相关产品推荐更多 >

SLC7A9 Rabbit pAb, Biotin conjugated(bs-10085R-Bio)-100ul
¥2980
TSLC1 Rabbit pAb, PE-Cy7 conjugated(bs-6026R-PE-Cy7)-100ul
¥2980
HVCN1 Rabbit pAb(bs-18109R)-50ul/100ul/200ul
¥1180
Factor I heavy chain Rabbit pAb, Biotin conjugated(bs-10339R-Bio)-100ul
¥2980
TRAF6BP Rabbit pAb, AP conjugated(bs-13671R-AP)-100ul
¥2980
万千商家帮你免费找货
0 人在求购买到急需产品
- 详细信息
- 文献和实验
- 技术资料
- 应用范围:
产品信息以Bioss网站为准
- 规格:
50ul/100ul/200ul
| 规格: | 50ul | 产品价格: | ¥1180.0 |
|---|---|---|---|
| 规格: | 100ul | 产品价格: | ¥1980.0 |
| 规格: | 200ul | 产品价格: | ¥2800.0 |
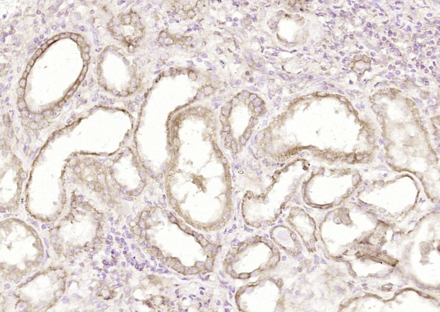
| 产品编号 | bs-12498R |
| 英文名称 | APOL1 Rabbit pAb |
| 中文名称 | 载脂蛋白L1抗体 |
| 英文别名 | APO L; Apo-L; APOL; APOL I; ApoL-I; APOL1; Apolipoprotein L1; APOL1_HUMAN; APOLI; APOL1; APOL 1; APOL-1; Apolipoprotein L; Apolipoprotein L I; Apolipoprotein L-I; Apolipoprotein L1; Apolipoprotein L-1; FSGS4. |
| 产品应用 | IHC-P=1:100-500, IHC-F=1:100-500, IF=1:100-500 Not yet tested in other applications. |
| 交叉反应 | Human |
| 抗体来源 | Rabbit |
| 免疫原 | KLH conjugated synthetic peptide derived from human APOL1/Apolipoprotein L |
| 亚型 | IgG |
| 性状 | Liquid |
| 纯化方法 | affinity purified by Protein A |
| 克隆类型 | Polyclonal |
| 理论分子量 | 41 kDa |
| 浓度 | 1mg/ml |
| 储存液 | 0.01M TBS (pH7.4) with 1% BSA, 0.02% Proclin300 and 50% Glycerol. |
| 研究领域 | Cardiovascular > Atherosclerosis > Lipoprotein metabolism Cardiovascular > Lipids / Lipoproteins > Lipoproteins/Apolipoproteins > Apolipoproteins Metabolism > Pathways and Processes > Metabolic signaling pathways > Lipid and lipoprotein metabolism > Lipoprotein metabolism Metabolism > Types of disease > Heart disease |
| 亚基 | In plasma, interacts with APOA1 and mainly associated with large high density lipoprotein particles. |
| 亚细胞定位 | Secreted. |
| 组织特异性 | Plasma. Found on APOA-I-containing high density lipoprotein (HDL3). Expressed in pancreas, lung, prostate, liver, placenta and spleen. |
| 翻译后修饰 | Phosphorylation sites are present in the extracelllular medium. |
| 相似性 | Belongs to the apolipoprotein L family. |
| 功能 | May play a role in lipid exchange and transport throughout the body. May participate in reverse cholesterol transport from peripheral cells to the liver. |
| 保存条件 | Shipped at 4℃. Store at -20℃ for one year. Avoid repeated freeze/thaw cycles. |
| 注意事项 | This product as supplied is intended for research use only, not for use in human, therapeutic or diagnostic applications. |
| 背景资料 | Apolipoproteins are protein components of plasma lipoproteins (1). The apolipoprotein L gene family encodes six highly homologous proteins designated apoL-I to -VI, which are associated with large high density type lipoproteins (HDL) (2,3). The human apoL family maps to chromosome 22q12.1-13.1 within a 127,000-bp region (4). ApoL has been characterized as a pancreas specific, 383-amino acid protein that contains a 12-amino acid secretory signal peptide (4). The apoL genes have TATA-less promoters and contain putative sterol regulatory elements, suggesting that transcription of these genes may be coordinated with that of the low density lipoprotein receptor and genes in pathways involving the synthesis of triglycerides and cholesterol (3). ApoL homologs can undergo 10 fold changes in expression during atherosclerotic changes in vascular endothelial cells, which includes the inflammatory reaction of atherosclerotic lesions (5). |
| 应用 | 推荐稀释比例 |
| {IHC-P} | {1:100-500} |
| {IHC-F} | {1:100-500} |
| {IF} | {1:100-500} |

风险提示:丁香通仅作为第三方平台,为商家信息发布提供平台空间。用户咨询产品时请注意保护个人信息及财产安全,合理判断,谨慎选购商品,商家和用户对交易行为负责。对于医疗器械类产品,请先查证核实企业经营资质和医疗器械产品注册证情况。
文献和实验[IF={{ 1.889 }}] {Shian Liao. et al. Construction of autophagy prognostic signature and analysis of prospective molecular mechanisms in skin cutaneous melanoma patients. Medicine. 2021 Jun 4; 100(22): e26219} {IHC} {Human}
= NAL), appears to form upon oxidative cyclization of the nonfluorescent 2:1 lysine-HNE Michael adduct-Schiff base cross-link (Scheme 1). Polyclonal antibody (PAb) to the NAL-HNE fluorophore was raised in rabbit and found to be highly specific
GE Healthcare Benzamidine Sepharose™ 6B is p-aminobenzamidine covalently attached to Sepharose 6B by the epoxy coupling method. p-Aminobenzamidine (PAB), is a synthetic inhibitor of trypsin-like serine protease. Trypsin and trypsin
Nucleic Acid Programmable Protein Arrays: Versatile Tools for Array‐Based Functional Protein Studies
.g., Sigma) 50 mg/ml bis‐sulfosuccinimdylsuberate (BS3 ;Pierce, cat. no. PI 21580) in dimethylsulfoxide (DMSO) 5 mg/ml
技术资料暂无技术资料 索取技术资料






