相关产品推荐更多 >
万千商家帮你免费找货
0 人在求购买到急需产品
- 详细信息
- 文献和实验
- 技术资料
- 形态:
液体
- 保存条件:
-20℃
- 克隆性:
多克隆
- 抗体英文名:
GSK 3β Rabbit Polyclonal Antibody
- 规格:
10μl/支
Glycogen synthase kinase 3 beta, also known as GSK3B, is an enzyme that in humans is encoded by the GSK3B gene.
Product Name:GSK 3β Rabbit Polyclonal Antibody
Isotype: IgG
Storage Buffer :Affinity Purified IgG, PBS, pH 7.4, containing 0.02% sodium azide as Preservative and 50% Glycerol
Storage instructions:-20°C. Do not aliquot the antibody
Recommended dilutions: WB: 1:1,000-2,000 IHC: 1:200-500
Optimal dilutions should be determined by the end user.
Specificity: Antibody can detects endogenous GSK 3β protein.
Alternative Names:Glycogen synthase kinase 3 beta antibody, GSK3B antibody, Serine/threonine protein kinase GSK3B antibody
Form: Liquid
Reactivity:R, M
Molecular Weight:46KD

Western blot analysis of 1) Mouse Brain Tissue, 2)Mouse Heart Tissue, 3)Rat Brain Tissue, 4)Rat Heart Tissue with GSK 3β Rabbit pAb BE3334 diluted at 1:2,000.

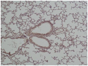
Immunohistochemical analysis of paraffin-embedded Mouse Lung Tissue using GSK 3β(BE3334)Rabbit pAb diluted at 1:500.
风险提示:丁香通仅作为第三方平台,为商家信息发布提供平台空间。用户咨询产品时请注意保护个人信息及财产安全,合理判断,谨慎选购商品,商家和用户对交易行为负责。对于医疗器械类产品,请先查证核实企业经营资质和医疗器械产品注册证情况。
文献和实验Polyclonal Antibody Production
Zealand White Rabbits and have them delivered to the ARC. Don’t put all your eggs in one basket only using one rabbit. Let them get accustomed to there home there for two weeks before the first pre-bleed. Pre-bleed
Polyclonal Antibody Production
Polyclonal Antibody Production Very useful for rapid and simple generation of antibodies for western blots, ELISA assays, and immunoprecipitation. Rabbit Immunization Initial Preparation Your antigen
Generation and Selection of Rabbit Antibody Libraries by Phage Display
The rabbit antibody repertoire is an exceptional source for both polyclonal antibodies (pAbs) and monoclonal antibodies (mAbs) that combine high specificity with high avidity and affinity, respectively. In contrast to rabbit pAbs
技术资料暂无技术资料 索取技术资料






