相关产品推荐更多 >

CAMKK2 Rabbit pAb, PerCP-Cy5.5 conjugated(bs-6253R-PerCP-Cy5.5)-100ul
¥2980
SHARP2 Rabbit pAb(bs-19756R)-50ul/100ul/200ul
¥1180
NUDT8 Rabbit pAb(bs-24197R)-50ul/100ul/200ul
¥1180
EMP3 Rabbit pAb(bs-5836R)-50ul/100ul/200ul
¥1180
Ghrelin 28 (n-octanoyl Ser26) Rabbit pAb, AP conjugated(bs-10413R-AP)-100ul
¥2980
万千商家帮你免费找货
0 人在求购买到急需产品
- 详细信息
- 文献和实验
- 技术资料
- 应用范围:
产品信息以Bioss网站为准
- 规格:
50ul/100ul/200ul
| 规格: | 50ul | 产品价格: | ¥1180.0 |
|---|---|---|---|
| 规格: | 100ul | 产品价格: | ¥1980.0 |
| 规格: | 200ul | 产品价格: | ¥2800.0 |
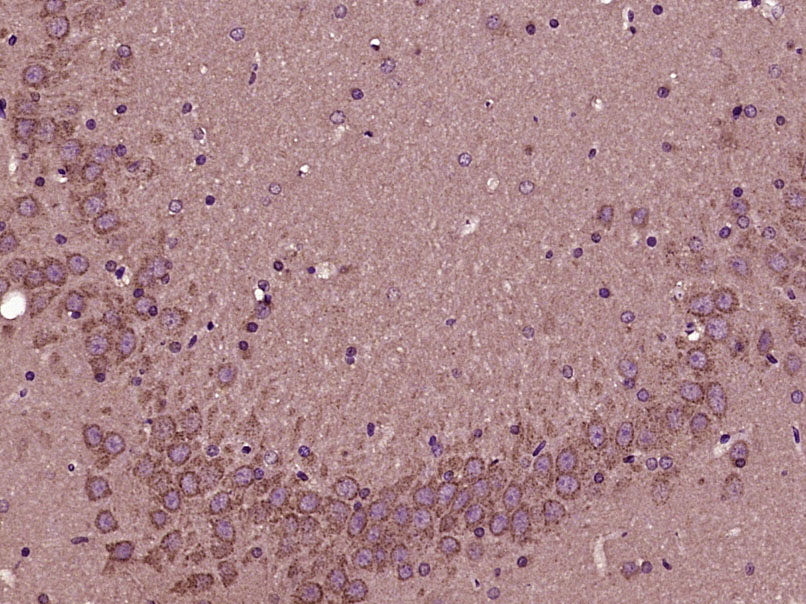
| 产品编号 | bs-14549R |
| 英文名称 | eIF4A2 Rabbit pAb |
| 中文名称 | eIF4A2蛋白抗体 |
| 英文别名 | ATP dependent RNA helicase eIF4A 2; BM-010; DDX2B; eIF 4A II; EIF4A; eIF4A II; EIF4A2; EIF4F; Eukaryotic initiation factor 4A II; eukaryotic translation initiation factor 4A isoform 2; Eukaryotic translation initiation factor 4A2; IF4A2_HUMAN. |
| 产品应用 | IHC-P=1:100-500, IHC-F=1:100-500, IF=1:100-500 Not yet tested in other applications. |
| 交叉反应 | Rat (Human, Mouse, Chicken, Pig, Cow, Horse, Sheep) |
| 抗体来源 | Rabbit |
| 免疫原 | KLH conjugated synthetic peptide derived from human eIF4A2 |
| 亚型 | IgG |
| 性状 | Liquid |
| 纯化方法 | affinity purified by Protein A |
| 克隆类型 | Polyclonal |
| 理论分子量 | 46 kDa |
| 浓度 | 1mg/ml |
| 储存液 | 0.01M TBS (pH7.4) with 1% BSA, 0.02% Proclin300 and 50% Glycerol. |
| 研究领域 | Epigenetics and Nuclear Signaling > DNA / RNA > Translation > Regulation |
| 亚基 | eIF4F is a multi-subunit complex, the composition of which varies with external and internal environmental conditions. It is composed of at least EIF4A, EIF4E and EIF4G1/EIFFG3 (By similarity). Interacts with EIF4E. May interact with NOM1. Interacts with HHV-1 Vhs. |
| 亚细胞定位 | Cytoplasmic |
| 相似性 | Belongs to the DEAD box helicase family. eIF4A subfamily. Contains 1 helicase ATP-binding domain. Contains 1 helicase C-terminal domain. |
| 功能 | Eukaryotic initiation factor 4A plays an important role in the binding of mRNA to the 43S preinitiation complex when protein synthesis begins. Two highly homologous forms of functional EIF4A genes, Eif4a1 and Eif4a2, have been isolated in mice; yeast cells also possess 2 EIF4A genes, TIF1 and TIF2. The murine Eif4a and yeast TIF genes appear to belong to a DEAD-box gene family, whose members exhibit extensive amino acid similarity and contain the asp-glu-ala-asp (DEAD) sequence. DEAD-box genes have been identified in species ranging from E-coli to humans. Their function appears to be related to transcriptional/translational regulation (referenced from OMIM). |
| 保存条件 | Shipped at 4℃. Store at -20℃ for one year. Avoid repeated freeze/thaw cycles. |
| 注意事项 | This product as supplied is intended for research use only, not for use in human, therapeutic or diagnostic applications. |
| 背景资料 | Translation initiation in eukaryotes necessitates the assembly of an 80S ribosomal complex. Eukaryotic initiation factors (eIFs) are utilized in a sequence of reactions that leads to 80S ribosomal assembly and initiation of translation. Mammalian eukaryotic translation initiation factor 4F (eIF4F) is a protein complex that contains eIF4A, eIF4E and eIF4G, binds mRNA at a 5’-cap motif and recruits the 43S ribosomal preinitiation complex to the eligible transcript. Along with eIF4B, the eIF4F complex mediates the unwinding of mRNA secondary structure to facilitate ribosome association. eIF4E specifically interacts with the 5’ cap, eIF4A(I,II) are bidirectional RNA helicases, and eIF4G(I,II) are scaffolding proteins which coordinate eIF4E, eIF4A, eIF3 and the 40S ribosome. Human eIF4AI (eIF4A, DDX2A) is a 406 amino acid protein that is 92.7% homologous to mouse eIF4AI. The promoter region of human eIF4A1 contains TATA and CAAT motifs and consensus binding sites to Sp1 and AP2. |
| 应用 | 推荐稀释比例 |
| {IHC-P} | {1:100-500} |
| {IHC-F} | {1:100-500} |
| {IF} | {1:100-500} |

风险提示:丁香通仅作为第三方平台,为商家信息发布提供平台空间。用户咨询产品时请注意保护个人信息及财产安全,合理判断,谨慎选购商品,商家和用户对交易行为负责。对于医疗器械类产品,请先查证核实企业经营资质和医疗器械产品注册证情况。
文献和实验= NAL), appears to form upon oxidative cyclization of the nonfluorescent 2:1 lysine-HNE Michael adduct-Schiff base cross-link (Scheme 1). Polyclonal antibody (PAb) to the NAL-HNE fluorophore was raised in rabbit and found to be highly specific
GE Healthcare Benzamidine Sepharose™ 6B is p-aminobenzamidine covalently attached to Sepharose 6B by the epoxy coupling method. p-Aminobenzamidine (PAB), is a synthetic inhibitor of trypsin-like serine protease. Trypsin and trypsin
GE Healthcare Benzamidine Sepharose™ 6B is p-aminobenzamidine covalently attached to Sepharose 6B by the epoxy coupling method. p-Aminobenzamidine (PAB), is a synthetic inhibitor of trypsin-like serine protease. Trypsin and trypsin
技术资料暂无技术资料 索取技术资料





