相关产品推荐更多 >

DISC1 (CT) Rabbit pAb(bs-0430R)-50ul/100ul/200ul
¥1180
Anti-human IGF1R / CD221 (Dalotuzumab Biosimilar)(BIO0478SM)-1mg/5mg/20mg
¥3200
SFTPC Rabbit pAb, Cy7 conjugated(bs-10067R-Cy7)-100ul
¥2980
MND1 Rabbit pAb, HRP conjugated(bs-7799R-HRP)-100ul
¥2980
SATB2 Rabbit pAb, PE-Cy5.5 conjugated(bs-11949R-PE-Cy5.5)-100ul
¥2980
万千商家帮你免费找货
0 人在求购买到急需产品
- 详细信息
- 文献和实验
- 技术资料
- 应用范围:
产品信息以Bioss网站为准
- 规格:
50ul/100ul/200ul
| 规格: | 50ul | 产品价格: | ¥1180.0 |
|---|---|---|---|
| 规格: | 100ul | 产品价格: | ¥1980.0 |
| 规格: | 200ul | 产品价格: | ¥2800.0 |
| 产品编号 | bs-18101R |
| 英文名称 | HTRA4 Rabbit pAb |
| 中文名称 | 丝氨酸肽酶4抗体 |
| 英文别名 | FLJ90724; High temperature requirement protean A4; High-temperature requirement factor A4; HTRA 4; HtrA serine peptidase 4; HTRA4; HTRA4_HUMAN; Probable serine protease HTRA4; Serine protease HTRA4. |
| 产品应用 | WB=1:500-2000, IHC-P=1:100-500, IHC-F=1:100-500, IF=1:100-500 Not yet tested in other applications. |
| 交叉反应 | Human, Mouse, Rat (Cow) |
| 抗体来源 | Rabbit |
| 免疫原 | KLH conjugated synthetic peptide derived from human HTRA4 |
| 亚型 | IgG |
| 性状 | Liquid |
| 纯化方法 | affinity purified by Protein A |
| 克隆类型 | Polyclonal |
| 理论分子量 | 49 kDa |
| 浓度 | 1mg/ml |
| 储存液 | 0.01M TBS (pH7.4) with 1% BSA, 0.02% Proclin300 and 50% Glycerol. |
| 研究领域 | Cell Biology > Proteolysis / Ubiquitin > Proteolytic enzymes > Other proteases |
| 亚细胞定位 | Secreted. |
| 相似性 | Belongs to the peptidase S1B family. Contains 1 IGFBP N-terminal domain. Contains 1 Kazal-like domain. Contains 1 PDZ (DHR) domain. |
| 功能 | Serine protease. |
| 保存条件 | Shipped at 4℃. Store at -20℃ for one year. Avoid repeated freeze/thaw cycles. |
| 注意事项 | This product as supplied is intended for research use only, not for use in human, therapeutic or diagnostic applications. |
| 背景资料 | This gene encodes a member of the HtrA family of proteases. The encoded protein contains a putative signal peptide, an insulin growth factor binding domain, a Kazal protease inhibitor domain, a conserved trypsin domain and a PDZ domain. Based on studies on other related family members, this enzyme may function as a secreted oligomeric chaperone protease to degrade misfolded secretory proteins. Other human HtrA proteins have been implicated in arthritis, tumor suppression, unfolded stress response, apoptosis, and aging. [provided by RefSeq, Oct 2008] |
| 应用 | 推荐稀释比例 |
| {WB} | {1:500-2000} |
| {IHC-P} | {1:100-500} |
| {IHC-F} | {1:100-500} |
| {IF} | {1:100-500} |

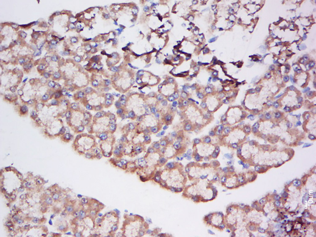
Antigen retrieval: citrate buffer ( 0.01M, pH 6.0 ), Boiling bathing for 15min; Block endogenous peroxidase by 3% Hydrogen peroxide for 30min; Blocking buffer (normal goat serum,C-0005) at 37℃ for 20 min;
Incubation: Anti-HTRA4 Polyclonal Antibody, Unconjugated(bs-18101R) 1:500, overnight at 4℃, followed by conjugation to the secondary antibody(SP-0023) and DAB(C-0010) staining

Primary: Rabbit Anti-HTRA4(bs-18101) at 1:300;
Secondary: 800CW Conjugated Goat (polyclonal) Anti-Rabbit IgG(H+L) at 1: 10000;
Predicted band size:49 kD
Observed band size:50 kD

PC-3 Cell (Human) Lysate at 30 ug
Primary: Anti- HTRA4 (bs-18101R) at 1/300 dilution
Secondary: IRDye800CW Goat Anti-Rabbit IgG at 1/20000 dilution
Predicted band size: 51 kD
Observed band size: 51 kD

Lane 1: Mouse Cerebrum tissue lysates
Lane 2: Rat Cerebrum tissue lysates
Primary: Anti-HTRA4 (bs-18101R) at 1/1000 dilution
Secondary: IRDye800CW Goat Anti-Rabbit IgG at 1/20000 dilution
Predicted band size: 49 kDa
Observed band size: 50 kDa

风险提示:丁香通仅作为第三方平台,为商家信息发布提供平台空间。用户咨询产品时请注意保护个人信息及财产安全,合理判断,谨慎选购商品,商家和用户对交易行为负责。对于医疗器械类产品,请先查证核实企业经营资质和医疗器械产品注册证情况。
文献和实验[IF={{ 3.8 }}] {Kong Hongfang. et al. Htra4 promotes vascular endothelial cell injury and is associated with the early-onset of preeclampsia. SCI REP-UK. 2025 Apr;15(1):1-11} {WB} {Human}
[IF={{ 2.7 }}] {Yan Chen. et al. HtrA3: a promising prognostic biomarker and therapeutic target for head and neck squamous cell carcinoma. PEERJ. 2023 Oct;11:e16237} {IHC,WB} {Human}
= NAL), appears to form upon oxidative cyclization of the nonfluorescent 2:1 lysine-HNE Michael adduct-Schiff base cross-link (Scheme 1). Polyclonal antibody (PAb) to the NAL-HNE fluorophore was raised in rabbit and found to be highly specific
GE Healthcare Benzamidine Sepharose™ 6B is p-aminobenzamidine covalently attached to Sepharose 6B by the epoxy coupling method. p-Aminobenzamidine (PAB), is a synthetic inhibitor of trypsin-like serine protease. Trypsin and trypsin
Nucleic Acid Programmable Protein Arrays: Versatile Tools for Array‐Based Functional Protein Studies
.g., Sigma) 50 mg/ml bis‐sulfosuccinimdylsuberate (BS3 ;Pierce, cat. no. PI 21580) in dimethylsulfoxide (DMSO) 5 mg/ml
技术资料暂无技术资料 索取技术资料





