相关产品推荐更多 >

ADAM15 Rabbit pAb(bs-5848R)-50ul/100ul/200ul
¥1180
SKA3 Rabbit pAb, AP conjugated(bs-7848R-AP)-100ul
¥2980
KRT81 Rabbit pAb, HRP conjugated(bs-20249R-HRP)-100ul
¥2980
phospho-PDGFRA (Tyr754) Rabbit pAb, BF555 conjugated(bs-20280R-BF555)-100ul
¥2980
Growth hormone receptor Rabbit pAb, BF750 conjugated(bs-0654R-BF750)-100ul
¥2980
万千商家帮你免费找货
0 人在求购买到急需产品
- 详细信息
- 文献和实验
- 技术资料
- 应用范围:
产品信息以Bioss网站为准
- 规格:
50ul/100ul/200ul
| 规格: | 50ul | 产品价格: | ¥1180.0 |
|---|---|---|---|
| 规格: | 100ul | 产品价格: | ¥1980.0 |
| 规格: | 200ul | 产品价格: | ¥2800.0 |
| 产品编号 | bs-8867R |
| 英文名称 | GHRHR Rabbit pAb |
| 中文名称 | 生长激素释放因子受体抗体 |
| 英文别名 | GHRFR; GHRH R; GHRH receptor; GHRHR_HUMAN; GHRHRpsv; GRF R; GRF receptor; GRFR; Growth hormone releasing factor receptor; Growth hormone releasing hormone receptor; Growth hormone-releasing factor receptor; Growth hormone-releasing hormone receptor. |
| 产品应用 | WB=1:500-2000, IHC-P=1:100-500, IHC-F=1:100-500, IF=1:100-500 Not yet tested in other applications. |
| 交叉反应 | Human, Rat (Mouse, Dog, Pig, Cow, Rabbit, Sheep) |
| 抗体来源 | Rabbit |
| 免疫原 | KLH conjugated synthetic peptide derived from Rabbit GHRHR |
| 亚型 | IgG |
| 性状 | Liquid |
| 纯化方法 | affinity purified by Protein A |
| 克隆类型 | Polyclonal |
| 理论分子量 | 45 kDa |
| 浓度 | 1mg/ml |
| 储存液 | 0.01M TBS (pH7.4) with 1% BSA, 0.02% Proclin300 and 50% Glycerol. |
| 研究领域 | Neuroscience > Neurology process > Neuroendocrinology > GH Regulation Neuroscience > Neurotransmission > Receptors / Channels > GPCR > More GPCR |
| 亚细胞定位 | Cell membrane. |
| 组织特异性 | Pituitary gland. |
| 相似性 | Belongs to the G-protein coupled receptor 2 family. |
| 功能 | Receptor for GRF, coupled to G proteins which activate adenylyl cyclase. Stimulates somatotroph cell growth, growth hormone gene transcription and growth hormone secretion. |
| 保存条件 | Shipped at 4℃. Store at -20℃ for one year. Avoid repeated freeze/thaw cycles. |
| 注意事项 | This product as supplied is intended for research use only, not for use in human, therapeutic or diagnostic applications. |
| 背景资料 | GHRH-R is a seven transmembrane domain protein that localizes to the somatotroph of the pituitary. GHRH-R plays an important role in growth and acts as a high-affinity receptor for GHRH. Binding of GHRH leads to the coupling of GHRH-R to G-protein which stimulates increased adenylyl cyclase activity and the accumulation of cAMP leading to the synthesis and release of growth hormone and somatotroph proliferation. In addition, this signalling pathway may have direct action in fetal/placental development, reproduction and immune function. GHRH and GHRH-R may also play a role in the regulation of non-rapid eye movement sleep (NREMS). The expression of GHRH-R is dependent on the presence of the POU domain factor Pit-1. Mutations in the gene encoding this protein can result in isolated growth hormone deficiency (IGHD), also known as Dwarfism of Sindh, and anterior pituitary hypoplasia (APH). |
| 应用 | 推荐稀释比例 |
| {WB} | {1:500-2000} |
| {IHC-P} | {1:100-500} |
| {IHC-F} | {1:100-500} |
| {IF} | {1:100-500} |

Adrenal gland (rat) Lysate at 40 ug
panc-1 (human)cell Lysate at 40 ug
Primary: Anti-GHRHR(bs-8867R)at 1/300 dilution
Secondary: IRDye800CW Goat Anti-Rabbit IgG at 1/20000 dilution
Predicted band size: 45kD
Observed band size: 50 kD

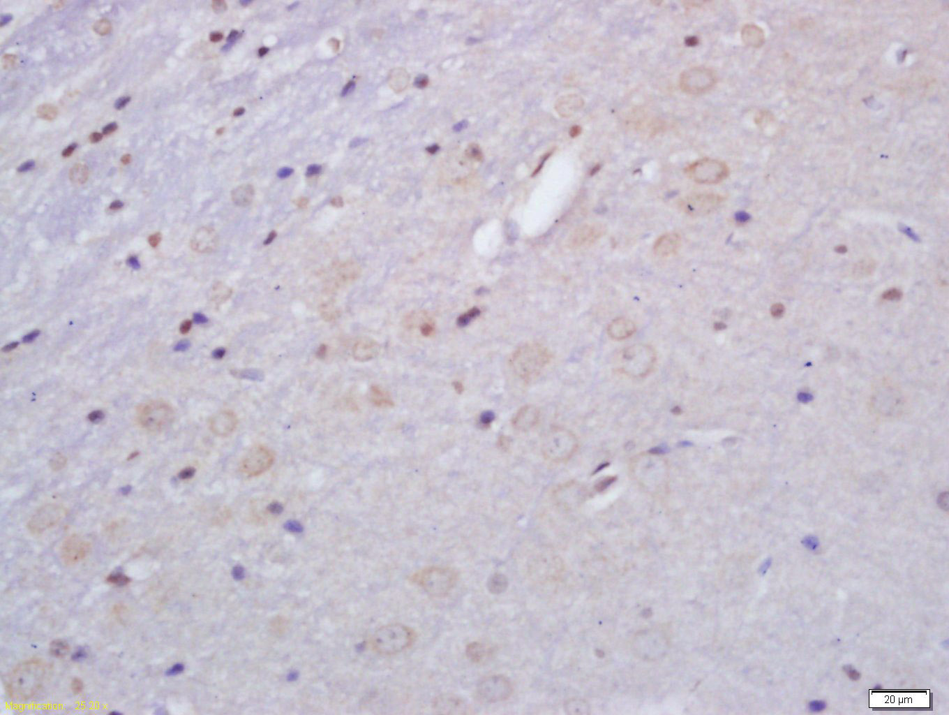
Antigen retrieval: citrate buffer ( 0.01M, pH 6.0 ), Boiling bathing for 15min; Block endogenous peroxidase by 3% Hydrogen peroxide for 30min; Blocking buffer (normal goat serum,C-0005) at 37℃ for 20 min;
Incubation: Anti-GHRHR Polyclonal Antibody, Unconjugated(bs-8867R) 1:200, overnight at 4°C, followed by conjugation to the secondary antibody(SP-0023) and DAB(C-0010) staining
风险提示:丁香通仅作为第三方平台,为商家信息发布提供平台空间。用户咨询产品时请注意保护个人信息及财产安全,合理判断,谨慎选购商品,商家和用户对交易行为负责。对于医疗器械类产品,请先查证核实企业经营资质和医疗器械产品注册证情况。
文献和实验= NAL), appears to form upon oxidative cyclization of the nonfluorescent 2:1 lysine-HNE Michael adduct-Schiff base cross-link (Scheme 1). Polyclonal antibody (PAb) to the NAL-HNE fluorophore was raised in rabbit and found to be highly specific
GE Healthcare Benzamidine Sepharose™ 6B is p-aminobenzamidine covalently attached to Sepharose 6B by the epoxy coupling method. p-Aminobenzamidine (PAB), is a synthetic inhibitor of trypsin-like serine protease. Trypsin and trypsin
Nucleic Acid Programmable Protein Arrays: Versatile Tools for Array‐Based Functional Protein Studies
.g., Sigma) 50 mg/ml bis‐sulfosuccinimdylsuberate (BS3 ;Pierce, cat. no. PI 21580) in dimethylsulfoxide (DMSO) 5 mg/ml
技术资料暂无技术资料 索取技术资料






