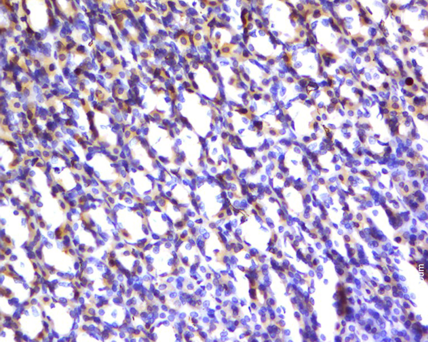
Tissue/cell: Rat stomach tissue; 4% Paraformaldehyde-fixed and paraffin-embedded;
Antigen retrieval: citrate buffer ( 0.01M, pH 6.0 ), Boiling bathing for 15min; Block endogenous peroxidase by 3% Hydrogen peroxide for 30min; Blocking buffer (normal goat serum,C-0005) at 37℃ for 20 min;
Incubation: Anti-CNN3 Polyclonal Antibody, Unconjugated(bs-12443R) 1:200, overnight at 4°C, followed by conjugation to the secondary antibody(SP-0023) and DAB(C-0010) staining
相关产品推荐更多 >
万千商家帮你免费找货
0 人在求购买到急需产品
- 详细信息
- 技术资料
- 应用范围:
产品信息以Bioss网站为准
- 规格:
50ul/100ul/200ul
| 规格: | 50ul | 产品价格: | ¥1180.0 |
|---|---|---|---|
| 规格: | 100ul | 产品价格: | ¥1980.0 |
| 规格: | 200ul | 产品价格: | ¥2800.0 |
| 产品编号 | bs-12443R |
| 英文名称 | Acidic Calponin Rabbit pAb |
| 中文名称 | 酸性钙调蛋白3抗体 |
| 英文别名 | Acidic calponin 3; acidic isoform; Calponin 3 acidic; Calponin3; Calponin 3; Calponin acidic; Calponin acidic isoform; Calponin; Calponin-3; Calponin3; CNN 3; Cnn3; CNN3_HUMAN; dJ639P13.2.2; OTTHUMP00000012470; OTTHUMP00000012471. |
| 产品应用 | IHC-P=1:100-500, IHC-F=1:100-500, IF=1:100-500 Not yet tested in other applications. |
| 交叉反应 | Rat (Human, Mouse, Pig, Cow, Horse, Sheep) |
| 抗体来源 | Rabbit |
| 免疫原 | KLH conjugated synthetic peptide derived from human Calponin 3/Acidic Calponin |
| 亚型 | IgG |
| 性状 | Liquid |
| 纯化方法 | affinity purified by Protein A |
| 克隆类型 | Polyclonal |
| 理论分子量 | 36 kDa |
| 浓度 | 1mg/ml |
| 储存液 | 0.01M TBS (pH7.4) with 1% BSA, 0.02% Proclin300 and 50% Glycerol. |
| 研究领域 | Signal Transduction > Cytoskeleton / ECM > Cytoskeleton > Microfilaments > Actin etc > Actin Binding Proteins |
| 组织特异性 | Expressed in both non-smooth muscle tissues as well as smooth muscle tissues. |
| 相似性 | Belongs to the calponin family. Contains 3 calponin-like repeats. Contains 1 CH (calponin-homology) domain. |
| 功能 | Thin filament-associated protein that is implicated in the regulation and modulation of smooth muscle contraction. It is capable of binding to actin, calmodulin, troponin C and tropomyosin. The interaction of calponin with actin inhibits the actomyosin Mg-ATPase activity. |
| 保存条件 | Shipped at 4℃. Store at -20℃ for one year. Avoid repeated freeze/thaw cycles. |
| 注意事项 | This product as supplied is intended for research use only, not for use in human, therapeutic or diagnostic applications. |
| 背景资料 | Calponin regulates smooth muscle cell contraction and is a marker of smooth muscle cell differentiation. Calponin, an Actin- and Tropomyosin-binding protein, is characterized as an inhibitory factor of smooth-muscle actomyosin activity. Calponin is implicated in the regulation of smooth muscle contraction through its interaction with F-Actin and inhibition of the Actin-activated MgATPase activity of phosphorylated myosin. Both properties are lost following phosphorylation (primarily at Serine 175) by protein kinase C or calmodulin-dependent protein kinase II. The three forms of Calponin, Calponin 1 (basic Calponin), Calponin 2 (neutral Calponin) and Calponin 3 (acidic Calponin) are found in smooth muscle tissue. Additionally, Calponin 2 is found in heart muscle tissue and Calponin 3 is found in the brain. |
| 应用 | 推荐稀释比例 |
| {IHC-P} | {1:100-500} |
| {IHC-F} | {1:100-500} |
| {IF} | {1:100-500} |

风险提示:丁香通仅作为第三方平台,为商家信息发布提供平台空间。用户咨询产品时请注意保护个人信息及财产安全,合理判断,谨慎选购商品,商家和用户对交易行为负责。对于医疗器械类产品,请先查证核实企业经营资质和医疗器械产品注册证情况。
技术资料暂无技术资料 索取技术资料
Acidic Calponin Rabbit pAb(bs-12443R)-50ul/100ul/200ul
¥1180 - 2800










