相关产品推荐更多 >
万千商家帮你免费找货
0 人在求购买到急需产品
- 详细信息
- 文献和实验
- 技术资料
- 应用范围:
产品信息以Bioss网站为准
- 规格:
50ul/100ul/200ul
| 规格: | 50ul | 产品价格: | ¥1180.0 |
|---|---|---|---|
| 规格: | 100ul | 产品价格: | ¥1980.0 |
| 规格: | 200ul | 产品价格: | ¥2800.0 |
| 产品编号 | bs-3719R |
| 英文名称 | phospho-Talin (Ser425) Rabbit pAb |
| 中文名称 | 磷酸化踝蛋白抗体 |
| 英文别名 | Talin 1(phospho S425); p-Talin 1(phospho S425); TLN 1; ILWEQ; Talin 1; Talin; TLN; TLN1; TLN1_HUMAN. |
| 产品应用 | IHC-P=1:100-500, IHC-F=1:100-500, IF=1:100-500 Not yet tested in other applications. |
| 交叉反应 | Human (Mouse, Rat, Chicken, Dog, Pig, Cow, Horse, Rabbit) |
| 抗体来源 | Rabbit |
| 免疫原 | KLH conjugated Synthesised phosphopeptide derived from human Talin around the phosphorylation site of Ser425 |
| 亚型 | IgG |
| 性状 | Liquid |
| 纯化方法 | affinity purified by Protein A |
| 克隆类型 | Polyclonal |
| 理论分子量 | 280 kDa |
| 浓度 | 1mg/ml |
| 储存液 | 0.01M TBS (pH7.4) with 1% BSA, 0.02% Proclin300 and 50% Glycerol. |
| 研究领域 | Signal Transduction > Cytoskeleton / ECM > Cytoskeleton > Microfilaments > Talin / Moesin |
| 亚基 | Binds with high affinity to VCL and with low affinity to integrins. Interacts with PTK2/FAK1. Interacts with PIP5K1C and NRAP. Interacts with LAYN. Interacts with SYNM. |
| 亚细胞定位 | Cell projection, ruffle membrane; Peripheral membrane protein; Cytoplasmic side. Cytoplasm, cytoskeleton. Note=Colocalizes with LAYN at the membrane ruffles. |
| 相似性 | Contains 1 FERM domain. Contains 1 I/LWEQ domain. |
| 功能 | Probably involved in connections of major cytoskeletal structures to the plasma membrane. High molecular weight cytoskeletal protein concentrated at regions of cell-substratum contact and, in lymphocytes, at cell-cell contacts. |
| 保存条件 | Shipped at 4℃. Store at -20℃ for one year. Avoid repeated freeze/thaw cycles. |
| 注意事项 | This product as supplied is intended for research use only, not for use in human, therapeutic or diagnostic applications. |
| 背景资料 | Talin, a multifunctional constituent of cell-substratum attachment sites, is a high molecular weight protein (225-270 kDa) found in variety of tissues and cell types. It is localized at a subset of adherens junctions, specialized cell-cell and cell-matrix associations that are characterized by the presence of filamentous actin at the cytoplasmic face of the junctional complex. In cultured cells, talin is absent from cell-cell junctions and found predominantly at adhesion plaques and in fibrillar streaks underlying cell surface fibronectin. Talin interacts with at least two other proteins that are localized at adhesion plaques, vinculin and integrin. Talin and vinculin have been shown to interact with each other and both have been proposed to be involved in generating the transmembrane connection, between the extracellular matrix and the cytoskeleton, that occurs at adhesion plaques. At physiological ionic strength, talin is an elongate, flexible, monomeric protein with the ability to self-associate into dimers at higher protein concentrations. |
| 应用 | 推荐稀释比例 |
| {IHC-P} | {1:100-500} |
| {IHC-F} | {1:100-500} |
| {IF} | {1:100-500} |

Antigen retrieval: citrate buffer ( 0.01M, pH 6.0 ), Boiling bathing for 15min; Block endogenous peroxidase by 3% Hydrogen peroxide for 30min; Blocking buffer (normal goat serum,C-0005) at 37℃ for 20 min;
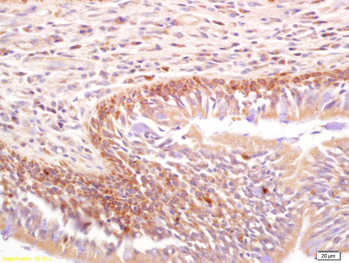
Incubation: Anti-Phospho-Talin(Ser425) Polyclonal Antibody, Unconjugated(bs-3719R) 1:200, overnight at 4°C, followed by conjugation to the secondary antibody(SP-0023) and DAB(C-0010) staining
风险提示:丁香通仅作为第三方平台,为商家信息发布提供平台空间。用户咨询产品时请注意保护个人信息及财产安全,合理判断,谨慎选购商品,商家和用户对交易行为负责。对于医疗器械类产品,请先查证核实企业经营资质和医疗器械产品注册证情况。
文献和实验[IF={{ 1.7 }}] {Zhengxiu He. et al. Talin1 Ser425 phosphorylation promotes colorectal cancer progression and metastasis. TRANSL CANCER RES. 2025 Feb;14(2):796} {IHC} {Human}
:使用 Anti-phospho-Akt (Ser473) Rabbit mAb 对石蜡包埋的人乳腺癌组织进行免疫组织化学分析。(图 A)使用免疫组化试剂盒M&R HRP/DAB Detection IHC Kit,抗体 1:100 稀释;(图 B) 采用普通免疫组化试剂盒,抗体 1:25 稀释。 图 6 免疫组化实验检测 Erk1/2 表达 注:使用 Anti-Erk1/2 Mouse mAb与p44/42 MAPK (Erk1/2)Rabbit mAb 对正常小鼠心脏组织进行免疫
at 10, 25, and 50 μM). At 24 h post-treatment, celllysates were obtained; SDS-PAGE and Western blotting were performed as described in Section 3, Methods. AR-A014418dose-dependent decreases of phospho-β-catenin (Ser33/37) and phospho-glycogen synthase
(Ser473)(193H12)Rabbit mAb,1:300,稀释,二抗是驴抗兔,1:2000,我是实验室的新手,刚呆俩月,受 此挫折,一头雾水,请过来人或者有经验的同学帮忙解答怎样解决,非常感谢! 碧峤 pAkt有两个位点,Ser473和Thr308,其中Ser473相对容易显色。如果显色失败,可能的原因:1 上样量过少,我们一般都是30μg;2 一抗孵育时间过短,我们一般24h~48h;3 一抗是否工作有待排除 米宝
技术资料暂无技术资料 索取技术资料









