相关产品推荐更多 >
万千商家帮你免费找货
0 人在求购买到急需产品
- 详细信息
- 文献和实验
- 技术资料
- 形态:
液体
- 保存条件:
-20℃
- 克隆性:
多克隆
- 抗体英文名:
GABA A Receptor α2 Rabbit Polyclonal Antibody
- 规格:
10μl/支
Product Name: GABA A Receptor α2 Rabbit Polyclonal Antibody
Isotype: IgG
Storage Buffer : 1mg/ml in PBS, pH 7.4, containing 0.02% sodium azide and 50% glycerol
Storage instructions:-20°C. Do not aliquot the antibody
Recommended dilutions: WB 1:1,000-2,000 IHC 1:100-200
Optimal dilutions should be determined by the end user.
Specificity: Antibody can detects endogenous GABA A Receptor α2 protein.
Form: Liquid
Reactivity: H, R, M
Western blot analysis of 1) Mouse Brain Tissue, 2)Rat Brain Tissue with GABA A Receptor α2 Rabbit pAb BE3511 diluted at 1:2,000.
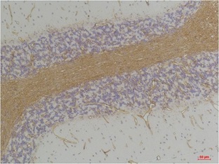
Immunohistochemical analysis of paraffin-embedded Rat BrainTissue using GABA A Receptor α2 (BE3511)Rabbit pAb diluted at 1:200
风险提示:丁香通仅作为第三方平台,为商家信息发布提供平台空间。用户咨询产品时请注意保护个人信息及财产安全,合理判断,谨慎选购商品,商家和用户对交易行为负责。对于医疗器械类产品,请先查证核实企业经营资质和医疗器械产品注册证情况。
文献和实验Preparation of Polyclonal Antibodies to Retinoid Receptors
of a retinoid “X” receptor α (RXRα) antibody on Western blots contributed to the identification of the RXR ligand by detection of the receptor in fractions of whole-cell lysates that were able to bind the 9-cis retinoic acid ligand (2 ) Antibodies
secondary antibody review -- data from 99 publications
cytometry used as a control to detect cell responses targeted antigen 7 Alexa Fluor 488 7 Cy3 8 goat IgG Alexa Fluor 488 1:2000 detect antibody binding in human embryonic kidney 293T cells Invitrogen 9 donkey
祝贺〖雅裕睿安〗成为Signalway Antibody(SAB)独家
货号T501,产品描述:HA-Tag Rabbit Polyclonal Antibody;规格 50 ul / 100 ul; 货号T503,产品描述:Anti-DYKDDDDK Polyclonal Antibody;规格 50 ul / 100 ul; 货号T504,产品描述:Myc-Tag Mouse Monoclonal Antibody;规格 50 ul / 100 ul; 货号
技术资料暂无技术资料 索取技术资料






