产品封面图
文献支持

Histone H3 Rabbit pAb, Nuclear

Loading Control(bs-0349R)-100ul/500ul/200ul/1000ul
收藏
  • ¥580 - 4680
  • Bioss已认证
  • bs-0349R
  • 2025年10月24日
  • 产品信息以Bioss网站为准
avatar
品牌商
10钻石会员
  • 企业认证

    点击 QQ 联系

    • 详细信息
    • 文献和实验
    • 技术资料
    • 应用范围

      产品信息以Bioss网站为准

    • 规格

      100ul/500ul/200ul/1000ul

    规格:100ul产品价格:¥580.0
    规格:500ul产品价格:¥2280.0
    规格:200ul产品价格:¥980.0
    规格:1000ul产品价格:¥4680.0
    产品编号bs-0349R
    英文名称Histone H3 Rabbit pAb, Nuclear Loading Control
    中文名称组蛋白H3(核内参)抗体
    英文别名H3 histone family member E pseudogene; H3 histone family, member A; H3/A; H31_HUMAN; H3F3; H3FA; Hist1h3a; HIST1H3B; HIST1H3C; HIST1H3D; HIST1H3E; HIST1H3F; HIST1H3G; HIST1H3H; HIST1H3I; HIST1H3J; HIST3H3; histone 1, H3a; Histone cluster 1, H3a; Histone H3 3 pseudogene; Histone H3.1; Histone H3/a; Histone H3/b; Histone H3/c; Histone H3/d; Histone H3/f; Histone H3/h; Histone H3/i; Histone H3/j; Histone H3/k; Histone H3/l; H3.1; H3/d; H3C1; H3C10; H3C11; H3C12; H3C2; H3C3; H3C4; H3C7; H3C8; H3FD;
    产品应用WB=1:5000-50000, IHC-P=1:500-2000, IHC-F=1:500-2000, IF=1:500-2000, Flow-Cyt=1μg/Test

    Not yet tested in other applications.
    Optimal working dilutions must be determined by the end user.

    交叉反应Human, Mouse, Rat (Pig, Cow, Rabbit, Fruit Fly)
    抗体来源Rabbit
    免疫原KLH conjugated synthetic peptide derived from human Histone H3
    亚型IgG
    性状Liquid
    纯化方法affinity purified by Protein A
    克隆类型Polyclonal
    理论分子量15 kDa
    浓度1mg/ml
    储存液0.01M TBS (pH7.4) with 1% BSA, 0.02% Proclin300 and 50% Glycerol.
    研究领域

    Epigenetics and Nuclear Signaling > ChIP assays > ChIP antibodies

    Epigenetics and Nuclear Signaling > Histones > H3 > Methylated

    亚基The nucleosome is a histone octamer containing two molecules each of H2A, H2B, H3 and H4 assembled in one H3-H4 heterotetramer and two H2A-H2B heterodimers. The octamer wraps approximately 147 bp of DNA. Interacts with GCN5, whereby H3S10ph increases histone-protein interactions. Interacts with PDD1 and PDD3.
    亚细胞定位Nucleus. Chromosome. Note=Localizes to both the large, transcriptionally active, somatic macronucleus (MAC) and the small, transcriptionally inert, germ line micronucleus (MIC).
    组织特异性Expressed in testicular cells.Expressed during S phase, then expression strongly decreases as cell division slows down during the process of differentiation.
    翻译后修饰Phosphorylated to form H3S10ph. H3S10ph promotes subsequent H3K14ac formation by GCN5. H3S10ph is only found in the mitotically dividing MIC, but not in the amitotically dividing MAC. H3S10ph is correlated with chromosome condensation during mitotic or meiotic micronuclear divisions.
    Acetylation of histone H3 leads to transcriptional activation. H3K14ac formation by GCN5 is promoted by H3S10ph. H3K9acK14ac is the preferred acetylated form of newly synthesized H3. Acetylation occurs almost exclusively in the MAC.
    Methylated to form H3K4me. H3K4me is only found in the transcriptionally active MAC. Methylated to form H3K9me in developing MACs during conjugation, when genome-wide DNA elimination occurs. At this stage, H3K9me specifically occurs on DNA sequences being eliminated (IES), probably targeted by small scan RNAs (scnRNAs) bound to IES, and is required for efficient IES elimination. H3K9me is required for the interaction with the chromodomains of PDD1 and PDD3.
    The full-length protein H3S (slow migrating) is converted to H3F (fast migrating) by proteolytic removal of the first 6 residues. H3F is unique to MIC, and processing seems to occur regularly each generation at a specific point in the cell cycle.
    相似性Belongs to the histone H3 family.
    功能Core component of nucleosome. Nucleosomes wrap and compact DNA into chromatin, limiting DNA accessibility to the cellular machineries which require DNA as a template. Histones thereby play a central role in transcription regulation, DNA repair, DNA replication and chromosomal stability. DNA accessibility is regulated via a complex set of post-translational modifications of histones, also called histone code, and nucleosome remodeling. H3 is deposited into chromatin exclusively through a DNA replication-coupled pathway that can be associated with either DNA duplication or DNA repair synthesis during meiotic homologous recombination.
    保存条件Shipped at 4℃. Store at -20℃ for one year. Avoid repeated freeze/thaw cycles.
    注意事项This product as supplied is intended for research use only, not for use in human, therapeutic or diagnostic applications.
    背景资料Modulation of the chromatin structure plays an important role in the regulation of transcription in eukaryotes. The nucleosome, made up of four core histone proteins (H2A, H2B, H3 and H4), is the primary building block of chromatin. The N-terminal tail of core histones undergoes different posttranslational modifications including acetylation, phosphorylation and methylation. These modifications occur in response to cell signal stimuli and have a direct effect on gene expression. In most species, the histone H2B is primarily acetylated at lysines 5, 12, 15 and 20. Histone H3 is primarily acetylated at lysines 9, 14, 18 and 23. Acetylation at lysine 9 appears to have a dominant role in histone deposition and chromatin assembly in some organisms. Phosphorylation at Ser10 of histone H3 is tightly correlated with chromosome condensation during both mitosis and meiosis.

     

    应用推荐稀释比例
    {WB}{1:5000-50000}
    {IHC-P}{1:500-2000}
    {IHC-F}{1:500-2000}
    {IF}{1:500-2000}
    {Flow-Cyt}{1μg/Test}

     

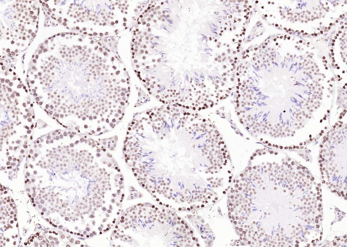
    产品细节图片1
    P‌‌araformaldehyde-fixed, paraffin embedded (mouse testis); Antigen retrieval by boiling in sodium citrate buffer (pH6.0) for 15min; Block endogenous peroxidase by 3% hydrogen peroxide for 20 minutes; Blocking buffer (normal goat serum) at 37°C for 30min; Antibody incubation with (Histone H3 (Nuclear Loading Control) ) Polyclonal Antibody, Unconjugated (bs-0349R) at 1:200 overnight at 4°C, followed by operating according to SP Kit(Rabbit) (sp-0023) instructionsand DAB staining.
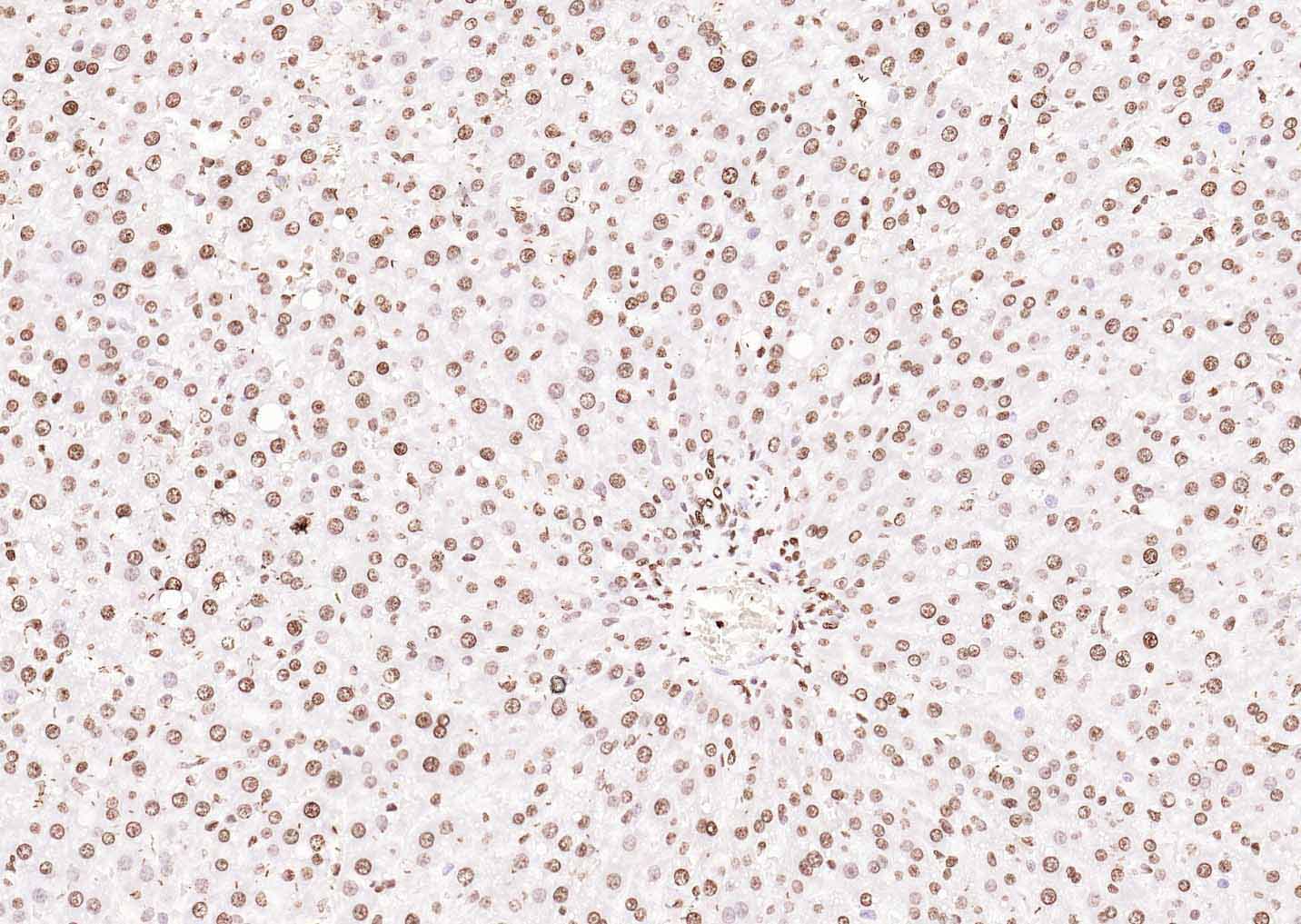
    产品细节图片2
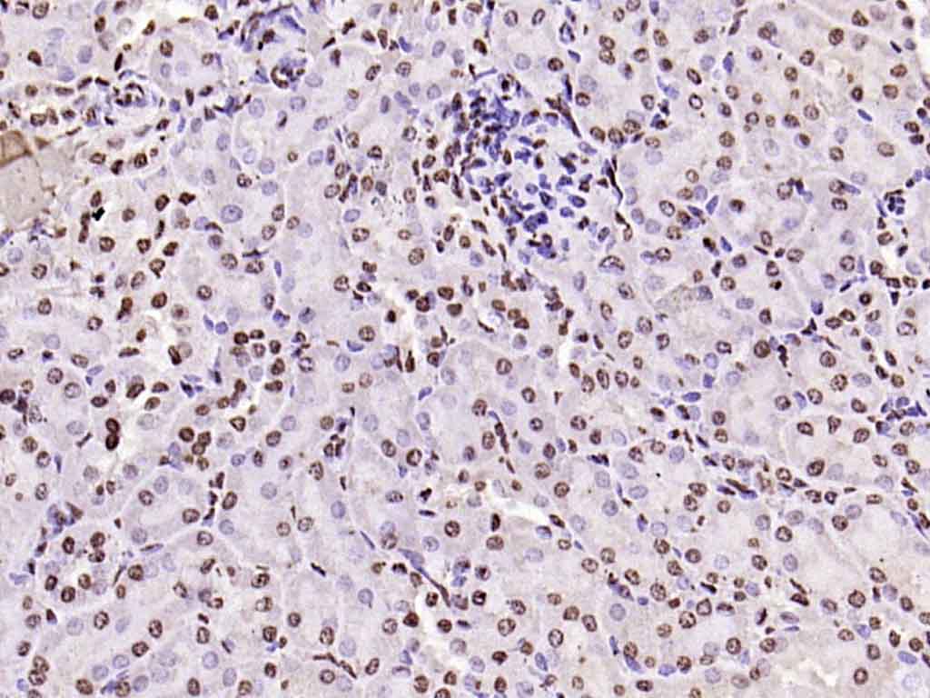
    P‌‌araformaldehyde-fixed, paraffin embedded (rat liver); Antigen retrieval by boiling in sodium citrate buffer (pH6.0) for 15min; Block endogenous peroxidase by 3% hydrogen peroxide for 20 minutes; Blocking buffer (normal goat serum) at 37°C for 30min; Antibody incubation with (Histone H3 (Nuclear Loading Control) ) Polyclonal Antibody, Unconjugated (bs-0349R) at 1:200 overnight at 4°C, followed by operating according to SP Kit(Rabbit) (sp-0023) instructionsand DAB staining.
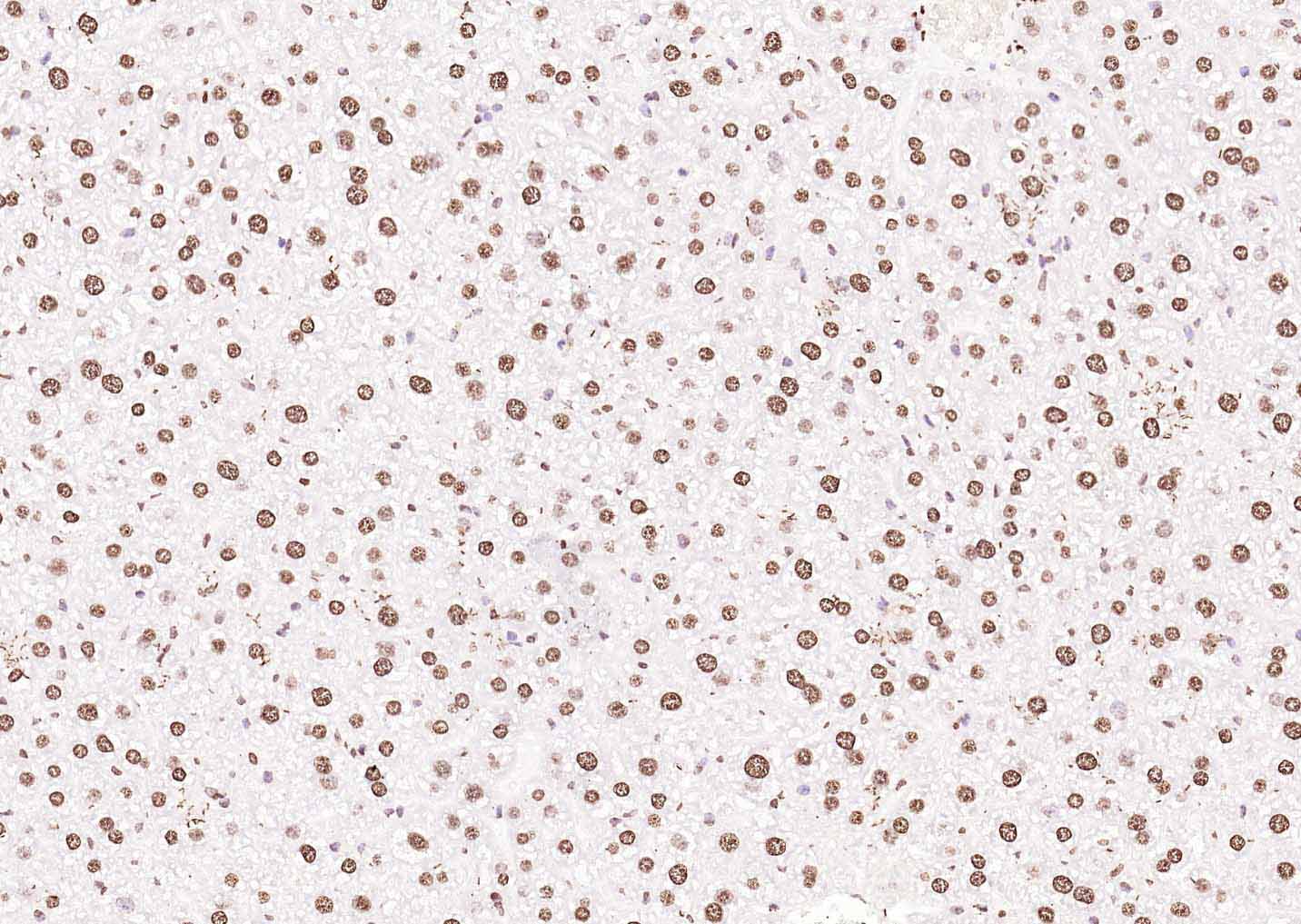
    产品细节图片3
    P‌‌araformaldehyde-fixed, paraffin embedded (mouse liver); Antigen retrieval by boiling in sodium citrate buffer (pH6.0) for 15min; Block endogenous peroxidase by 3% hydrogen peroxide for 20 minutes; Blocking buffer (normal goat serum) at 37°C for 30min; Antibody incubation with (Histone H3 (Nuclear Loading Control) ) Polyclonal Antibody, Unconjugated (bs-0349R) at 1:200 overnight at 4°C, followed by operating according to SP Kit(Rabbit) (sp-0023) instructionsand DAB staining.
    产品细节图片4
    P‌‌araformaldehyde-fixed, paraffin embedded (mouse liver); Antigen retrieval by boiling in sodium citrate buffer (pH6.0) for 15min; Blocking buffer (normal goat serum) at 37°C for 30min; Antibody incubation with (Histone H3 (Nuclear Loading Control)) Polyclonal Antibody, Unconjugated (bs-0349R) at 1:300 overnight at 4°C, followed by a conjugated Goat Anti-Rabbit IgG antibody (YF488) for 90 minutes, and DAPI for nuclei staining.
    产品细节图片5
    Blank control: Mouse spleen cells (blue).
    Primary Antibody:Rabbit Anti-Histone H3/HIST3H3 antibody(bs-0349R), Dilution: 1μg in 100 μL 1X PBS containing 0.5% BSA;
    Isotype Control Antibody: Rabbit IgG(orange) ,used under the same conditions );
    Secondary Antibody: Goat anti-rabbit IgG-PE(white blue), Dilution: 1:200 in 1 X PBS containing 0.5% BSA.
    Protocol
    The cells were fixed with 2% P‌‌araformaldehyde (10 min). Primary antibody (bs-0349R, 1μg /1x10^6 cells) were incubated for 30 min on the ice, followed by 1 X PBS containing 0.5% BSA + 1 0% goat serum (15 min) to block non-specific protein-protein interactions. Then the Goat Anti-rabbit IgG/PE antibody was added into the blocking buffer mentioned above to react with the primary antibody at 1/200 dilution for 30 min on ice. Acquisition of 20,000 events was performed.
    产品细节图片6
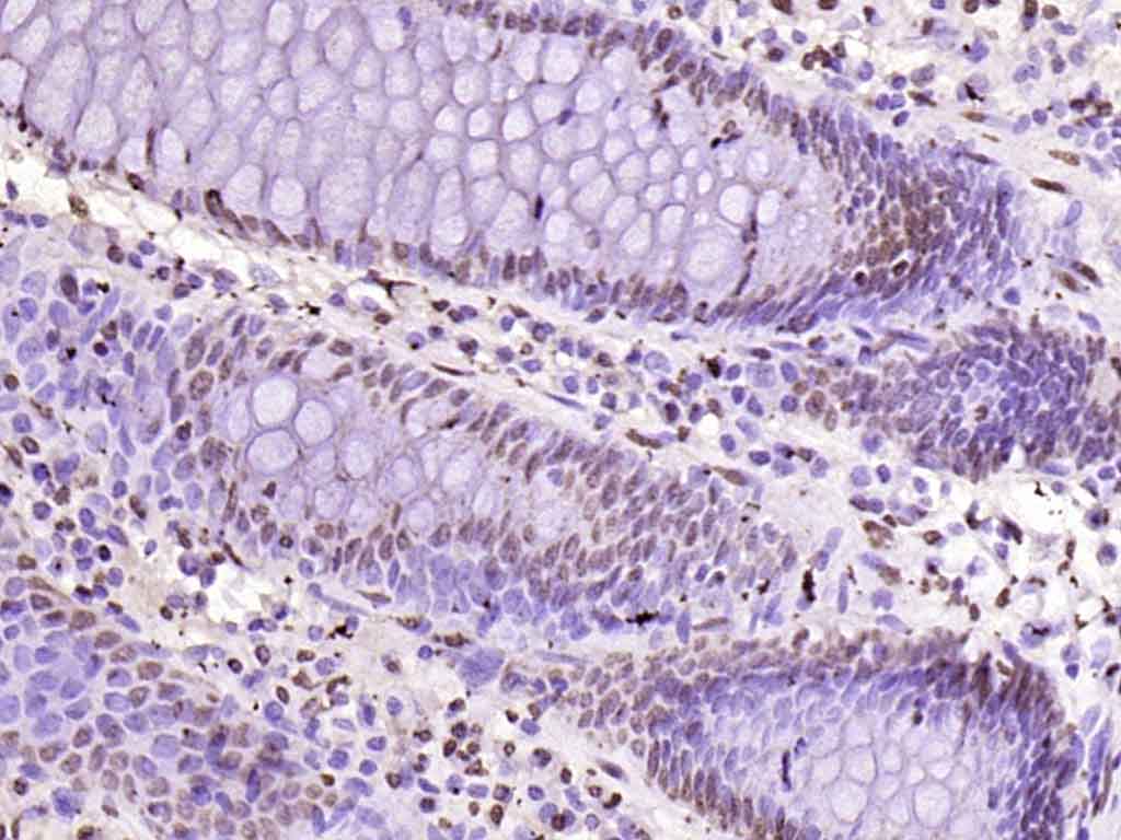
    P‌‌araformaldehyde-fixed, paraffin embedded (human colon); Antigen retrieval by boiling in sodium citrate buffer (pH6.0) for 15min; Block endogenous peroxidase by 3% hydrogen peroxide for 20 minutes; Blocking buffer (normal goat serum) at 37°C for 30min; Antibody incubation with (Histone H3(Nuclear Loading Control)) Polyclonal Antibody, Unconjugated (bs-0349R ) at 1:200 overnight at 4°C, followed by operating according to SP Kit(Rabbit) (sp-0023) instructionsand DAB staining.
    产品细节图片7
    P‌‌araformaldehyde-fixed, paraffin embedded (rat pancreas); Antigen retrieval by boiling in sodium citrate buffer (pH6.0) for 15min; Block endogenous peroxidase by 3% hydrogen peroxide for 20 minutes; Blocking buffer (normal goat serum) at 37°C for 30min; Antibody incubation with (Histone H3(Nuclear Loading Control)) Polyclonal Antibody, Unconjugated (bs-0349R ) at 1:200 overnight at 4°C, followed by operating according to SP Kit(Rabbit) (sp-0023) instructionsand DAB staining.
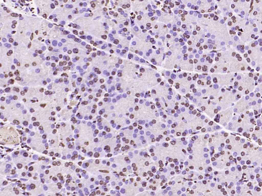
    产品细节图片8
    P‌‌araformaldehyde-fixed, paraffin embedded (mouse pancreas); Antigen retrieval by boiling in sodium citrate buffer (pH6.0) for 15min; Block endogenous peroxidase by 3% hydrogen peroxide for 20 minutes; Blocking buffer (normal goat serum) at 37°C for 30min; Antibody incubation with (Histone H3(Nuclear Loading Control)) Polyclonal Antibody, Unconjugated (bs-0349R ) at 1:200 overnight at 4°C, followed by operating according to SP Kit(Rabbit) (sp-0023) instructionsand DAB staining.
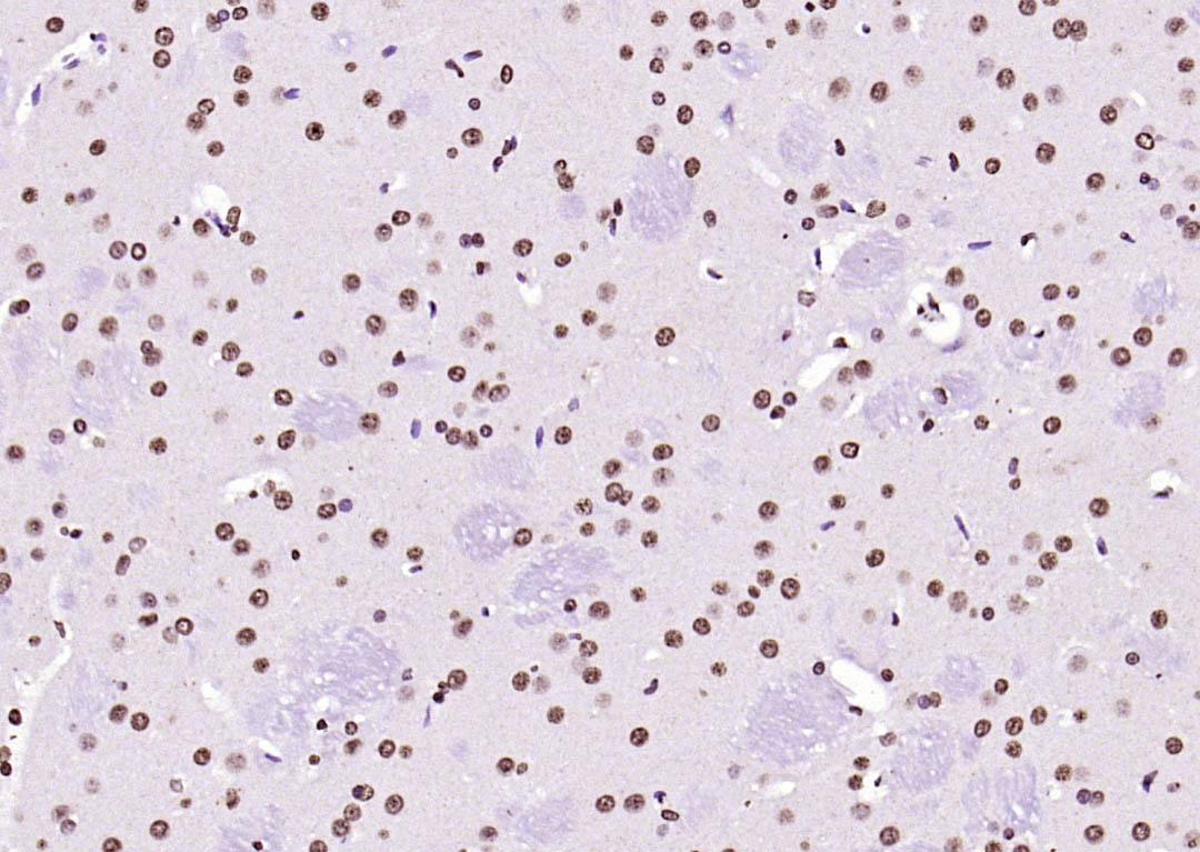
    产品细节图片9
    P‌‌araformaldehyde-fixed, paraffin embedded (mouse brain); Antigen retrieval by boiling in sodium citrate buffer (pH6.0) for 15min; Block endogenous peroxidase by 3% hydrogen peroxide for 20 minutes; Blocking buffer (normal goat serum) at 37°C for 30min; Antibody incubation with (Histone H3(Nuclear Loading Control)) Polyclonal Antibody, Unconjugated (bs-0349R ) at 1:200 overnight at 4°C, followed by operating according to SP Kit(Rabbit) (sp-0023) instructionsand DAB staining.
    产品细节图片10
    P‌‌araformaldehyde-fixed, paraffin embedded (mouse kidney); Antigen retrieval by boiling in sodium citrate buffer (pH6.0) for 15min; Block endogenous peroxidase by 3% hydrogen peroxide for 20 minutes; Blocking buffer (normal goat serum) at 37°C for 30min; Antibody incubation with (Histone H3(Nuclear Loading Control)) Polyclonal Antibody, Unconjugated (bs-0349R ) at 1:200 overnight at 4°C, followed by operating according to SP Kit(Rabbit) (sp-0023) instructionsand DAB staining.
    产品细节图片11
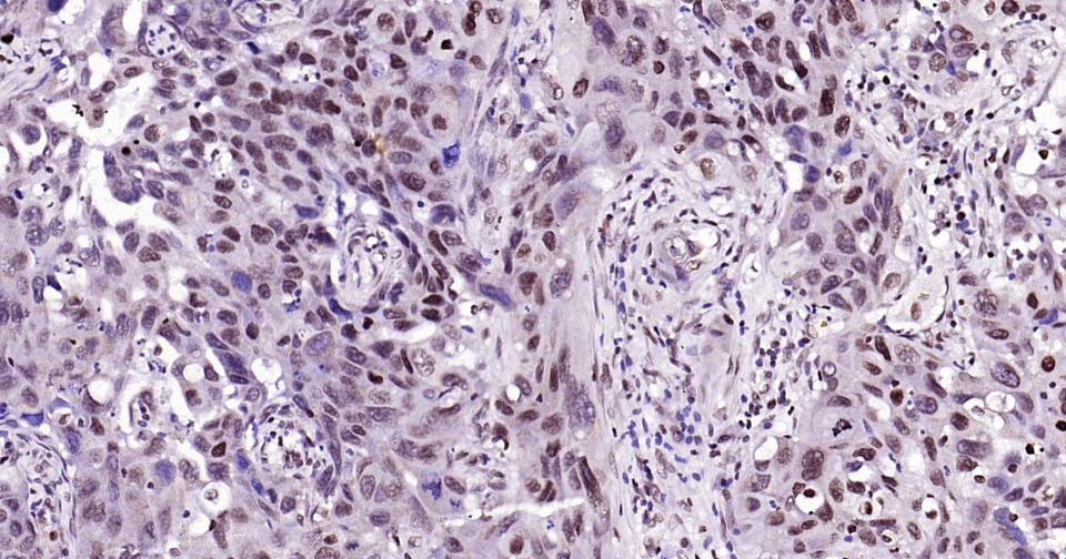
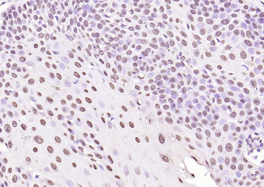
    P‌‌araformaldehyde-fixed, paraffin embedded (human laryngeal carcinoma); Antigen retrieval by boiling in sodium citrate buffer (pH6.0) for 15min; Block endogenous peroxidase by 3% hydrogen peroxide for 20 minutes; Blocking buffer (normal goat serum) at 37°C for 30min; Antibody incubation with (Histone H3HIST3H3(Nuclear Loading Control)) Polyclonal Antibody, Unconjugated (bs-0349R) at 1:200 overnight at 4°C, followed by operating according to SP Kit(Rabbit) (sp-0023) instructionsand DAB staining.
    产品细节图片12
    P‌‌araformaldehyde-fixed, paraffin embedded (rat brain); Antigen retrieval by boiling in sodium citrate buffer (pH6.0) for 15min; Block endogenous peroxidase by 3% hydrogen peroxide for 20 minutes; Blocking buffer (normal goat serum) at 37°C for 30min; Antibody incubation with (Histone H3HIST3H3(Nuclear Loading Control)) Polyclonal Antibody, Unconjugated (bs-0349R) at 1:200 overnight at 4°C, followed by operating according to SP Kit(Rabbit) (sp-0023) instructionsand DAB staining.
    产品细节图片13
    P‌‌araformaldehyde-fixed, paraffin embedded (rat kidney); Antigen retrieval by boiling in sodium citrate buffer (pH6.0) for 15min; Block endogenous peroxidase by 3% hydrogen peroxide for 20 minutes; Blocking buffer (normal goat serum) at 37°C for 30min; Antibody incubation with (Histone H3HIST3H3(Nuclear Loading Control)) Polyclonal Antibody, Unconjugated (bs-0349R) at 1:200 overnight at 4°C, followed by operating according to SP Kit(Rabbit) (sp-0023) instructionsand DAB staining.
    产品细节图片14
    P‌‌araformaldehyde-fixed, paraffin embedded (rat liver); Antigen retrieval by boiling in sodium citrate buffer (pH6.0) for 15min; Blocking buffer (normal goat serum) at 37°C for 30min; Antibody incubation with (Histone H3 (Nuclear Loading Control)) Polyclonal Antibody, Unconjugated (bs-0349R) at 1:300 overnight at 4°C, followed by a conjugated Goat Anti-Rabbit IgG antibody (YF488) for 90 minutes, and DAPI for nuclei staining.
    产品细节图片15
    P‌‌araformaldehyde-fixed, paraffin embedded (rat kidney); Antigen retrieval by boiling in sodium citrate buffer (pH6.0) for 15min; Blocking buffer (normal goat serum) at 37°C for 30min; Antibody incubation with (Histone H3 (Nuclear Loading Control)) Polyclonal Antibody, Unconjugated (bs-0349R) at 1:300 overnight at 4°C, followed by a conjugated Goat Anti-Rabbit IgG antibody (YF488) for 90 minutes, and DAPI for nuclei staining.
    产品细节图片16
    P‌‌araformaldehyde-fixed, paraffin embedded (Human kidney); Antigen retrieval by boiling in sodium citrate buffer (pH6.0) for 15min; Blocking buffer (normal goat serum) at 37°C for 30min; Antibody incubation with (Histone H3 (Nuclear Loading Control)) Polyclonal Antibody, Unconjugated (bs-0349R) at 1:300 overnight at 4°C, followed by a conjugated Goat Anti-Rabbit IgG antibody (YF488) for 90 minutes, and DAPI for nuclei staining.
    产品细节图片17
    P‌‌araformaldehyde-fixed, paraffin embedded (mouse brain); Antigen retrieval by boiling in sodium citrate buffer (pH6.0) for 15min; Blocking buffer (normal goat serum) at 37°C for 30min; Antibody incubation with (Histone H3 (Nuclear Loading Control)) Polyclonal Antibody, Unconjugated (bs-0349R) at 1:300 overnight at 4°C, followed by a conjugated Goat Anti-Rabbit IgG antibody (YF488) for 90 minutes, and DAPI for nuclei staining.
    产品细节图片18
    P‌‌araformaldehyde-fixed, paraffin embedded (mouse kidney); Antigen retrieval by boiling in sodium citrate buffer (pH6.0) for 15min; Blocking buffer (normal goat serum) at 37°C for 30min; Antibody incubation with (Histone H3 (Nuclear Loading Control)) Polyclonal Antibody, Unconjugated (bs-0349R) at 1:300 overnight at 4°C, followed by a conjugated Goat Anti-Rabbit IgG antibody (YF488) for 90 minutes, and DAPI for nuclei staining.
    产品细节图片19
    P‌‌araformaldehyde-fixed, paraffin embedded (rat colon); Antigen retrieval by boiling in sodium citrate buffer (pH6.0) for 15min; Blocking buffer (normal goat serum) at 37°C for 30min; Antibody incubation with (Histone H3 (Nuclear Loading Control)) Polyclonal Antibody, Unconjugated (bs-0349R) at 1:300 overnight at 4°C, followed by a conjugated Goat Anti-Rabbit IgG antibody (YF488) for 90 minutes, and DAPI for nuclei staining.
    产品细节图片20
    P‌‌araformaldehyde-fixed, paraffin embedded (rat brain); Antigen retrieval by boiling in sodium citrate buffer (pH6.0) for 15min; Blocking buffer (normal goat serum) at 37°C for 30min; Antibody incubation with (Histone H3 (Nuclear Loading Control)) Polyclonal Antibody, Unconjugated (bs-0349R) at 1:300 overnight at 4°C, followed by a conjugated Goat Anti-Rabbit IgG antibody (YF488) for 90 minutes, and DAPI for nuclei staining.
    产品细节图片21
    P‌‌araformaldehyde-fixed, paraffin embedded (mouse testis); Antigen retrieval by boiling in sodium citrate buffer (pH6.0) for 15min; Blocking buffer (normal goat serum) at 37°C for 30min; Antibody incubation with (Histone H3 (Nuclear Loading Control)) Polyclonal Antibody, Unconjugated (bs-0349R) at 1:300 overnight at 4°C, followed by a conjugated Goat Anti-Rabbit IgG antibody (YF488) for 90 minutes, and DAPI for nuclei staining.
    产品细节图片22
    P‌‌araformaldehyde-fixed, paraffin embedded (rat testis); Antigen retrieval by boiling in sodium citrate buffer (pH6.0) for 15min; Blocking buffer (normal goat serum) at 37°C for 30min; Antibody incubation with (Histone H3 (Nuclear Loading Control)) Polyclonal Antibody, Unconjugated (bs-0349R) at 1:500 overnight at 4°C, followed by a conjugated Goat Anti-Rabbit IgG antibody (YF488) for 90 minutes, and DAPI for nuclei staining.
    产品细节图片23
    P‌‌araformaldehyde-fixed, paraffin embedded (human liver); Antigen retrieval by boiling in sodium citrate buffer (pH6.0) for 15min; Blocking buffer (normal goat serum) at 37°C for 30min; Antibody incubation with (Histone H3 (Nuclear Loading Control)) Polyclonal Antibody, Unconjugated (bs-0349R) at 1:300 overnight at 4°C, followed by a conjugated Goat Anti-Rabbit IgG antibody (YF488) for 90 minutes, and DAPI for nuclei staining.
    产品细节图片24
    P‌‌araformaldehyde-fixed, paraffin embedded (human brain); Antigen retrieval by boiling in sodium citrate buffer (pH6.0) for 15min; Blocking buffer (normal goat serum) at 37°C for 30min; Antibody incubation with (Histone H3 (Nuclear Loading Control)) Polyclonal Antibody, Unconjugated (bs-0349R) at 1:500 overnight at 4°C, followed by a conjugated Goat Anti-Rabbit IgG antibody (YF488) for 90 minutes, and DAPI for nuclei staining.
    产品细节图片25
    Blank control: K562.
    Primary Antibody (green line): Rabbit Anti-Histone H3/HIST3H3 antibody (bs-0349R)
    Dilution: 1μg /10^6 cells;
    Isotype Control Antibody (orange line): Rabbit IgG .
    Secondary Antibody : Goat anti-rabbit IgG-PE
    Dilution: 1μg /test.
    Protocol
    The cells were fixed with 4% PFA (10min at room temperature)and then permeabilized with 90% ice-cold methanol for 20 min at-20℃. The cells were then incubated in 5%BSA to block non-specific protein-protein interactions for 30 min at at room temperature .Cells stained with Primary Antibody for 30 min at room temperature. The secondary antibody used for 40 min at room temperature. Acquisition of 20,000 events was performed.
    产品细节图片26
    25 ug total protein per lane of various lysates (see on figure) probed with Histone H3 polyclonal antibody, unconjugated (bs-0349R) at 1:1000 dilution and 4°C overnight incubation. Followed by conjugated secondary antibody incubation at r.t. for 60 min.
    产品细节图片27
    P‌‌araformaldehyde-fixed, paraffin embedded Human Lung Cancer; Antigen retrieval by boiling in sodium citrate buffer (pH6.0) for 15 min; Antibody incubation with Histone H3 Polyclonal Antibody, Unconjugated (bs-0349R) at 1:1000 overnight at 4°C, followed by conjugation to the bs-0295G-HRP and DAB (C-0010) staining.
    产品细节图片28
    P‌‌araformaldehyde-fixed, paraffin embedded Human Testicles; Antigen retrieval by boiling in sodium citrate buffer (pH6.0) for 15 min; Antibody incubation with Histone H3 Polyclonal Antibody, Unconjugated (bs-0349R) at 1:1000 overnight at 4°C, followed by conjugation to the bs-0295G-HRP and DAB (C-0010) staining.

    风险提示:丁香通仅作为第三方平台,为商家信息发布提供平台空间。用户咨询产品时请注意保护个人信息及财产安全,合理判断,谨慎选购商品,商家和用户对交易行为负责。对于医疗器械类产品,请先查证核实企业经营资质和医疗器械产品注册证情况。

    图标文献和实验
    该产品被引用文献

    [IF={{ 8.56 }}] {Qian, Yi, et al. "Silver Nanoparticle-Induced Hemoglobin Decrease Involves Alteration of Histone 3 Methylation Status." Biomaterials (2015).} {WB} {="Mouse"}

    [IF={{ 7.561 }}] {Zheng Hao. et al. Decreased Expression of Programmed Death Ligand-L1 by Seven in Absentia Homolog 2 in Cholangiocarcinoma Enhances T-Cell–Mediated Antitumor Activity. Front Immunol. 2022 Jan;0:138} {WB} {Human}

    [IF={{ 7.243 }}] {Fanchun Zeng. et al. Antagonizing exosomal miR-18a-5p derived from prostate cancer cells ameliorates metastasis-induced osteoblastic lesions by targeting Hist1h2bc and activating Wnt/β-catenin pathway. GENES DIS. 2022 Jul;:} {WB} {Mouse}

    [IF={{ 6.684 }}] {Zhao-Ming Xiao. et al. SMARCC1 Suppresses Tumor Progression by Inhibiting the PI3K/AKT Signaling Pathway in Prostate Cancer. Front Cell Dev Biol. 2021; 9: 678967} {WB} {Human}

    [IF={{ 6.022 }}] {Huina Liu. et al. LncRNA, PLXDC2‐OT promoted the osteogenesis potentials of MSCs by inhibiting the deacetylation function of RBM6/SIRT7 complex and OSX specific isoform. 2021 Mar 08} {WB} {Human}

    相关实验
    图标技术资料

    暂无技术资料 索取技术资料

    同类产品报价

    产品名称
    产品价格
    公司名称
    报价日期
    ¥500
    北京百奥创新科技有限公司
    2025年03月17日询价
    ¥1180
    温州科淼生物科技有限公司
    2025年07月11日询价
    ¥4214
    上海经科化学科技有限公司
    2025年07月11日询价
    ¥600
    杭州戴格生物技术有限公司
    2025年12月28日询价
    ¥900
    上海贝博生物科技有限公司
    2025年07月14日询价
    文献支持
    Histone H3 Rabbit pAb, Nuclear Loading Control(bs-0349R)-100ul/500ul/200ul/1000ul
    ¥580 - 4680