Sample:
H9C2(Rat) Cell Lysate at 30 ug
Primary: Anti-Site 2 protease (bs-19356R) at 1/1000 dilution
Secondary: IRDye800CW Goat Anti-Rabbit IgG at 1/20000 dilution
Predicted band size: 57 kD
Observed band size: 57 kD
相关产品推荐更多 >

SMARCA2 Rabbit pAb(bs-6402R)-50ul/100ul/200ul
¥1180
alpha-Tubulin Rabbit pAb, Cy3 conjugated(bs-0159R-Cy3)-100ul
¥2980
phospho-Mst1(Thr183) + Mst2(Thr180) Rabbit pAb, Biotin conjugated(bs-3294R-Bio)-100ul
¥2980
NEDL2 Rabbit pAb(bs-19190R)-50ul/100ul/200ul
¥1180
TNF alpha Rabbit pAb, APC conjugated(bs-10802R-APC)-100ul
¥2980
万千商家帮你免费找货
0 人在求购买到急需产品
- 详细信息
- 技术资料
- 应用范围:
产品信息以Bioss网站为准
- 规格:
50ul/100ul/200ul
| 规格: | 50ul | 产品价格: | ¥1180.0 |
|---|---|---|---|
| 规格: | 100ul | 产品价格: | ¥1980.0 |
| 规格: | 200ul | 产品价格: | ¥2800.0 |
| 产品编号 | bs-19356R |
| 英文名称 | Site 2 protease Rabbit pAb |
| 中文名称 | S2P内肽酶抗体 |
| 英文别名 | BRESEK; Endopeptidase S2P; IFAP; KFSDX; MBTP2_HUMAN; MBTPS2; Membrane bound transcription factor site 2 protease; membrane-bound transcription factor peptidase, site 2; membrane-bound transcription factor protease, site 2; Membrane-bound transcription factor site-2 protease; S2P; S2P endopeptidase; Site 2 protease; SREBPs intramembrane protease; Sterol regulatory element-binding proteins intramembrane protease. |
| 产品应用 | WB=1:500-2000, IHC-P=1:100-500, IHC-F=1:100-500, IF=1:100-500 Not yet tested in other applications. |
| 交叉反应 | Mouse, Rat (Human, Cow, Horse, Sheep) |
| 抗体来源 | Rabbit |
| 免疫原 | KLH conjugated synthetic peptide derived from human Site 2 protease |
| 亚型 | IgG |
| 性状 | Liquid |
| 纯化方法 | affinity purified by Protein A |
| 克隆类型 | Polyclonal |
| 理论分子量 | 57 kDa |
| 浓度 | 1mg/ml |
| 储存液 | 0.01M TBS (pH7.4) with 1% BSA, 0.02% Proclin300 and 50% Glycerol. |
| 研究领域 | Cardiovascular > Lipids / Lipoproteins > Lipid Metabolism > Cholesterol Metabolism Cell Biology > Proteolysis / Ubiquitin > Proteolytic enzymes > Other proteases Metabolism > Pathways and Processes > Metabolic signaling pathways > Lipid and lipoprotein metabolism > Cholesterol Metabolism Signal Transduction > Metabolism > Lipid metabolism |
| 亚细胞定位 | Membrane. Cytoplasm. |
| 组织特异性 | Expressed in heart, brain, placenta, lung, liver, muscle, kidney and pancreas. |
| 相似性 | Belongs to the peptidase M50A family. |
| 功能 | Intramembrane proteolysis of sterol-regulatory element-binding proteins (SREBPs) within the first transmembrane segment thereby releasing the N-terminal segment with a portion of the transmembrane segment attached. Site-2 cleavage comes after site-1 cleavage which takes place in the lumenal loop. |
| 保存条件 | Shipped at 4℃. Store at -20℃ for one year. Avoid repeated freeze/thaw cycles. |
| 注意事项 | This product as supplied is intended for research use only, not for use in human, therapeutic or diagnostic applications. |
| 背景资料 | This gene encodes a intramembrane zinc metalloprotease, which is essential in development. This protease functions in the signal protein activation involved in sterol control of transcription and the ER stress response. Mutations in this gene have been associated with ichthyosis follicularis with atrichia and photophobia (IFAP syndrome); IFAP syndrome has been quantitatively linked to a reduction in cholesterol homeostasis and ER stress response.[provided by RefSeq, Aug 2009] |
| 应用 | 推荐稀释比例 |
| {WB} | {1:500-2000} |
| {IHC-P} | {1:100-500} |
| {IHC-F} | {1:100-500} |
| {IF} | {1:100-500} |


Sample:
Heart (Mouse) Lysate at 40 ug
Primary: Anti-Site 2 protease (bs-19356R) at 1/1000 dilution
Secondary: IRDye800CW Goat Anti-Rabbit IgG at 1/20000 dilution
Predicted band size: 57 kD
Observed band size: 57 kD
Heart (Mouse) Lysate at 40 ug
Primary: Anti-Site 2 protease (bs-19356R) at 1/1000 dilution
Secondary: IRDye800CW Goat Anti-Rabbit IgG at 1/20000 dilution
Predicted band size: 57 kD
Observed band size: 57 kD

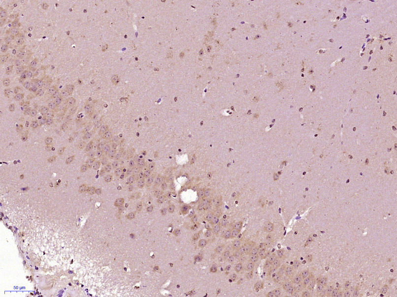
Paraformaldehyde-fixed, paraffin embedded (Mouse brain); Antigen retrieval by boiling in sodium citrate buffer (pH6.0) for 15min; Block endogenous peroxidase by 3% hydrogen peroxide for 20 minutes; Blocking buffer (normal goat serum) at 37°C for 30min; Antibody incubation with (Site 2 protease) Polyclonal Antibody, Unconjugated (bs-19356R) at 1:400 overnight at 4°C, followed by operating according to SP Kit(Rabbit) (sp-0023) instructionsand DAB staining.
风险提示:丁香通仅作为第三方平台,为商家信息发布提供平台空间。用户咨询产品时请注意保护个人信息及财产安全,合理判断,谨慎选购商品,商家和用户对交易行为负责。对于医疗器械类产品,请先查证核实企业经营资质和医疗器械产品注册证情况。
技术资料暂无技术资料 索取技术资料
Site 2 protease Rabbit pAb(bs-19356R)-50ul/100ul/200ul
¥1180 - 2800





