相关产品推荐更多 >
万千商家帮你免费找货
0 人在求购买到急需产品
- 详细信息
- 文献和实验
- 技术资料
- 应用范围:
产品信息以Bioss网站为准
- 规格:
50ul/100ul/200ul
| 规格: | 50ul | 产品价格: | ¥1180.0 |
|---|---|---|---|
| 规格: | 100ul | 产品价格: | ¥1980.0 |
| 规格: | 200ul | 产品价格: | ¥2800.0 |
| 产品编号 | bs-15450R |
| 英文名称 | HELZ Rabbit pAb |
| 中文名称 | 人肿瘤抑制蛋白抗体 |
| 英文别名 | DKFZp586G1924; Down regulated in human cancers; DRHC; Helicase with zinc finger; HUMORF 5; HUMORF5; KIAA0054; MGC163454; Probable helicase with zinc finger domain; HELZ_HUMAN. |
| 产品应用 | IHC-P=1:100-500, IHC-F=1:100-500, IF=1:100-500, Flow-Cyt=1μg/Test Not yet tested in other applications. |
| 交叉反应 | Rat (Human, Mouse) |
| 抗体来源 | Rabbit |
| 免疫原 | KLH conjugated synthetic peptide derived from human HELZ |
| 亚型 | IgG |
| 性状 | Liquid |
| 纯化方法 | affinity purified by Protein A |
| 克隆类型 | Polyclonal |
| 理论分子量 | 219 kDa |
| 浓度 | 1mg/ml |
| 储存液 | 0.01M TBS (pH7.4) with 1% BSA, 0.02% Proclin300 and 50% Glycerol. |
| 亚基 | Interacts with SMYD2 (By similarity). Interacts with POLR2A. Interacts with SMYD3; the interaction may bridge SMYD3 and RNA polymerase II. |
| 亚细胞定位 | Nucleus (Probable). |
| 组织特异性 | Expressed predominantly in thymus and brain. Expression is down-regulated in 28 of 95 tested cancer cell lines. |
| 相似性 | Belongs to the DNA2/NAM7 helicase family. Contains 1 C3H1-type zinc finger. |
| 功能 | May act as a helicase that plays a role in RNA metabolism in multiple tissues and organs within the developing embryo. |
| 保存条件 | Shipped at 4℃. Store at -20℃ for one year. Avoid repeated freeze/thaw cycles. |
| 注意事项 | This product as supplied is intended for research use only, not for use in human, therapeutic or diagnostic applications. |
| 背景资料 | Helicases comprise a class of enzymes that function as motor proteins which move along nucleic acid phosphodiester bonds, effectively separating two annealed nucleic acid strands. RNA helicases alter the conformation of RNA, specifically by unwinding double-stranded RNA regions to yield single RNA strands, a process which changes the biological activity of the RNA molecule. HELZ (helicase with zinc finger), also known as DHRC or HUMORF5, is a 1,942 amino acid nuclear protein that contains one C3H1-type zinc finger and belongs to the RNA helicase superfamily. Expressed ubiquitously during embryonic development, HELZ is thought to function as an RNA helicase that modifies RNA structure and plays a role in the development of multiple organs and tissues within the developing embryo. |
| 应用 | 推荐稀释比例 |
| {IHC-P} | {1:100-500} |
| {IHC-F} | {1:100-500} |
| {IF} | {1:100-500} |
| {Flow-Cyt} | {1μg/Test} |

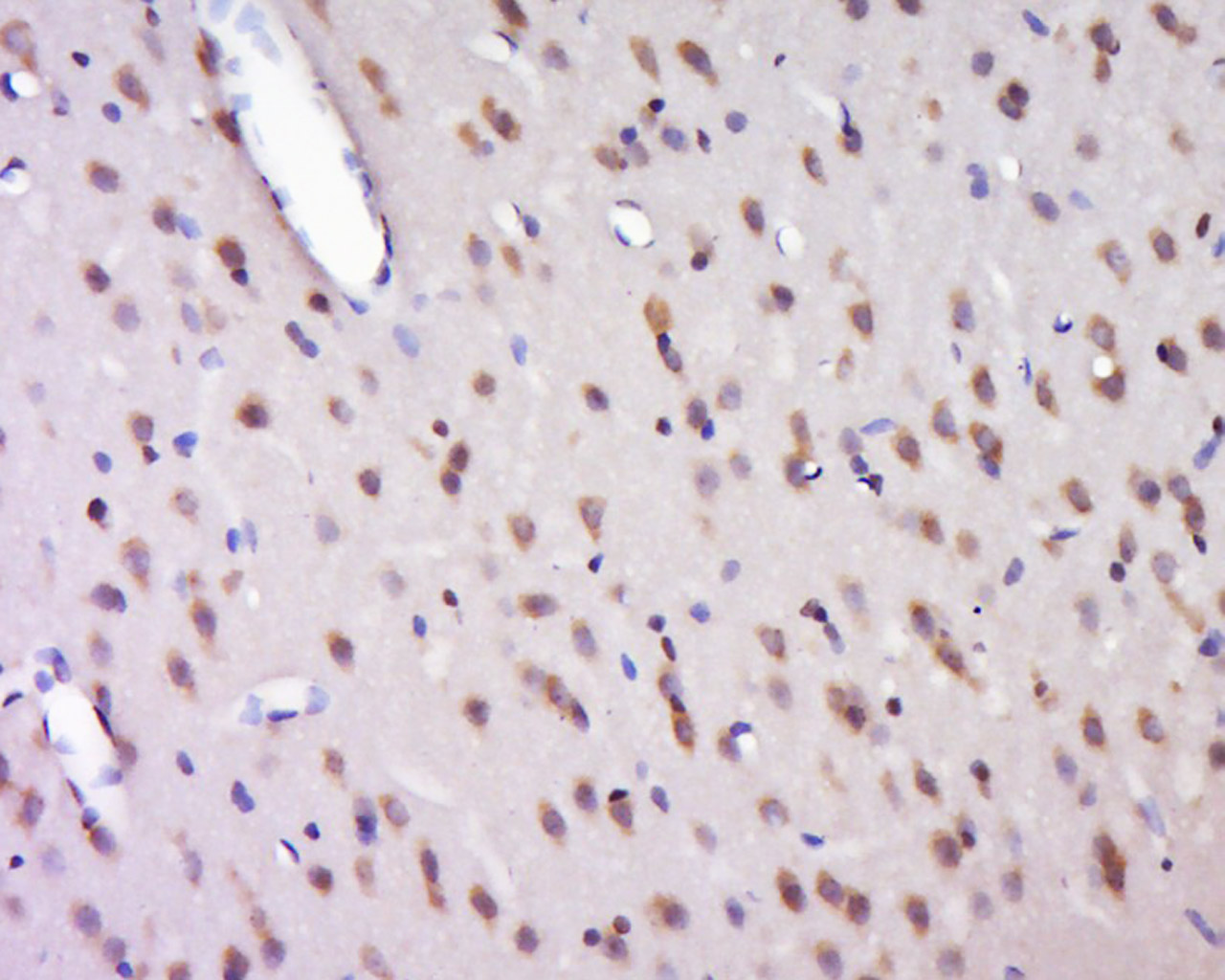
Antigen retrieval: citrate buffer ( 0.01M, pH 6.0 ), Boiling bathing for 15min; Block endogenous peroxidase by 3% Hydrogen peroxide for 30min; Blocking buffer (normal goat serum,C-0005) at 37℃ for 20 min;
Incubation: Anti-HELZ Polyclonal Antibody, Unconjugated(bs-15450R) 1:500, overnight at 4°C, followed by conjugation to the secondary antibody(SP-0023) and DAB(C-0010) staining

Isotype Control Antibody: Rabbit IgG(orange) ; Secondary Antibody: Goat anti-rabbit IgG-FITC(white blue), Dilution: 1:100 in 1 X PBS containing 0.5% BSA ; Primary Antibody Dilution: 1μg in 100 μL1X PBS containing 0.5% BSA(green).
风险提示:丁香通仅作为第三方平台,为商家信息发布提供平台空间。用户咨询产品时请注意保护个人信息及财产安全,合理判断,谨慎选购商品,商家和用户对交易行为负责。对于医疗器械类产品,请先查证核实企业经营资质和医疗器械产品注册证情况。
文献和实验= NAL), appears to form upon oxidative cyclization of the nonfluorescent 2:1 lysine-HNE Michael adduct-Schiff base cross-link (Scheme 1). Polyclonal antibody (PAb) to the NAL-HNE fluorophore was raised in rabbit and found to be highly specific
GE Healthcare Benzamidine Sepharose™ 6B is p-aminobenzamidine covalently attached to Sepharose 6B by the epoxy coupling method. p-Aminobenzamidine (PAB), is a synthetic inhibitor of trypsin-like serine protease. Trypsin and trypsin
Nucleic Acid Programmable Protein Arrays: Versatile Tools for Array‐Based Functional Protein Studies
.g., Sigma) 50 mg/ml bis‐sulfosuccinimdylsuberate (BS3 ;Pierce, cat. no. PI 21580) in dimethylsulfoxide (DMSO) 5 mg/ml
技术资料暂无技术资料 索取技术资料








