相关产品推荐更多 >

MAP3K2 Recombinant Rabbit mAb(bsm-61285R)-50ul/100ul/25ul
¥800
phospho-NFKB p65 (Ser529) Recombinant Rabbit mAb(bsm-52178R)-50ul/100ul/25ul
¥800
CUTA Rabbit pAb, Biotin conjugated(bs-8248R-Bio)-100ul
¥2980
SMARCC1 Rabbit pAb, HRP conjugated(bs-19924R-HRP)-100ul
¥2980
CHRM4 Rabbit pAb, PerCP conjugated(bs-11998R-PerCP)-100ul
¥2980
万千商家帮你免费找货
0 人在求购买到急需产品
- 详细信息
- 文献和实验
- 技术资料
- 应用范围:
产品信息以Bioss网站为准
- 规格:
50ul/100ul/200ul
| 规格: | 50ul | 产品价格: | ¥1180.0 |
|---|---|---|---|
| 规格: | 100ul | 产品价格: | ¥1980.0 |
| 规格: | 200ul | 产品价格: | ¥2800.0 |
| 产品编号 | bs-5371R |
| 英文名称 | PMVK Rabbit pAb |
| 中文名称 | 磷酸甲羟戊酸激酶抗体 |
| 英文别名 | hPMK; HUMPMKI; phosphomevalonate kinase; PMK; PMK PEN; PMKA; PMKase; PMKI; PMKPEN; PMVK; PMVK_HUMAN; EC 2.7.4.2. |
| 产品应用 | WB=1:500-2000, IHC-P=1:100-500, IHC-F=1:100-500, IF=1:100-500 Not yet tested in other applications. |
| 交叉反应 | Human, Mouse (Rat, Pig, Cow, Horse, Rabbit, Sheep) |
| 抗体来源 | Rabbit |
| 免疫原 | KLH conjugated synthetic peptide derived from human PMVK |
| 亚型 | IgG |
| 性状 | Liquid |
| 纯化方法 | affinity purified by Protein A |
| 克隆类型 | Polyclonal |
| 理论分子量 | 22 kDa |
| 浓度 | 1mg/ml |
| 储存液 | 0.01M TBS (pH7.4) with 1% BSA, 0.02% Proclin300 and 50% Glycerol. |
| 研究领域 | Cancer > Cancer Metabolism > Metabolic signaling pathway > Metabolism of lipids and lipoproteins Metabolism > Pathways and Processes > Metabolic signaling pathways > Lipid and lipoprotein metabolism > Lipid metabolism Signal Transduction > Metabolism > Lipid metabolism |
| 亚基 | Monomer (By similarity). |
| 亚细胞定位 | Peroxisome. |
| 组织特异性 | Heart, liver, skeletal muscle, kidney, and pancreas. Lower level in brain, placenta and lung. |
| 保存条件 | Shipped at 4℃. Store at -20℃ for one year. Avoid repeated freeze/thaw cycles. |
| 注意事项 | This product as supplied is intended for research use only, not for use in human, therapeutic or diagnostic applications. |
| 背景资料 | PMVK is a 192 amino acid peroxisomal enzyme belonging to the nucleoside monophosphate (NMP) kinase family and is expressed in heart, liver, skeletal muscle, kidney, and pancreas with lower expression in brain, placenta and lung. Induced by sterol, PMVK participates in isopentenyl diphosphate biosynthesis via the mevalonate pathway. PMVK catalyzes the conversion of mevalonate 5-phosphate into mevalonate 5-diphosphate in the fifth reaction of the cholesterol biosynthetic pathway. PMVK exists as a monomer and is encoded by a gene located on human chromosome 1, which houses over 3,000 genes and is the largest human chromosome spanning about 260 million base pairs and making up 8% of the human genome. |
| 应用 | 推荐稀释比例 |
| {WB} | {1:500-2000} |
| {IHC-P} | {1:100-500} |
| {IHC-F} | {1:100-500} |
| {IF} | {1:100-500} |

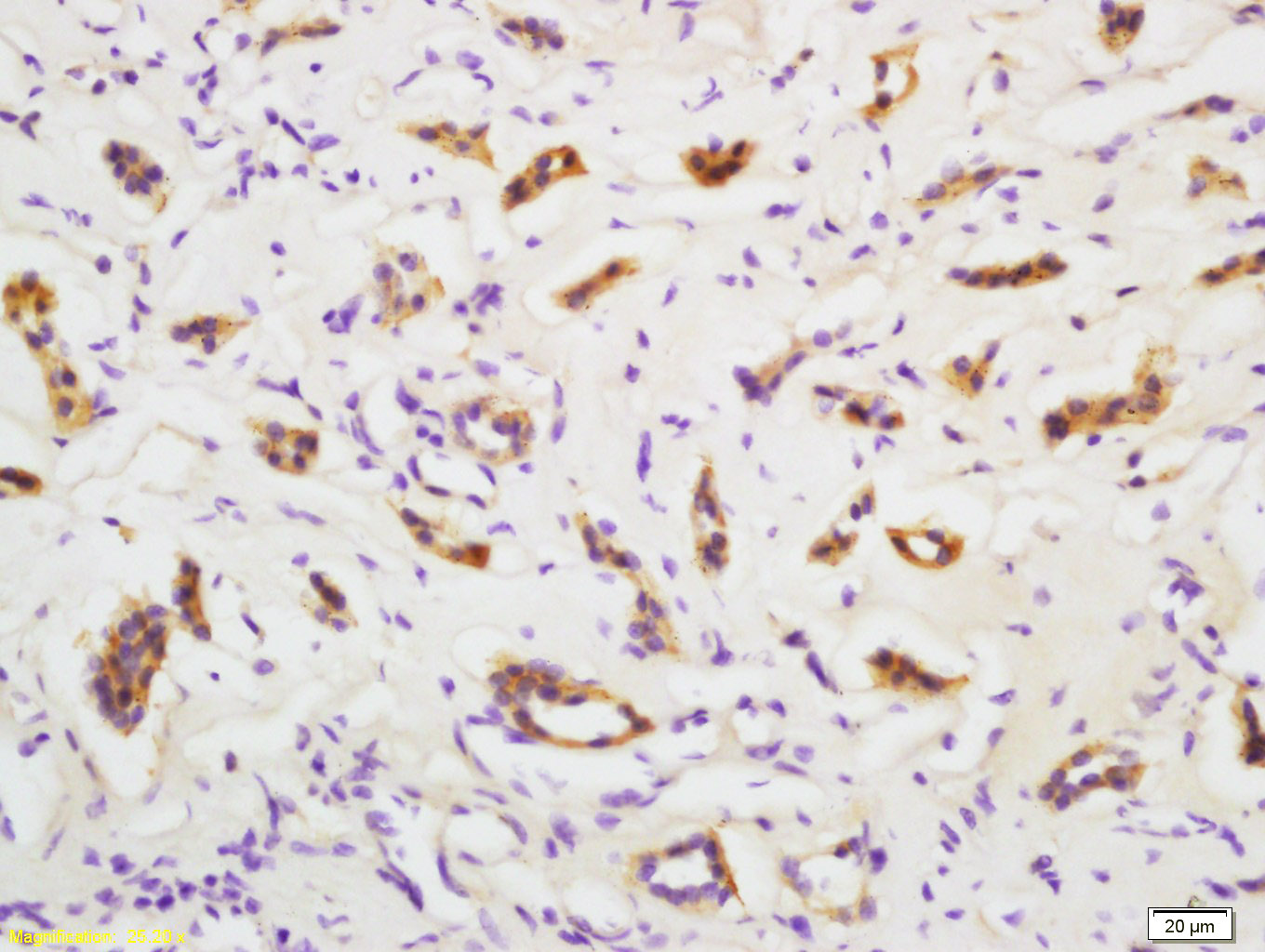
Antigen retrieval: citrate buffer ( 0.01M, pH 6.0 ), Boiling bathing for 15min; Block endogenous peroxidase by 3% Hydrogen peroxide for 30min; Blocking buffer (normal goat serum,C-0005) at 37℃ for 20 min;
Incubation: Anti-PMVK Polyclonal Antibody, Unconjugated(bs-5371R) 1:200, overnight at 4°C, followed by conjugation to the secondary antibody(SP-0023) and DAB(C-0010) staining

Uterus (Mouse) Lysate at 40 ug
Cerebrum (Mouse) Lysate at 40 ug
Heart (Mouse) Lysate at 40 ug
Lymph node (Mouse) Lysate at 40 ug
293T(Human) Cell Lysate at 30 ug
Primary: Anti-PMVK (bs-5371R) at 1/1000 dilution
Secondary: IRDye800CW Goat Anti-Rabbit IgG at 1/20000 dilution
Predicted band size: 22 kD
Observed band size: 24 kD
风险提示:丁香通仅作为第三方平台,为商家信息发布提供平台空间。用户咨询产品时请注意保护个人信息及财产安全,合理判断,谨慎选购商品,商家和用户对交易行为负责。对于医疗器械类产品,请先查证核实企业经营资质和医疗器械产品注册证情况。
文献和实验= NAL), appears to form upon oxidative cyclization of the nonfluorescent 2:1 lysine-HNE Michael adduct-Schiff base cross-link (Scheme 1). Polyclonal antibody (PAb) to the NAL-HNE fluorophore was raised in rabbit and found to be highly specific
GE Healthcare Benzamidine Sepharose™ 6B is p-aminobenzamidine covalently attached to Sepharose 6B by the epoxy coupling method. p-Aminobenzamidine (PAB), is a synthetic inhibitor of trypsin-like serine protease. Trypsin and trypsin
Nucleic Acid Programmable Protein Arrays: Versatile Tools for Array‐Based Functional Protein Studies
.g., Sigma) 50 mg/ml bis‐sulfosuccinimdylsuberate (BS3 ;Pierce, cat. no. PI 21580) in dimethylsulfoxide (DMSO) 5 mg/ml
技术资料暂无技术资料 索取技术资料





