相关产品推荐更多 >

DYRK2 Rabbit pAb, HRP conjugated(bs-12332R-HRP)-100ul
¥2980
AKT1 Rabbit pAb(bs-0115R)-50ul/100ul/200ul
¥1180
phospho-SREBP2 (Thr334) Rabbit pAb(bs-24294R)-50ul/100ul/200ul
¥1180
GLIPR1 Rabbit pAb(bs-22736R)-50ul/100ul/200ul
¥1180
phospho-beta-Arrestin 1 (Ser412) Rabbit pAb, Biotin conjugated(bs-3048R-Bio)-100ul
¥2980
万千商家帮你免费找货
0 人在求购买到急需产品
- 详细信息
- 技术资料
- 应用范围:
产品信息以Bioss网站为准
- 规格:
50ul/100ul/200ul
| 规格: | 50ul | 产品价格: | ¥1180.0 |
|---|---|---|---|
| 规格: | 100ul | 产品价格: | ¥1980.0 |
| 规格: | 200ul | 产品价格: | ¥2800.0 |
| 产品编号 | bs-19961R |
| 英文名称 | Prickle 2 Rabbit pAb |
| 中文名称 | 刺痛感蛋白2抗体 |
| 英文别名 | PRIC2; PRIC2_HUMAN; prickle-like 2(Drosophila); prickle-like 2; Prickle-like protein 2; PRICKLE2. |
| 产品应用 | IHC-P=1:100-500, IHC-F=1:100-500, IF=1:100-500 Not yet tested in other applications. |
| 交叉反应 | Mouse (Human, Rat, Dog, Pig, Horse, Rabbit) |
| 抗体来源 | Rabbit |
| 免疫原 | KLH conjugated synthetic peptide derived from human Prickle 2 |
| 亚型 | IgG |
| 性状 | Liquid |
| 纯化方法 | affinity purified by Protein A |
| 克隆类型 | Polyclonal |
| 理论分子量 | 96 kDa |
| 浓度 | 1mg/ml |
| 储存液 | 0.01M TBS (pH7.4) with 1% BSA, 0.02% Proclin300 and 50% Glycerol. |
| 研究领域 | Epigenetics and Nuclear Signaling > Transcription > Domain Families > Zinc Finger Stem Cells > Signaling Pathways > TGF beta > Nuclear |
| 亚细胞定位 | Nucleus membrane. |
| 组织特异性 | Expressed in brain, eye and testis. Additionally in fetal brain, adult cartilage, pancreatic islet, gastric cancer and uterus tumors. |
| 相似性 | Belongs to the prickle / espinas / testin family. Contains 3 LIM zinc-binding domains. Contains 1 PET domain. |
| 保存条件 | Shipped at 4℃. Store at -20℃ for one year. Avoid repeated freeze/thaw cycles. |
| 注意事项 | This product as supplied is intended for research use only, not for use in human, therapeutic or diagnostic applications. |
| 背景资料 | This gene encodes a homolog of Drosophila prickle. The exact function of this gene is not known, however, studies in mice suggest that it may be involved in seizure prevention. Mutations in this gene are associated with progressive myoclonic epilepsy type 5. [provided by RefSeq, Dec 2011] |
| 应用 | 推荐稀释比例 |
| {IHC-P} | {1:100-500} |
| {IHC-F} | {1:100-500} |
| {IF} | {1:100-500} |

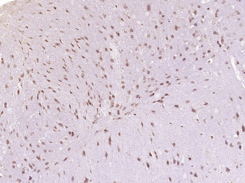
Paraformaldehyde-fixed, paraffin embedded (Mouse brain); Antigen retrieval by boiling in sodium citrate buffer (pH6.0) for 15min; Block endogenous peroxidase by 3% hydrogen peroxide for 20 minutes; Blocking buffer (normal goat serum) at 37°C for 30min; Antibody incubation with (Prickle 2) Polyclonal Antibody, Unconjugated (bs-19961R) at 1:400 overnight at 4°C, followed by operating according to SP Kit(Rabbit) (sp-0023) instructionsand DAB staining.
风险提示:丁香通仅作为第三方平台,为商家信息发布提供平台空间。用户咨询产品时请注意保护个人信息及财产安全,合理判断,谨慎选购商品,商家和用户对交易行为负责。对于医疗器械类产品,请先查证核实企业经营资质和医疗器械产品注册证情况。
技术资料暂无技术资料 索取技术资料
Prickle 2 Rabbit pAb(bs-19961R)-50ul/100ul/200ul
¥1180 - 2800






