相关产品推荐更多 >

DRD1 Rabbit pAb, BF555 conjugated(bs-1007R-BF555)-100ul
¥2980
TIFA Rabbit pAb, PE-Cy7 conjugated(bs-13669R-PE-Cy7)-100ul
¥2980
Cyclin E1 Rabbit pAb, PE conjugated(bs-0573R-PE)-100ul
¥2980
Urocortin 3 Rabbit pAb, FITC conjugated(bs-2786R-FITC)-100ul
¥2980
TBX2 Rabbit pAb, PE conjugated(bs-0507R-PE)-100ul
¥2980
万千商家帮你免费找货
0 人在求购买到急需产品
- 详细信息
- 技术资料
- 应用范围:
产品信息以Bioss网站为准
- 规格:
50ul/100ul/200ul
| 规格: | 50ul | 产品价格: | ¥1180.0 |
|---|---|---|---|
| 规格: | 100ul | 产品价格: | ¥1980.0 |
| 规格: | 200ul | 产品价格: | ¥2800.0 |
| 产品编号 | bs-18774R |
| 英文名称 | MED9 Rabbit pAb |
| 中文名称 | MED9蛋白抗体 |
| 英文别名 | FLJ10193; MED25; MED9; Mediator complex subunit 9; mediator of RNA polymerase II transcription subunit 9; mediator of RNA polymerase II transcription, subunit 9 homolog; Mediator subunit 25; MGC138234. |
| 产品应用 | IHC-P=1:100-500, IHC-F=1:100-500, IF=1:100-500 Not yet tested in other applications. |
| 交叉反应 | Mouse (Human, Rat, Dog, Cow, Sheep) |
| 抗体来源 | Rabbit |
| 免疫原 | KLH conjugated synthetic peptide derived from human MED9 |
| 亚型 | IgG |
| 性状 | Liquid |
| 纯化方法 | affinity purified by Protein A |
| 克隆类型 | Polyclonal |
| 理论分子量 | 16 kDa |
| 浓度 | 1mg/ml |
| 储存液 | 0.01M TBS (pH7.4) with 1% BSA, 0.02% Proclin300 and 50% Glycerol. |
| 研究领域 | Epigenetics and Nuclear Signaling > Transcription > Mediator Complex Epigenetics and Nuclear Signaling > Transcription > Polymerase associated factors > Pol II Transcription Epigenetics and Nuclear Signaling > Transcription > RNA polymerase |
| 亚基 | Component of the Mediator complex, which is composed of MED1, MED4, MED6, MED7, MED8, MED9, MED10, MED11, MED12, MED13, MED13L, MED14, MED15, MED16, MED17, MED18, MED19, MED20, MED21, MED22, MED23, MED24, MED25, MED26, MED27, MED29, MED30, MED31, CCNC, CDK8 and CDC2L6/CDK11. The MED12, MED13, CCNC and CDK8 subunits form a distinct module termed the CDK8 module. Mediator containing the CDK8 module is less active than Mediator lacking this module in supporting transcriptional activation. Individual preparations of the Mediator complex lacking one or more distinct subunits have been variously termed ARC, CRSP, DRIP, PC2, SMCC and TRAP. |
| 亚细胞定位 | Nucleus |
| 相似性 | Belongs to the Mediator complex subunit 9 family. |
| 功能 | Component of the Mediator complex, a coactivator involved in the regulated transcription of nearly all RNA polymerase II-dependent genes. Mediator functions as a bridge to convey information from gene-specific regulatory proteins to the basal RNA polymerase II transcription machinery. Mediator is recruited to promoters by direct interactions with regulatory proteins and serves as a scaffold for the assembly of a functional preinitiation complex with RNA polymerase II and the general transcription factors. |
| 保存条件 | Shipped at 4℃. Store at -20℃ for one year. Avoid repeated freeze/thaw cycles. |
| 注意事项 | This product as supplied is intended for research use only, not for use in human, therapeutic or diagnostic applications. |
| 背景资料 | The multiprotein Mediator complex is a coactivator required for activation of RNA polymerase II transcription by DNA bound transcription factors. The protein encoded by this gene is thought to be a subunit of the Mediator complex. This gene is located within the Smith-Magenis syndrome region on chromosome 17. [provided by RefSeq, Jul 2008] |
| 应用 | 推荐稀释比例 |
| {IHC-P} | {1:100-500} |
| {IHC-F} | {1:100-500} |
| {IF} | {1:100-500} |

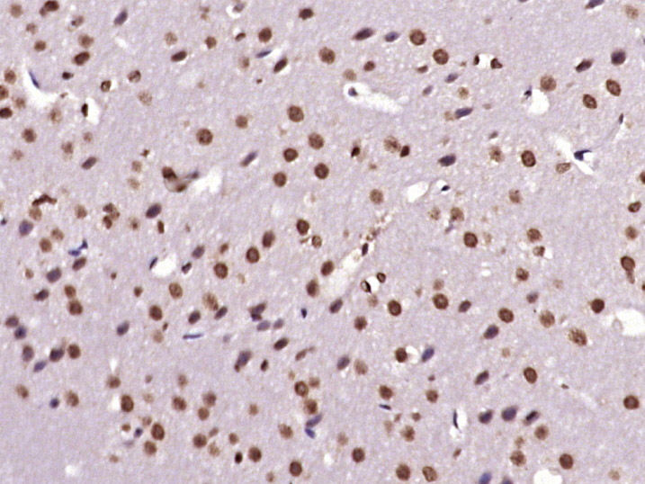
Paraformaldehyde-fixed, paraffin embedded (mouse brain tissue); Antigen retrieval by boiling in sodium citrate buffer (pH6.0) for 15min; Block endogenous peroxidase by 3% hydrogen peroxide for 20 minutes; Blocking buffer (normal goat serum) at 37°C for 30min; Antibody incubation with (MED9) Polyclonal Antibody, Unconjugated (bs-18774R) at 1:400 overnight at 4°C, followed by operating according to SP Kit(Rabbit) (sp-0023) instructionsand DAB staining.
风险提示:丁香通仅作为第三方平台,为商家信息发布提供平台空间。用户咨询产品时请注意保护个人信息及财产安全,合理判断,谨慎选购商品,商家和用户对交易行为负责。对于医疗器械类产品,请先查证核实企业经营资质和医疗器械产品注册证情况。
技术资料暂无技术资料 索取技术资料
MED9 Rabbit pAb(bs-18774R)-50ul/100ul/200ul
¥1180 - 2800





