相关产品推荐更多 >

Cytochrome P450 17A1 Rabbit pAb, AP conjugated(bs-6695R-AP)-100ul
¥2980
MPO Rabbit pAb, PerCP-Cy5.5 conjugated(bs-41105R-PerCP-Cy5.5)-100ul
¥2980
phospho-ATG1 (Ser556) Rabbit pAb, APC-Cy7 conjugated(bs-3464R-APC-Cy7)-100ul
¥2980
SARS-CoV N Rabbit pAb, AP conjugated(bs-49002R-AP)-100ul
¥2980
PLCG 2 Rabbit pAb, PE-Cy5 conjugated(bs-3532R-PE-Cy5)-100ul
¥2980
万千商家帮你免费找货
0 人在求购买到急需产品
- 详细信息
- 技术资料
- 应用范围:
产品信息以Bioss网站为准
- 规格:
50ul/100ul/200ul
| 规格: | 50ul | 产品价格: | ¥1180.0 |
|---|---|---|---|
| 规格: | 100ul | 产品价格: | ¥1980.0 |
| 规格: | 200ul | 产品价格: | ¥2800.0 |
| 产品编号 | bs-18023R |
| 英文名称 | ORC3 Rabbit pAb |
| 中文名称 | ORC3蛋白抗体 |
| 英文别名 | Homolog of latheo Drosophila; LAT; LATHEO; orc3; ORC3_HUMAN; ORC3L; Origin recognition complex subunit 3; Origin recognition complex subunit 3 honolog; Origin recognition complex subunit Latheo. |
| 产品应用 | IHC-P=1:100-500, IHC-F=1:100-500, IF=1:100-500 Not yet tested in other applications. |
| 交叉反应 | Mouse (Human, Rat) |
| 抗体来源 | Rabbit |
| 免疫原 | KLH conjugated synthetic peptide derived from human ORC3 |
| 亚型 | IgG |
| 性状 | Liquid |
| 纯化方法 | affinity purified by Protein A |
| 克隆类型 | Polyclonal |
| 理论分子量 | 82 kDa |
| 浓度 | 1mg/ml |
| 储存液 | 0.01M TBS (pH7.4) with 1% BSA, 0.02% Proclin300 and 50% Glycerol. |
| 研究领域 | Epigenetics and Nuclear Signaling > DNA / RNA > DNA Synthesis |
| 亚细胞定位 | Nucleus. |
| 翻译后修饰 | Phosphorylated upon DNA damage, probably by ATM or ATR. Phosphorylated upon DNA damage, probably by ATM or ATR. |
| 相似性 | Belongs to the ORC3 family. |
| 功能 | Component of the origin recognition complex (ORC) that binds origins of replication. DNA-binding is ATP-dependent, however specific DNA sequences that define origins of replication have not been identified so far. ORC is required to assemble the pre-replication complex necessary to initiate DNA replication. |
| 保存条件 | Shipped at 4℃. Store at -20℃ for one year. Avoid repeated freeze/thaw cycles. |
| 注意事项 | This product as supplied is intended for research use only, not for use in human, therapeutic or diagnostic applications. |
| 背景资料 | The origin recognition complex (ORC) is a highly conserved six subunits protein complex essential for the initiation of the DNA replication in eukaryotic cells. Studies in yeast demonstrated that ORC binds specifically to origins of replication and serves as a platform for the assembly of additional initiation factors such as Cdc6 and Mcm proteins. The protein encoded by this gene is a subunit of the ORC complex. Studies of a similar gene in Drosophila suggested a possible role of this protein in neuronal proliferation and olfactory memory. Alternatively spliced transcript variants encoding distinct isoforms have been reported for this gene. [provided by RefSeq, Jul 2008] |
| 应用 | 推荐稀释比例 |
| {IHC-P} | {1:100-500} |
| {IHC-F} | {1:100-500} |
| {IF} | {1:100-500} |

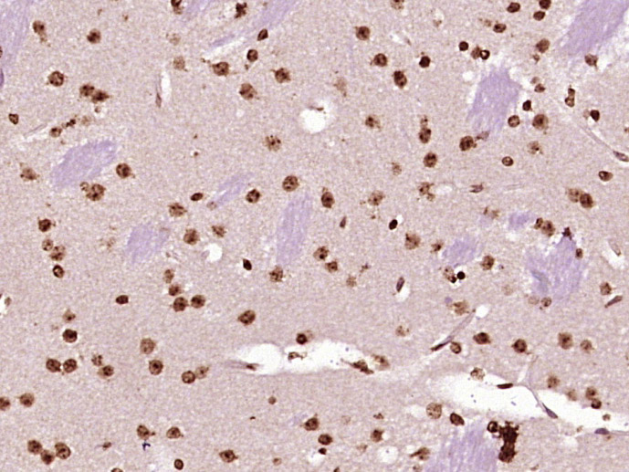
Paraformaldehyde-fixed, paraffin embedded (mouse brain tissue); Antigen retrieval by boiling in sodium citrate buffer (pH6.0) for 15min; Block endogenous peroxidase by 3% hydrogen peroxide for 20 minutes; Blocking buffer (normal goat serum) at 37°C for 30min; Antibody incubation with (ORC3) Polyclonal Antibody, Unconjugated (bs-18023R) at 1:400 overnight at 4°C, followed by operating according to SP Kit(Rabbit) (sp-0023) instructionsand DAB staining.
风险提示:丁香通仅作为第三方平台,为商家信息发布提供平台空间。用户咨询产品时请注意保护个人信息及财产安全,合理判断,谨慎选购商品,商家和用户对交易行为负责。对于医疗器械类产品,请先查证核实企业经营资质和医疗器械产品注册证情况。
技术资料暂无技术资料 索取技术资料
ORC3 Rabbit pAb(bs-18023R)-50ul/100ul/200ul
¥1180 - 2800





