相关产品推荐更多 >

EHD3 Rabbit pAb(bs-14527R)-50ul/100ul/200ul
¥1180
C20orf194 Rabbit pAb(bs-9697R)-50ul/100ul/200ul
¥1180
KIF13B Rabbit pAb, Biotin conjugated(bs-12387R-Bio)-100ul
¥2980
Leucyl tRNA synthetase Rabbit pAb, Biotin conjugated(bs-18227R-Bio)-100ul
¥2980
p75 NGF Receptor Rabbit pAb, APC-Cy7 conjugated(bs-0161R-APC-Cy7)-100ul
¥2980
万千商家帮你免费找货
0 人在求购买到急需产品
- 详细信息
- 文献和实验
- 技术资料
- 应用范围:
产品信息以Bioss网站为准
- 规格:
50ul/100ul/200ul
| 规格: | 50ul | 产品价格: | ¥1180.0 |
|---|---|---|---|
| 规格: | 100ul | 产品价格: | ¥1980.0 |
| 规格: | 200ul | 产品价格: | ¥2800.0 |
| 产品编号 | bs-3583R |
| 英文名称 | TLK1 Rabbit pAb |
| 中文名称 | 调节染色体组装激酶1抗体 |
| 英文别名 | PKU beta; serine threonine protein kinase; Serine/threonine protein kinase tousled like 1; TLK1; Tousled like kinase 1; TLK1_HUMAN; Serine/threonine-protein kinase tousled-like 1; PKU-beta; Tousled-like kinase 1; KIAA0137. |
| 产品应用 | IHC-P=1:100-500, IHC-F=1:100-500, IF=1:100-500 Not yet tested in other applications. |
| 交叉反应 | Mouse, Rat (Human) |
| 抗体来源 | Rabbit |
| 免疫原 | KLH conjugated synthetic peptide derived from human TLK1 |
| 亚型 | IgG |
| 性状 | Liquid |
| 纯化方法 | affinity purified by Protein A |
| 克隆类型 | Polyclonal |
| 理论分子量 | 87 kDa |
| 浓度 | 1mg/ml |
| 储存液 | 0.01M TBS (pH7.4) with 1% BSA, 0.02% Proclin300 and 50% Glycerol. |
| 研究领域 | Epigenetics and Nuclear Signaling > Chromatin Modifying Enzymes > Phosphorylation Signal Transduction > Protein Phosphorylation > Ser / Thr Kinases > Other Kinases |
| 亚基 | Heterodimerizes with TLK2. Interacts with ASF1A and ASF1B. |
| 亚细胞定位 | Nucleus. |
| 组织特异性 | Widely expressed. Present in fetal placenta, liver, kidney and pancreas but not heart or skeletal muscle. Also found in adult cell lines. Isoform 3 is ubiquitously expressed in all tissues examined. |
| 相似性 | Belongs to the protein kinase superfamily. Ser/Thr protein kinase family.
Contains 1 protein kinase domain. |
| 功能 | Rapidly and transiently inhibited by phosphorylation following the generation of DNA double-stranded breaks during S-phase. This is cell cycle checkpoint and ATM-pathway dependent and appears to regulate processes involved in chromatin assembly. Isoform 3 phosphorylates and enhances the stability of the t-SNARE SNAP23, augmenting its assembly with syntaxin. Isoform 3 protects the cells from the ionizing radiation by facilitating the repair of DSBs. In vitro, phosphorylates histone H3 at 'Ser-10'. |
| 保存条件 | Shipped at 4℃. Store at -20℃ for one year. Avoid repeated freeze/thaw cycles. |
| 注意事项 | This product as supplied is intended for research use only, not for use in human, therapeutic or diagnostic applications. |
| 背景资料 | The protein encoded by this gene is a serine/threonine kinase that may be involved in the regulation of chromatin assembly. The encoded protein is only active when it is phosphorylated, and this phosphorylation is cell cycle-dependent, with the maximal activity of this protein coming during S phase. The catalytic activity of this protein is diminished by DNA damage and by blockage of DNA replication. Three transcript variants encoding different isoforms have been found for this gene. [provided by RefSeq, Nov 2011] |
| 应用 | 推荐稀释比例 |
| {IHC-P} | {1:100-500} |
| {IHC-F} | {1:100-500} |
| {IF} | {1:100-500} |

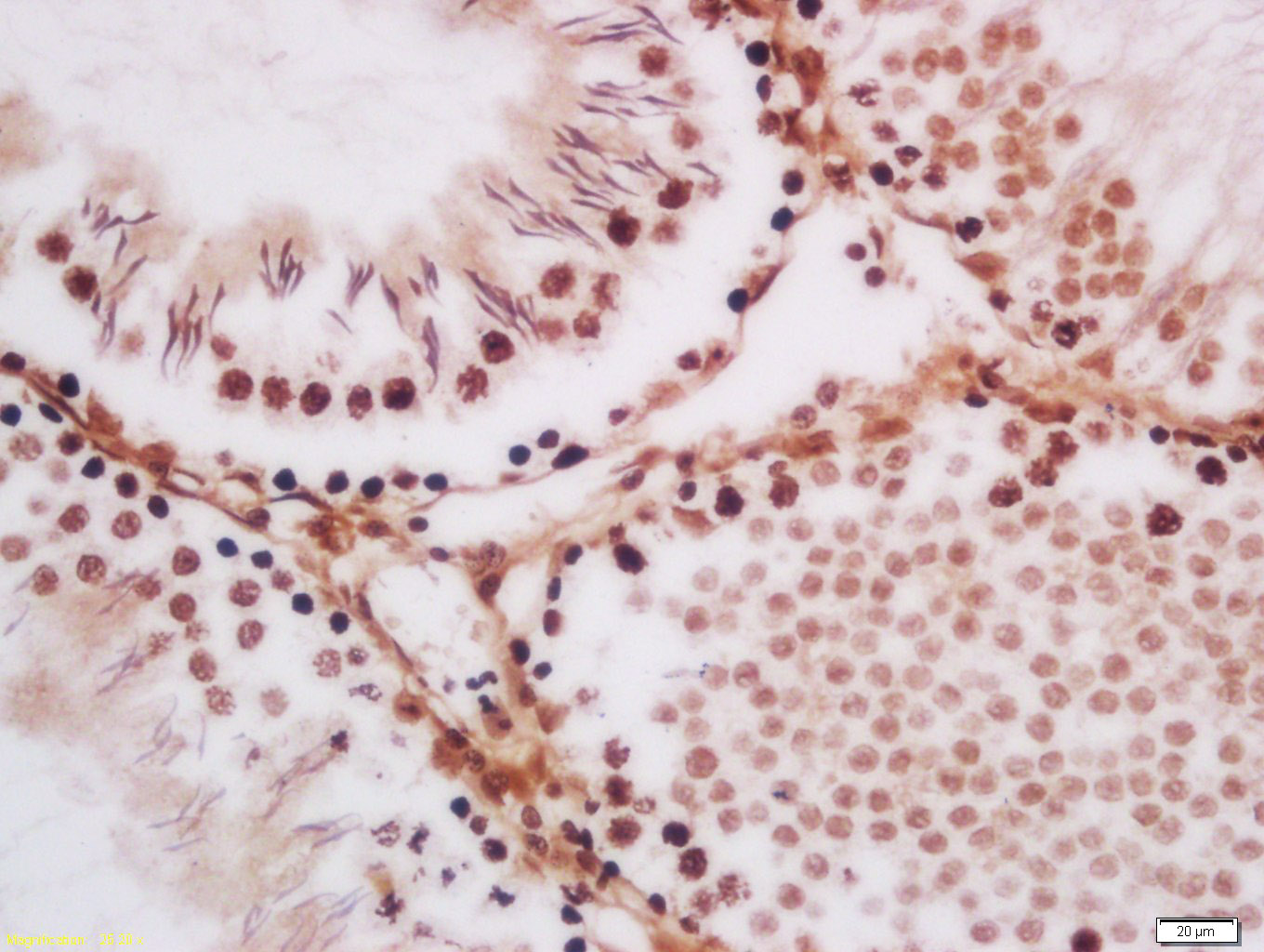
Antigen retrieval: citrate buffer ( 0.01M, pH 6.0 ), Boiling bathing for 15min; Block endogenous peroxidase by 3% Hydrogen peroxide for 30min; Blocking buffer (normal goat serum,C-0005) at 37℃ for 20 min;
Incubation: Anti-TLK1 Polyclonal Antibody, Unconjugated(bs-3583R) 1:200, overnight at 4°C, followed by conjugation to the secondary antibody(SP-0023) and DAB(C-0010) staining

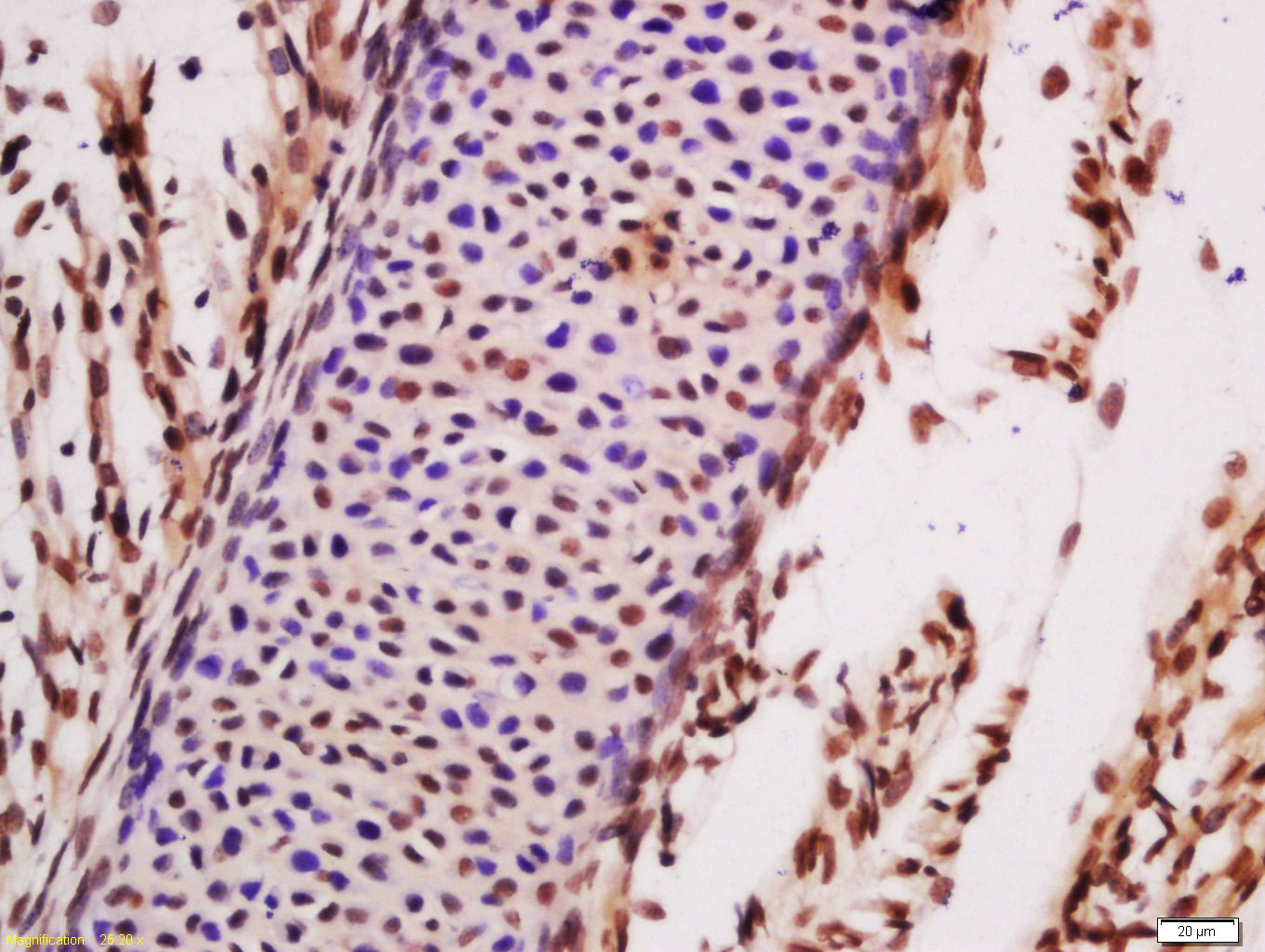
Antigen retrieval: citrate buffer ( 0.01M, pH 6.0 ), Boiling bathing for 15min; Block endogenous peroxidase by 3% Hydrogen peroxide for 30min; Blocking buffer (normal goat serum,C-0005) at 37℃ for 20 min;
Incubation: Anti-TLK1 Polyclonal Antibody, Unconjugated(bs-3583R) 1:200, overnight at 4°C, followed by conjugation to the secondary antibody(SP-0023) and DAB(C-0010) staining
风险提示:丁香通仅作为第三方平台,为商家信息发布提供平台空间。用户咨询产品时请注意保护个人信息及财产安全,合理判断,谨慎选购商品,商家和用户对交易行为负责。对于医疗器械类产品,请先查证核实企业经营资质和医疗器械产品注册证情况。
文献和实验= NAL), appears to form upon oxidative cyclization of the nonfluorescent 2:1 lysine-HNE Michael adduct-Schiff base cross-link (Scheme 1). Polyclonal antibody (PAb) to the NAL-HNE fluorophore was raised in rabbit and found to be highly specific
GE Healthcare Benzamidine Sepharose™ 6B is p-aminobenzamidine covalently attached to Sepharose 6B by the epoxy coupling method. p-Aminobenzamidine (PAB), is a synthetic inhibitor of trypsin-like serine protease. Trypsin and trypsin
Nucleic Acid Programmable Protein Arrays: Versatile Tools for Array‐Based Functional Protein Studies
.g., Sigma) 50 mg/ml bis‐sulfosuccinimdylsuberate (BS3 ;Pierce, cat. no. PI 21580) in dimethylsulfoxide (DMSO) 5 mg/ml
技术资料暂无技术资料 索取技术资料






