相关产品推荐更多 >
万千商家帮你免费找货
0 人在求购买到急需产品
- 详细信息
- 文献和实验
- 技术资料
- 免疫原:
A synthetic peptide of human SPR
- 亚型:
IgG
- 形态:
Liquid
- 保存条件:
Store as concentrated solution. Centrifuge briefly prior to opening vial. For short-term storage (1-2 weeks), store at 4ºC. For long-term storage, aliquot and store at -20ºC or below. Avoid multiple freeze-thaw cycles.
- 克隆性:
Polyclonal
- 标记物:
Unconjugated
- 适应物种:
Human, Mouse, Rat, Monkey
- 保质期:
12 months from the shipping date of the product.
- 抗原来源:
Human
- 目录编号:
GTX33517
- 级别:
Primary Antibodies
- 库存:
Available
- 供应商:
GeneTex
- 宿主:
Rabbit
- 应用范围:
WB, IHC-P
- 浓度:
Batch dependent (Please refer to the vial label for the specific concentration.)
- 靶点:
SPR
- 抗体英文名:
SPR antibody
- 抗体名:
SPR 抗体
- 规格:
100 μl
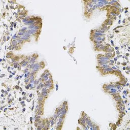
IHC-P analysis of human lung tissue using GTX33517 SPR antibody.
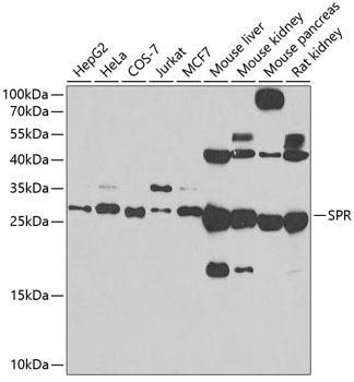
WB analysis of various sample lysates using GTX33517 SPR antibody.
Dilution : 1:500
Loading : 25μg per lane
IHC-P analysis of rat brain tissue using GTX33517 SPR antibody.
IHC-P analysis of human esophagus tissue using GTX33517 SPR antibody.
风险提示:丁香通仅作为第三方平台,为商家信息发布提供平台空间。用户咨询产品时请注意保护个人信息及财产安全,合理判断,谨慎选购商品,商家和用户对交易行为负责。对于医疗器械类产品,请先查证核实企业经营资质和医疗器械产品注册证情况。
文献和实验Integration of SPR Biosensors with Mass Spectrometry (SPR-MS)
The combination of surface plasmon resonance (SPR) and mass spectrometry (MS) creates a comprehensive protein investigation approach wherein SPR is employed for protein quantification and MS is utilized to structurally characterize
Surface plasmon resonance (SPR) imaging technique is label free, real-time, and high-throughput analysis method for interaction studies with array format. The application of SPR imaging for the small molecule arrays, which were fabricated
CarbohydrateLectin Interactions Assayed by SPR
Surface plasmon resonance is a valuable tool to determine the affinity between glycoconjugates and sugar-binding proteins such as plant and animal lectins. The main interest of using such an approach is that neither the lectins –
技术资料暂无技术资料 索取技术资料











