相关产品推荐更多 >

ALKBH1 Recombinant Rabbit mAb(bsm-61162R)-50ul/100ul/25ul
¥800
Anti-human NGF / bNGF (Tanezumab Biosimilar)(BIO0238SM)-1mg/5mg/20mg
¥3200
ADIPOR2/PAQR2 Rabbit pAb, APC-Cy7 conjugated(bs-0611R-APC-Cy7)-100ul
¥2980
FMO2 Rabbit pAb(bs-16153R)-50ul/100ul/200ul
¥1180
MTOR Rabbit pAb, BF750 conjugated(bs-1992R-BF750)-100ul
¥2980
万千商家帮你免费找货
0 人在求购买到急需产品
- 详细信息
- 文献和实验
- 技术资料
- 应用范围:
产品信息以Bioss网站为准
- 规格:
50ul/100ul/200ul
| 规格: | 50ul | 产品价格: | ¥1180.0 |
|---|---|---|---|
| 规格: | 100ul | 产品价格: | ¥1980.0 |
| 规格: | 200ul | 产品价格: | ¥2800.0 |
| 产品编号 | bs-16563R |
| 英文名称 | TRAF5 Rabbit pAb |
| 中文名称 | 肿瘤坏死因子受体相关因子5抗体 |
| 英文别名 | RING finger protein 84; RING finger protein 84; RNF84; TNF receptor associated factor 5; TNF receptor-associated factor 5; TRAF 5; Traf5; TRAF5_HUMAN. |
| 产品应用 | WB=1:500-2000, IHC-P=1:100-500, IHC-F=1:100-500, IF=1:100-500 Not yet tested in other applications. |
| 交叉反应 | Human, Rat (Pig, Horse) |
| 抗体来源 | Rabbit |
| 免疫原 | KLH conjugated synthetic peptide derived from human TRAF5 |
| 亚型 | IgG |
| 性状 | Liquid |
| 纯化方法 | affinity purified by Protein A |
| 克隆类型 | Polyclonal |
| 理论分子量 | 64 kDa |
| 浓度 | 1mg/ml |
| 储存液 | 0.01M TBS (pH7.4) with 1% BSA, 0.02% Proclin300 and 50% Glycerol. |
| 研究领域 | Immunology > Innate Immunity > Cytokines > TNF Superfamily |
| 亚细胞定位 | Cytoplasm. |
| 组织特异性 | Expressed in spleen, thymus, prostate, testis, ovary, small intestine, colon, and peripheral blood. |
| 相似性 | Belongs to the TNF receptor-associated factor family. A subfamily. Contains 1 MATH domain. Contains 1 RING-type zinc finger. Contains 2 TRAF-type zinc fingers. |
| 功能 | Adapter protein and signal transducer that links members of the tumor necrosis factor receptor family to different signaling pathways by association with the receptor cytoplasmic domain and kinases. Mediates activation of NF-kappa-B and probably JNK. Seems to be involved in apoptosis. |
| 保存条件 | Shipped at 4℃. Store at -20℃ for one year. Avoid repeated freeze/thaw cycles. |
| 注意事项 | This product as supplied is intended for research use only, not for use in human, therapeutic or diagnostic applications. |
| 背景资料 | The scaffold protein encoded by this gene is a member of the tumor necrosis factor receptor-associated factor (TRAF) protein family and contains a meprin and TRAF homology (MATH) domain, a RING-type zinc finger, and two TRAF-type zinc fingers. TRAF proteins are associated with, and mediate signal transduction from members of the TNF receptor superfamily. This protein is one of the components of a multiple protein complex which binds to tumor necrosis factor (TNF) receptor cytoplasmic domains and mediates TNF-induced activation. Alternate transcriptional splice variants have been characterized. [provided by RefSeq, Jul 2008] |
| 应用 | 推荐稀释比例 |
| {WB} | {1:500-2000} |
| {IHC-P} | {1:100-500} |
| {IHC-F} | {1:100-500} |
| {IF} | {1:100-500} |


Hela Cell (Human) Lysate at 30 ug
Primary: Anti- TRAF5 (bs-16563R) at 1/300 dilution
Secondary: IRDye800CW Goat Anti-Rabbit IgG at 1/20000 dilution
Predicted band size: 64 kD
Observed band size: 64 kD
风险提示:丁香通仅作为第三方平台,为商家信息发布提供平台空间。用户咨询产品时请注意保护个人信息及财产安全,合理判断,谨慎选购商品,商家和用户对交易行为负责。对于医疗器械类产品,请先查证核实企业经营资质和医疗器械产品注册证情况。
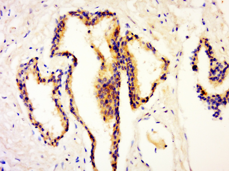
文献和实验[IF={{ 2.5 }}] {Xiaomei Sun. et al.Tumor necrosis factor receptor-associated factor 5 enhances perianal fistulizing Crohn's disease through epithelial–mesenchymal transition.CYTOJOURNAL.2024 Dec 31:21:82.} {IHC} {Human}
= NAL), appears to form upon oxidative cyclization of the nonfluorescent 2:1 lysine-HNE Michael adduct-Schiff base cross-link (Scheme 1). Polyclonal antibody (PAb) to the NAL-HNE fluorophore was raised in rabbit and found to be highly specific
GE Healthcare Benzamidine Sepharose™ 6B is p-aminobenzamidine covalently attached to Sepharose 6B by the epoxy coupling method. p-Aminobenzamidine (PAB), is a synthetic inhibitor of trypsin-like serine protease. Trypsin and trypsin
Nucleic Acid Programmable Protein Arrays: Versatile Tools for Array‐Based Functional Protein Studies
.g., Sigma) 50 mg/ml bis‐sulfosuccinimdylsuberate (BS3 ;Pierce, cat. no. PI 21580) in dimethylsulfoxide (DMSO) 5 mg/ml
技术资料暂无技术资料 索取技术资料





