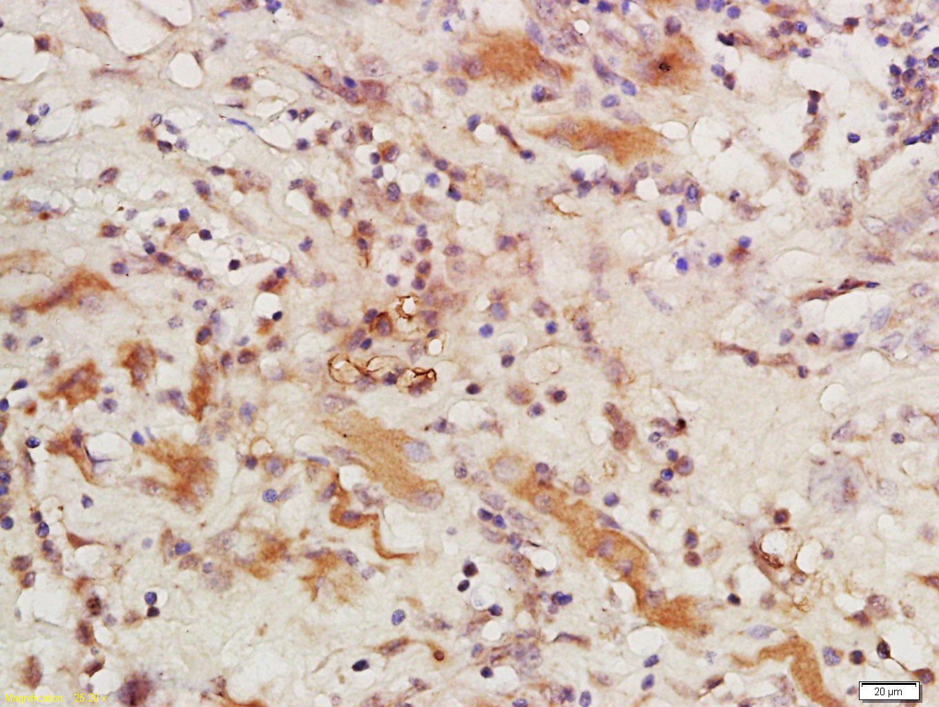
Tissue/cell: human laryngocarcinoma; 4% Paraformaldehyde-fixed and paraffin-embedded;
Antigen retrieval: citrate buffer ( 0.01M, pH 6.0 ), Boiling bathing for 15min; Block endogenous peroxidase by 3% Hydrogen peroxide for 30min; Blocking buffer (normal goat serum,C-0005) at 37℃ for 20 min;
Incubation: Anti-CSAG1 Polyclonal Antibody, Unconjugated(bs-14081R) 1:200, overnight at 4°C, followed by conjugation to the secondary antibody(SP-0023) and DAB(C-0010) staining
相关产品推荐更多 >

GBA3 Rabbit pAb, HRP conjugated(bs-13298R-HRP)-100ul
¥2980
p75 NGF Receptor Rabbit pAb, AP conjugated(bs-7122R-AP)-100ul
¥2980
DLL4 Rabbit pAb, AP conjugated(bs-5909R-AP)-100ul
¥2980
DNMBP Rabbit pAb(bs-8281R)-50ul/100ul/200ul
¥1180
phospho-STAT5b (Ser731) Rabbit pAb, APC-Cy5.5 conjugated(bs-5703R-APC-Cy5.5)-100ul
¥2980
万千商家帮你免费找货
0 人在求购买到急需产品
- 详细信息
- 技术资料
- 应用范围:
产品信息以Bioss网站为准
- 规格:
50ul/100ul/200ul
| 规格: | 50ul | 产品价格: | ¥1180.0 |
|---|---|---|---|
| 规格: | 100ul | 产品价格: | ¥1980.0 |
| 规格: | 200ul | 产品价格: | ¥2800.0 |
| 产品编号 | bs-14081R |
| 英文名称 | CSAG1 Rabbit pAb |
| 中文名称 | 软骨肉瘤相关蛋白1抗体 |
| 英文别名 | Cancer/testis antigen 24.1; Cancer/testis antigen CSAGE; Cancer/testis antigen family 24, member 1; Chondrosarcoma associated gene 1; CSAG1; CSAGE; CT24.1; Putative chondrosarcoma-associated gene 1 protein. |
| 产品应用 | IHC-P=1:100-500, IHC-F=1:100-500, IF=1:100-500 Not yet tested in other applications. |
| 交叉反应 | Human |
| 抗体来源 | Rabbit |
| 免疫原 | KLH conjugated synthetic peptide derived from human CSAG1 |
| 亚型 | IgG |
| 性状 | Liquid |
| 纯化方法 | affinity purified by Protein A |
| 克隆类型 | Polyclonal |
| 理论分子量 | 6.7 kDa |
| 浓度 | 1mg/ml |
| 储存液 | 0.01M TBS (pH7.4) with 1% BSA, 0.02% Proclin300 and 50% Glycerol. |
| 研究领域 | Cancer > Tumor biomarkers |
| 亚细胞定位 | Expressed in chondrosarcoma, melanoma, cartilage and testis, but not in other normal tissues. |
| 功能 | This gene encodes a member of a family of tumor antigens. The protein is expressed in chondrosarcomas, but may also be expressed in normal tissues such as testis. Alternative splicing of this gene results in two transcript variants encoding the same protein. |
| 保存条件 | Shipped at 4℃. Store at -20℃ for one year. Avoid repeated freeze/thaw cycles. |
| 注意事项 | This product as supplied is intended for research use only, not for use in human, therapeutic or diagnostic applications. |
| 背景资料 | This gene encodes a member of a family of tumor antigens. The protein is expressed in chondrosarcomas, but may also be expressed in normal tissues such as testis. Alternative splicing of this gene results in two transcript variants encoding the same protein. [provided by RefSeq, Jul 2008] |
| 应用 | 推荐稀释比例 |
| {IHC-P} | {1:100-500} |
| {IHC-F} | {1:100-500} |
| {IF} | {1:100-500} |

风险提示:丁香通仅作为第三方平台,为商家信息发布提供平台空间。用户咨询产品时请注意保护个人信息及财产安全,合理判断,谨慎选购商品,商家和用户对交易行为负责。对于医疗器械类产品,请先查证核实企业经营资质和医疗器械产品注册证情况。
技术资料暂无技术资料 索取技术资料
CSAG1 Rabbit pAb(bs-14081R)-50ul/100ul/200ul
¥1180 - 2800





