相关产品推荐更多 >
万千商家帮你免费找货
0 人在求购买到急需产品
- 详细信息
- 文献和实验
- 技术资料
- 形态:
液体
- 保存条件:
-20℃
- 克隆性:
多克隆
- 抗体英文名:
CDX2 Mouse Monoclonal Antibody
- 规格:
100μl/支
CDX2 is a caudal type homeobox gene that encodes an intestine-specific transcription factor that is expressed early in intestinal development and may be involved in the regulation of proliferation and differentiation of intestinal epithelial cells. It is expressed in the nuclei of epithelial cells throughout the intestine, from duodenum to rectum. The CDX2 protein is expressed in primary and metastatic colorectal carcinomas and has also been demonstrated in the intestinal metaplasia of the stomach and intestinal-type gastric cancer, while it is not expressed in the normal gastric mucosa. Studies have shown that CDX2 is superior marker compared to CK20.
Product Name:CDX2 Mouse Monoclonal Antibody
Clone Number: 4H7
Isotype: IgG1
Storage Buffer :PBS, pH 7.4, containing 0.02% sodium azide as Preservative and 50% Glycerol
Storage instructions:-20°C. Do not aliquot the antibody
Recommended dilutions: WB: 1:1,000 IHC: 1:200
Optimal dilutions should be determined by the end user.
Specificity: The CDX2 Mouse Monoclonal antibody detects endogenous CDX2 proteins.
Molecular Weight:42KD
Form: Liquid
Reactivity:H, R, M

Western blot analysis of 1) 293T, 2)Mouse Heart tissue with CDX2 mAb diluted at 1:2,000.

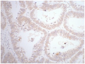
IHC staining of human rectal cancer tissue with CDX2 mouse mAb(4H7) diluted at 1:200
风险提示:丁香通仅作为第三方平台,为商家信息发布提供平台空间。用户咨询产品时请注意保护个人信息及财产安全,合理判断,谨慎选购商品,商家和用户对交易行为负责。对于医疗器械类产品,请先查证核实企业经营资质和医疗器械产品注册证情况。
文献和实验Monoclonal Antibody Production
and screening of the hybridomas: 1. Bleeding Mice (1) Place the mouse in a mouse restrainer. (2) Sterilize the tail with 70% ethanol. (3) With a razor blade,nip off the last 2 mm of the tip of the tail. (4) Using a milking motion,pull blood down and let
指仅对一种抗原决定基的纯粹的抗体。这类抗体不可能通过将抗原 胞的 Hybridoma,在试管内制成了纯粹的单克隆抗体。用某种抗原使动物产生免疫感应,对应于抗原之不同部分可制成各种不同的抗体复合体。然而,因为一个产生抗体的细胞,只能产生一种抗体,所以骨髓肿瘤细胞与产生抗体细胞间的细胞杂种,可形成边产生抗体边增殖的 hybridoma,将每个杂种细胞进行克隆(无性繁殖系)培养,则一个克隆的细胞群只由单种类产生同一抗体的细胞所组成,这样得到的就是单克隆抗体。此抗体在测定
Monoclonal Antibody Production Protocol
complete with MCM instead of PCM (= IMDM - m ), and keep it in the incubator for fused cells. Isolation of spleen cells Sacrifice mouse by cervical dislocation. Immerse mouse in 70% Ethanol. Remove spleen ( on the left side ) and transfer into a small
技术资料暂无技术资料 索取技术资料






