相关产品推荐更多 >

PCNA Mouse mAb, PE conjugated(bsm-33035M-PE)-100ul
¥2980
H2AX Rabbit pAb, Cy5 conjugated(bs-2560R-Cy5)-100ul
¥2980
phospho-IKB epsilon (Ser22) Rabbit pAb(bs-15582R)-50ul/100ul/200ul
¥1180
GALNT14 Rabbit pAb, AP conjugated(bs-11018R-AP)-100ul
¥2980
RNASE4 Rabbit pAb, Biotin conjugated(bs-6583R-Bio)-100ul
¥2980
万千商家帮你免费找货
0 人在求购买到急需产品
- 详细信息
- 文献和实验
- 技术资料
- 应用范围:
产品信息以Bioss网站为准
- 规格:
50ul/100ul/200ul
| 规格: | 50ul | 产品价格: | ¥1180.0 |
|---|---|---|---|
| 规格: | 100ul | 产品价格: | ¥1980.0 |
| 规格: | 200ul | 产品价格: | ¥2800.0 |
| 产品编号 | bs-13120R |
| 英文名称 | EXOSC10 Rabbit pAb |
| 中文名称 | 多发性肌炎/硬皮病自身抗原2抗体 |
| 英文别名 | Autoantigen PM/Scl 2; Exosc10; Exosome component 10; EXOSX_HUMAN; P100 polymyositis scleroderma overlap syndrome associated autoantigen; P100 polymyositis-scleroderma overlap syndrome-associated autoantigen; p2; p3; p4; PM Scl; PM/Scl 100; PM/Scl-100; PMSCL; PMSCL2; Polymyositis/scleroderma autoantigen 100 kDa; Polymyositis/scleroderma autoantigen 2 100 kDa; Polymyositis/scleroderma autoantigen 2; RRP6; Rrp6p. |
| 产品应用 | WB=1:500-2000, IHC-P=1:100-500, IHC-F=1:100-500, IF=1:100-500 Not yet tested in other applications. |
| 交叉反应 | Human, Mouse (Rat, Dog, Pig, Cow, Horse, Sheep) |
| 抗体来源 | Rabbit |
| 免疫原 | KLH conjugated synthetic peptide derived from human EXOSC10/PMSCL2 |
| 亚型 | IgG |
| 性状 | Liquid |
| 纯化方法 | affinity purified by Protein A |
| 克隆类型 | Polyclonal |
| 理论分子量 | 101 kDa |
| 浓度 | 1mg/ml |
| 储存液 | 0.01M TBS (pH7.4) with 1% BSA, 0.02% Proclin300 and 50% Glycerol. |
| 研究领域 | Epigenetics and Nuclear Signaling > DNA / RNA > RNA Processing Immunology > Immune System Diseases > Autoimmune |
| 亚基 | Component of the RNA exosome complex. The catalyticallyinactive RNA exosome core (Exo-9) complex is believed to associatewith catalytic subunits EXOSC10, and DIS3 or DIS3L incytoplasmic-and nuclear-specific RNA exosome complex forms.Interacts with C1D and MPHOSPH6. |
| 亚细胞定位 | Cytoplasm. Nucleus > nucleolus. Nucleus. Strongly enriched in the nucleolus and a small amount has been found in cytoplasm supporting the existence of a nucleolar RNA exosome complex form. |
| 相似性 | Contains 1 3'-5' exonuclease domain. Contains 1 HRDC domain. |
| 功能 | Putative catalytic component of the RNA exosome complex which has 3'->5' exoribonuclease activity and participates in a multitude of cellular RNA processing and degradation events. In the nucleus, the RNA exosome complex is involved in proper maturation of stable RNA species such as rRNA, snRNA and snoRNA, in the elimination of RNA processing by-products and non-coding 'pervasive' transcripts, such as anti-sense RNA species and promoter-upstream transcripts (PROMPTs), and of mRNAs with processing defects, thereby limiting or excluding their export to the cytoplasm. The RNA exosome may be involved in Ig class switch recombination (CSR) and/or Ig variable region somatic hypermutation (SHM) by targeting AICDA deamination activity to transcribed dsDNA substrates. In the cytoplasm, the RNA exosome complex is involved in general mRNA turnover and specifically degrades inherently unstable mRNAs containing AU-rich elements (AREs) within their 3' untranslated regions, and in RNA surveillance pathways, preventing translation of aberrant mRNAs. It seems to be involved in degradation of histone mRNA. EXOSC10 has 3'-5' exonuclease activity (By similarity). EXOSC10 is required for nucleolar localization of C1D and probably mediates the association of SKIV2L2, C1D and MPP6 wth the RNA exosome involved in the maturation of 5.8S rRNA. |
| 保存条件 | Shipped at 4℃. Store at -20℃ for one year. Avoid repeated freeze/thaw cycles. |
| 注意事项 | This product as supplied is intended for research use only, not for use in human, therapeutic or diagnostic applications. |
| 背景资料 | The exosome is a multi-subunit complex composed of several highly conserved proteins, some of which are 3’ to 5’ exoribonucleases. The complex is involved in a variety of cellular processes and is responsible for degrading unstable mRNAs that contain AU-rich (ARE) elements in their untranslated 3’ region. EXOSC10, also known as PMSCL, PMSCL2, p2, p3, p4, RRP6, Rrp6p, PM-Scl, or PM/Scl-100, is an 885 amino acid protein that contains one HRDC domain and one 3’-5’ enonuclease domain. Localized to both the cytoplasm and the nucleus, EXOSC10 is part of the post-splicing exosome complex and is involved in mRNA surveillance, mRNA nuclear export and nonsense-mediated decay of mRNAs containing premature stop codons. Antibodies against EXOSC10 have been found in patients with scleroderma and/or polymyositis (chronic diseases of the skin and muscle, respectively), suggesting that EXOSC10 may be involved in the pathogenesis of these diseases. Two isoforms of EXOSC10 exist due to alternative splicing events. |
| 应用 | 推荐稀释比例 |
| {WB} | {1:500-2000} |
| {IHC-P} | {1:100-500} |
| {IHC-F} | {1:100-500} |
| {IF} | {1:100-500} |

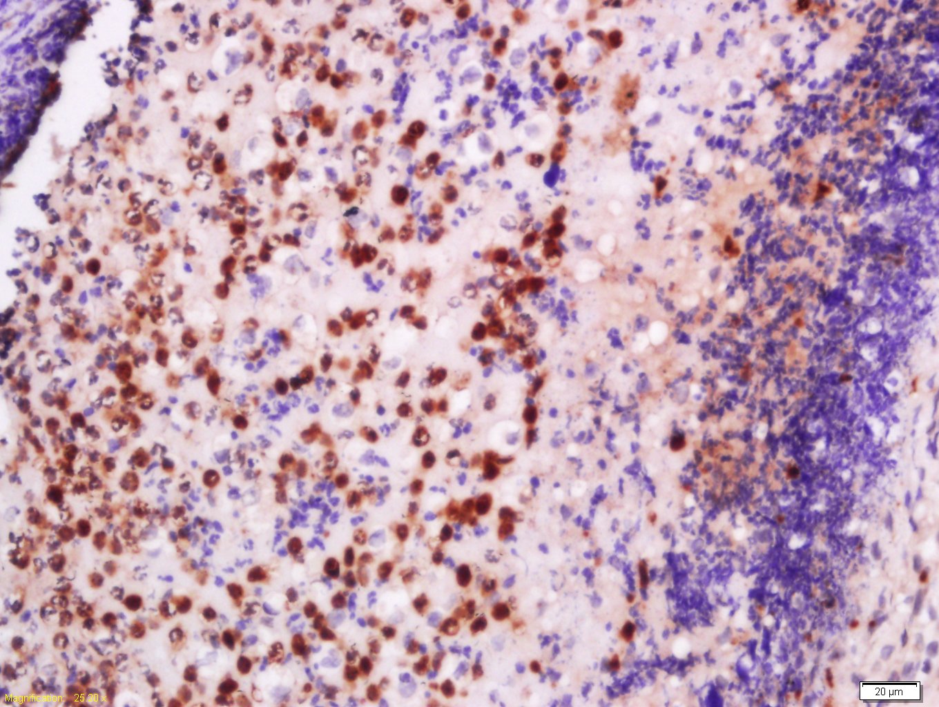
Antigen retrieval: citrate buffer ( 0.01M, pH 6.0 ), Boiling bathing for 15min; Block endogenous peroxidase by 3% Hydrogen peroxide for 30min; Blocking buffer (normal goat serum,C-0005) at 37℃ for 20 min;
Incubation: Anti-EXOSC10, Unconjugated(bs-13120R) 1:200, overnight at 4°C, followed by conjugation to the secondary antibody(SP-0023) and DAB(C-0010) staining

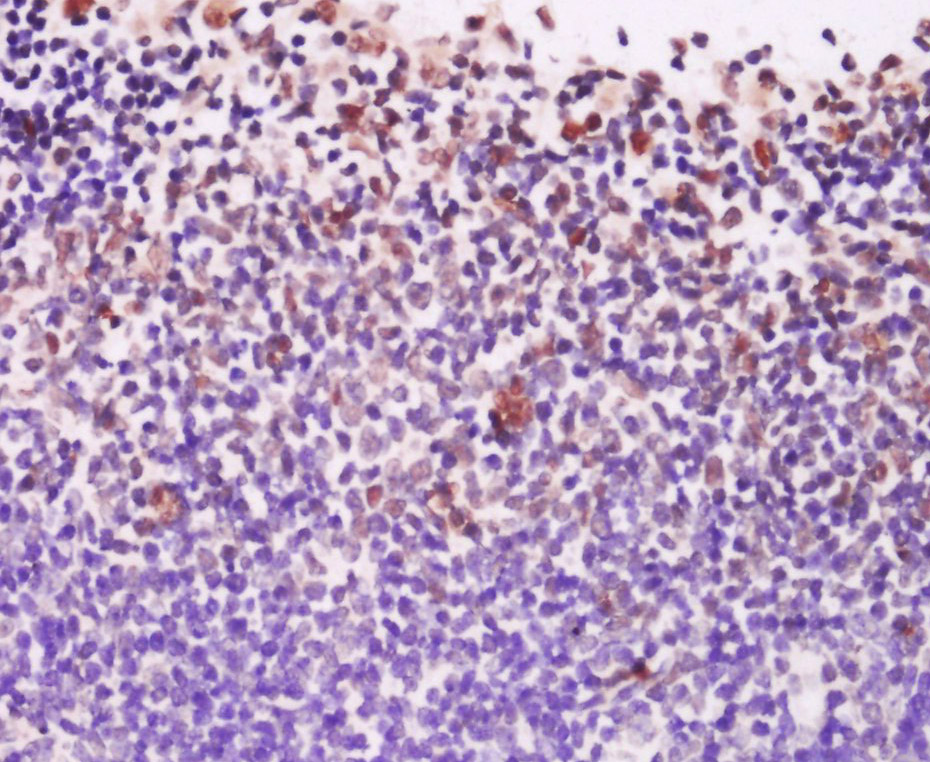
Antigen retrieval: citrate buffer ( 0.01M, pH 6.0 ), Boiling bathing for 15min; Block endogenous peroxidase by 3% Hydrogen peroxide for 30min; Blocking buffer (normal goat serum,C-0005) at 37℃ for 20 min;
Incubation: Anti-EXOSC10, Unconjugated(bs-13120R) 1:200, overnight at 4°C, followed by conjugation to the secondary antibody(SP-0023) and DAB(C-0010) staining


U937(Human) Cell Lysate at 30 ug
Primary: Anti- EXOSC10 (bs-13120R) at 1/1000 dilution
Secondary: IRDye800CW Goat Anti-Rabbit IgG at 1/20000 dilution
Predicted band size: 101 kD
Observed band size: 103 kD
风险提示:丁香通仅作为第三方平台,为商家信息发布提供平台空间。用户咨询产品时请注意保护个人信息及财产安全,合理判断,谨慎选购商品,商家和用户对交易行为负责。对于医疗器械类产品,请先查证核实企业经营资质和医疗器械产品注册证情况。
文献和实验= NAL), appears to form upon oxidative cyclization of the nonfluorescent 2:1 lysine-HNE Michael adduct-Schiff base cross-link (Scheme 1). Polyclonal antibody (PAb) to the NAL-HNE fluorophore was raised in rabbit and found to be highly specific
GE Healthcare Benzamidine Sepharose™ 6B is p-aminobenzamidine covalently attached to Sepharose 6B by the epoxy coupling method. p-Aminobenzamidine (PAB), is a synthetic inhibitor of trypsin-like serine protease. Trypsin and trypsin
GE Healthcare Benzamidine Sepharose™ 6B is p-aminobenzamidine covalently attached to Sepharose 6B by the epoxy coupling method. p-Aminobenzamidine (PAB), is a synthetic inhibitor of trypsin-like serine protease. Trypsin and trypsin
技术资料暂无技术资料 索取技术资料





