabbit mAb(bsm-61122R)-50ul/100ul/25ul
¥800
Hantaan virus type II Rabbit pAb(bs-23918R)-50ul/100ul/200ul
¥1180
phospho-IKK alpha (Ser176) Rabbit pAb, HRP conjugated(bs-18127R-HRP)-100ul
¥2980
CD20L1/MS4A4A Rabbit pAb(bs-17840R)-50ul/100ul/200ul
¥1180
万千商家帮你免费找货
0 人在求购买到急需产品
- 详细信息
- 文献和实验
- 技术资料
- 应用范围:
产品信息以Bioss网站为准
- 规格:
50ul/100ul/200ul
| 规格: | 50ul | 产品价格: | ¥1180.0 |
|---|---|---|---|
| 规格: | 100ul | 产品价格: | ¥1980.0 |
| 规格: | 200ul | 产品价格: | ¥2800.0 |
| 产品编号 | bs-8699R |
| 英文名称 | SGTB Rabbit pAb |
| 中文名称 | SGTB蛋白抗体 |
| 英文别名 | beta-SGT; SGT2; Sgtb; SGTB_HUMAN; Small glutamine rich tetratricopeptide repeat(TPR) containing, beta; Small glutamine-rich protein with tetratricopeptide repeats 2; Small glutamine-rich tetratricopeptide repeat-containing protein beta. |
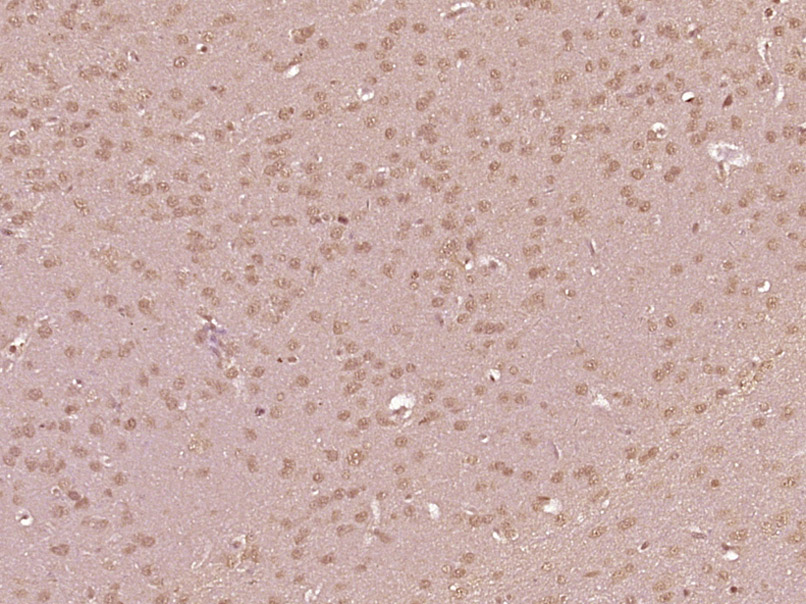
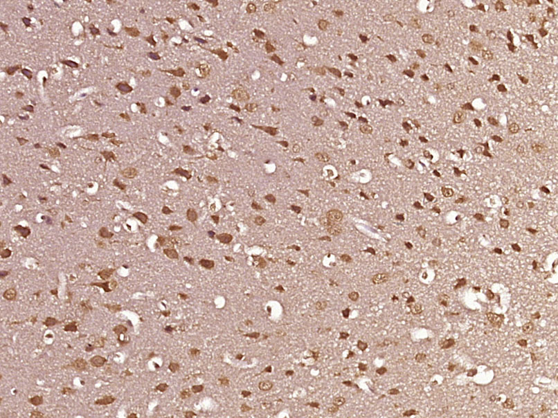
| 产品应用 | WB=1:500-2000, IHC-P=1:100-500, IHC-F=1:100-500, IF=1:100-500 Not yet tested in other applications. |
| 交叉反应 | Mouse, Rat (Human, Dog, Pig, Cow, Horse, Rabbit, Sheep) |
| 抗体来源 | Rabbit |
| 免疫原 | KLH conjugated synthetic peptide derived from human SGTB |
| 亚型 | IgG |
| 性状 | Liquid |
| 纯化方法 | affinity purified by Protein A |
| 克隆类型 | Polyclonal |
| 理论分子量 | 33 kDa |
| 浓度 | 1mg/ml |
| 储存液 | Preservative: 0.02% Proclin300, Constituents: 1% BSA, 0.01M PBS, pH7.4. |
| 研究领域 | Signal Transduction > Protein Trafficking > Chaperones > Other Chaperones |
| 亚基 | Homooligomerize. |
| 相似性 | Belongs to the SGT family. Contains 4 TPR repeats. |
| 功能 | Co-chaperone that binds directly to HSC70 and HSP70 and regulates their ATPase activity. |
| 保存条件 | Shipped at 4℃. Store at -20℃ for one year. Avoid repeated freeze/thaw cycles. |
| 注意事项 | This product as supplied is intended for research use only, not for use in human, therapeutic or diagnostic applications. |
| 应用 | 推荐稀释比例 |
| {WB} | {1:500-2000} |
| {IHC-P} | {1:100-500} |
| {IHC-F} | {1:100-500} |
| {IF} | {1:100-500} |



Brain (Mouse) Lysate at 40 ug
Brain (Mouse) Lysate at 40 ug
Primary: Anti-SGTB (bs-8699R) at 1/300 dilution
Secondary: IRDye800CW Goat Anti-Rabbit IgG at 1/20000 dilution
Predicted band size: 33 kD
Observed band size: 35 kD
风险提示:丁香通仅作为第三方平台,为商家信息发布提供平台空间。用户咨询产品时请注意保护个人信息及财产安全,合理判断,谨慎选购商品,商家和用户对交易行为负责。对于医疗器械类产品,请先查证核实企业经营资质和医疗器械产品注册证情况。
文献和实验= NAL), appears to form upon oxidative cyclization of the nonfluorescent 2:1 lysine-HNE Michael adduct-Schiff base cross-link (Scheme 1). Polyclonal antibody (PAb) to the NAL-HNE fluorophore was raised in rabbit and found to be highly specific
GE Healthcare Benzamidine Sepharose™ 6B is p-aminobenzamidine covalently attached to Sepharose 6B by the epoxy coupling method. p-Aminobenzamidine (PAB), is a synthetic inhibitor of trypsin-like serine protease. Trypsin and trypsin
Nucleic Acid Programmable Protein Arrays: Versatile Tools for Array‐Based Functional Protein Studies
.g., Sigma) 50 mg/ml bis‐sulfosuccinimdylsuberate (BS3 ;Pierce, cat. no. PI 21580) in dimethylsulfoxide (DMSO) 5 mg/ml
技术资料暂无技术资料 索取技术资料






