相关产品推荐更多 >
万千商家帮你免费找货
0 人在求购买到急需产品
- 详细信息
- 文献和实验
- 技术资料
- 形态:
液体
- 保存条件:
-20℃
- 克隆性:
多克隆
- 抗体英文名:
Cytochrome C Mouse Monoclonal Antibody
- 规格:
100μl/支
The cytochrome complex, or cyt c is a small hemeprotein found loosely associated with the inner membrane of the mitochondrion. It belongs to the cytochrome c family of proteins
Product Name:Cytochrome C Mouse Monoclonal Antibody
Isotype: IgG1
Storage Buffer :PBS, pH 7.4, containing 0.02% sodium azide as Preservative and 50% Glycerol
Storage instructions:-20°C. Do not aliquot the antibody
Recommended dilutions: WB: 1:1,000-5,000 IHC: 1:500-1,000
Optimal dilutions should be determined by the end user.
Specificity:Antibody can detects endogenous Cytochrome C protein.
Alternative Names: CYC antibody, CYCS antibody, HCS antibody, THC4 antibody, Cytochrome C somatic antibody
Form: Liquid
Reactivity:H, R, M
Molecular Weight:14KD

Western blot analysis of 1) Hela, 2) 293T, 3)3T3, 4)Mouse Liver Tissue, 5) Rat Liver Tissue, 6) Rat Kidney Tissue, with Cytochrome C Mouse mAb BE3364 diluted at 1:2,000.

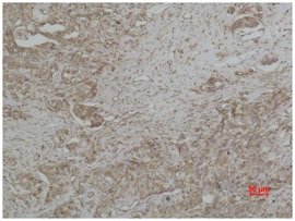
Immunohistochemical analysis of paraffin-embedded human Breast caricnoma using Cytochrome C (BE3364)Mouse mAb diluted at 1:500.
风险提示:丁香通仅作为第三方平台,为商家信息发布提供平台空间。用户咨询产品时请注意保护个人信息及财产安全,合理判断,谨慎选购商品,商家和用户对交易行为负责。对于医疗器械类产品,请先查证核实企业经营资质和医疗器械产品注册证情况。
文献和实验Monoclonal Antibody Production
Order 6 six week old Balb/C mice and let the ARC know they are coming.Have your antigen ready for when they arrive.Once they get there earmark the mice and perform a pre-bleed on them to be used as an ELISA control for monitoring the titer
Monoclonal Antibody Production Protocol
the rinse twice. Add 100 ul of blocking solution to every well, leave 1 hr at room Temp or O.N at 4°C. PRIMARY ANTIBODY Add the antibody to be tested: Sup of cells = 25 ul, mix well by pipetting up and down (10 times).serum, ascites = 1:100 and a series
monoclonal antibody production fusion
^6 cells/ml (IMDM + 10% FCS/FBS). Just before the fusion wash 3 times in IMDM (serum free!), 1200 rpm, 5min, 37ѓC. Count cells. sacrifice the mouse and dissect the spleen. tease the spleen in ice-cold IMDM (serum free!); pass
技术资料暂无技术资料 索取技术资料






