相关产品推荐更多 >
万千商家帮你免费找货
0 人在求购买到急需产品
- 详细信息
- 文献和实验
- 技术资料
- 形态:
液体
- 保存条件:
-20℃
- 克隆性:
多克隆
- 抗体英文名:
Angiotensin(1-7) Mas Receptor Rabbit Polyclonal Antibody
- 规格:
10μl/支
The angiotensin-(1-7) Mas receptor is the recently identified receptor of the biologically active heptapeptide angiotensin-(1-7).Angiotensin (Ang)-(1-7) is a metabolite of the well known peptide hormone Angiotensin (Ang) II, a key component of the renin-angiotensin system (RAS) that has a central role in cardiovascular homeostasis
Product Name:Angiotensin(1-7) Mas Receptor Rabbit Polyclonal Antibody
Isotype: IgG
Storage Buffer :Antigen Affinity Purified IgG in PBS, pH 7.4, containing 0.02% sodium azide as Preservative and 50% Glycerol
Storage instructions:-20°C. Do not aliquot the antibody
Recommended dilutions: WB: 1:2,000-5,000 IHC: 1:200-500
Optimal dilutions should be determined by the end user.
Specificity: Antibody can detects endogenous Angiotensin(1-7) Mas Receptor protein.
Alternative Names:Mas antiobdy, Mas1 antibody
Form: Liquid
Reactivity:H, R, M
Molecular Weight:36-50KD

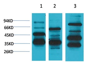
Western blot analysis of 1) Human Brain Tissue, 2) Mouse Brain Tissue, 3)Rat Brain Tissue with Angiotensin (1-7) Rabbit pAb BE3345 diluted at 1:2,000.

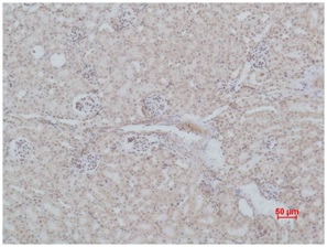
Immunohistochemical analysis of paraffin-embedded Mouse Kidney Tissue using Angiotensin(1-7) Mas Receptor (BE3345)Rabbit pAb diluted at 1:500.
风险提示:丁香通仅作为第三方平台,为商家信息发布提供平台空间。用户咨询产品时请注意保护个人信息及财产安全,合理判断,谨慎选购商品,商家和用户对交易行为负责。对于医疗器械类产品,请先查证核实企业经营资质和医疗器械产品注册证情况。
文献和实验Preparation of Polyclonal Antibodies to Retinoid Receptors
of a retinoid “X” receptor α (RXRα) antibody on Western blots contributed to the identification of the RXR ligand by detection of the receptor in fractions of whole-cell lysates that were able to bind the 9-cis retinoic acid ligand (2 ) Antibodies
祝贺〖雅裕睿安〗成为Signalway Antibody(SAB)独家
货号T501,产品描述:HA-Tag Rabbit Polyclonal Antibody;规格 50 ul / 100 ul; 货号T503,产品描述:Anti-DYKDDDDK Polyclonal Antibody;规格 50 ul / 100 ul; 货号T504,产品描述:Myc-Tag Mouse Monoclonal Antibody;规格 50 ul / 100 ul; 货号
v468.Chapter 3 分泌型跨膜相关蛋白提纯及Wnt抑制活性
). 9. Secondary antibody to use with goat polyclonal reagent: donkeyanti-goat IgG-horseradish peroxidase (HRP) (sc-2056;Santa Cruz Biotechnology). 10. Secondary antibody to use with rabbit polyclonal reagent: donkey anti-rabbit IgG-HRP (#NA934V, GE
技术资料暂无技术资料 索取技术资料






