相关产品推荐更多 >
万千商家帮你免费找货
0 人在求购买到急需产品
- 详细信息
- 文献和实验
- 技术资料
- 应用范围:
产品信息以Bioss网站为准
- 规格:
50ul/100ul/200ul
| 规格: | 50ul | 产品价格: | ¥1180.0 |
|---|---|---|---|
| 规格: | 100ul | 产品价格: | ¥1980.0 |
| 规格: | 200ul | 产品价格: | ¥2800.0 |
| 产品编号 | bs-16026R |
| 英文名称 | FAPP2 Rabbit pAb |
| 中文名称 | FAPP2蛋白抗体 |
| 英文别名 | FAPP-2; FAPP2; hFAPP2; MGC3358; PH domain-containing family A member 8; Phosphatidylinositol-four-phosphate adapter protein 2; phosphoinositide binding specificmember 8; phosphoinositol 4 phosphate adaptor protein 2; phosphoinositol 4-phosphate adapter protein 2; PKHA8_HUMAN; Pleckstrin homology domain containing family A(phosphoinositide binding specific) member 8; Pleckstrin homology domain containing family A; Pleckstrin homology domain-containing family A member 8; Plekha8; PLEKHA8 protein; Serologically defined breast cancer antigen NY-BR-86. |
| 产品应用 | WB=1:500-2000, IHC-P=1:100-500, IHC-F=1:100-500, IF=1:100-500 Not yet tested in other applications. |
| 交叉反应 | Human (Mouse, Rat, Dog, Pig, Cow, Horse, Rabbit, Sheep) |
| 抗体来源 | Rabbit |
| 免疫原 | KLH conjugated synthetic peptide derived from human FAPP2 |
| 亚型 | IgG |
| 性状 | Liquid |
| 纯化方法 | affinity purified by Protein A |
| 克隆类型 | Polyclonal |
| 理论分子量 | 58 kDa |
| 浓度 | 1mg/ml |
| 储存液 | 0.01M TBS (pH7.4) with 1% BSA, 0.02% Proclin300 and 50% Glycerol. |
| 研究领域 | Signal Transduction > Metabolism > Lipid metabolism Signal Transduction > Protein Trafficking > Chaperones > Other Chaperones |
| 亚细胞定位 | Cytoplasm. Localized to perinuclear structures in the trans-Golgi network. |
| 组织特异性 | Expressed in kidney cell lines. |
| 相似性 | Contains 1 PH domain. |
| 保存条件 | Shipped at 4℃. Store at -20℃ for one year. Avoid repeated freeze/thaw cycles. |
| 注意事项 | This product as supplied is intended for research use only, not for use in human, therapeutic or diagnostic applications. |
| 背景资料 | Involved in TGN-to-plasma membrane transport and in the formation of post-Golgi constitutive carriers. May play a role in ensuring the coordination of the budding and the fission reactions. |
| 应用 | 推荐稀释比例 |
| {WB} | {1:500-2000} |
| {IHC-P} | {1:100-500} |
| {IHC-F} | {1:100-500} |
| {IF} | {1:100-500} |

293T Cell (Human) Lysate at 40 ug
293FT Cell (Human) Lysate at 40 ug
Primary: Anti-FAPP2 (bs-16026R) at 1/300 dilution
Secondary: IRDye800CW Goat Anti-Rabbit IgG at 1/20000 dilution
Predicted band size: 58 kD
Observed band size: 58 kD

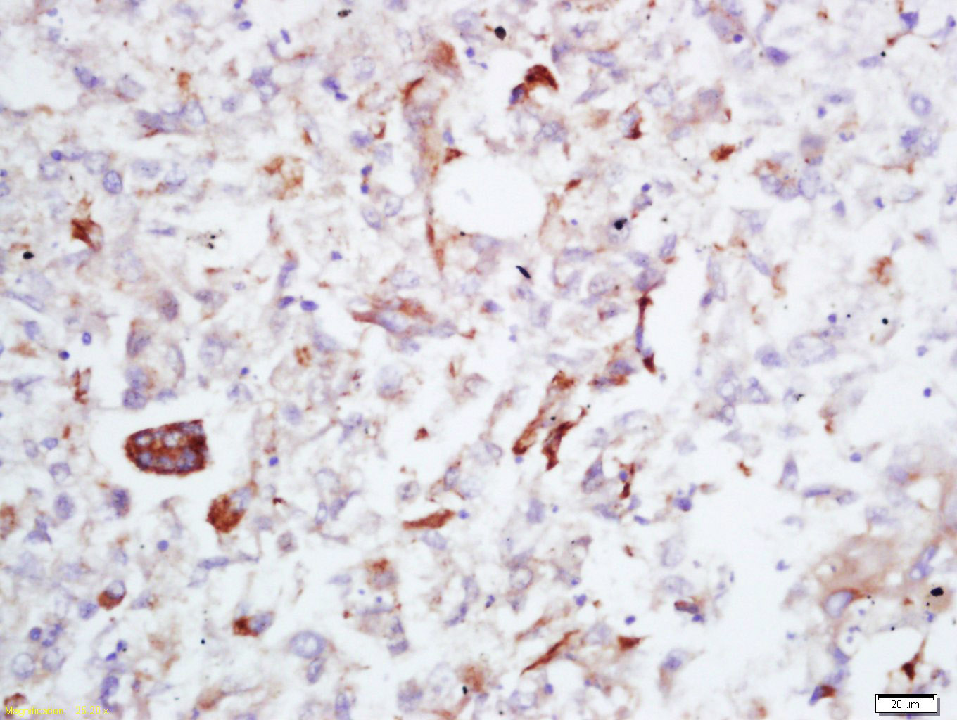
Antigen retrieval: citrate buffer ( 0.01M, pH 6.0 ), Boiling bathing for 15min; Block endogenous peroxidase by 3% Hydrogen peroxide for 30min; Blocking buffer (normal goat serum,C-0005) at 37℃ for 20 min;
Incubation: Anti-FAPP2 Polyclonal Antibody, Unconjugated(bs-16026R) 1:200, overnight at 4°C, followed by conjugation to the secondary antibody(SP-0023) and DAB(C-0010) staining
风险提示:丁香通仅作为第三方平台,为商家信息发布提供平台空间。用户咨询产品时请注意保护个人信息及财产安全,合理判断,谨慎选购商品,商家和用户对交易行为负责。对于医疗器械类产品,请先查证核实企业经营资质和医疗器械产品注册证情况。
文献和实验[IF={{ 14.808 }}] {Noritaka Saeki. et al. Epigenetic regulator UHRF1 suppressively orchestrates pro-inflammatory gene expression in rheumatoid arthritis. J CLIN INVEST. 2022 Apr;:} {IF} {Human}
= NAL), appears to form upon oxidative cyclization of the nonfluorescent 2:1 lysine-HNE Michael adduct-Schiff base cross-link (Scheme 1). Polyclonal antibody (PAb) to the NAL-HNE fluorophore was raised in rabbit and found to be highly specific
GE Healthcare Benzamidine Sepharose™ 6B is p-aminobenzamidine covalently attached to Sepharose 6B by the epoxy coupling method. p-Aminobenzamidine (PAB), is a synthetic inhibitor of trypsin-like serine protease. Trypsin and trypsin
Nucleic Acid Programmable Protein Arrays: Versatile Tools for Array‐Based Functional Protein Studies
.g., Sigma) 50 mg/ml bis‐sulfosuccinimdylsuberate (BS3 ;Pierce, cat. no. PI 21580) in dimethylsulfoxide (DMSO) 5 mg/ml
技术资料暂无技术资料 索取技术资料









