相关产品推荐更多 >
万千商家帮你免费找货
0 人在求购买到急需产品
- 详细信息
- 文献和实验
- 技术资料
- 免疫原:
Peptide sequence around phosphorylation site of Serine 376(Y-L-S(p)-S-P) derived from Human IKK-γ.
- 形态:
liquid
- 保存条件:
Store at -20˚C
- 克隆性:
Polyclonal
- 适应物种:
Human
- 保质期:
12 months
- 抗原来源:
Rabbit
- 供应商:
南京赛戈巍生物科技有限公司
- 宿主:
Rabbit
- 应用范围:
IHC
- 靶点:
Uniprot:Q9Y6K9
- 抗体英文名:
IKK-γ (Phospho-Ser376) Antibody
- 规格:
50ul/100ul
配方:Rabbit IgG in phosphate buffered saline (without Mg2+ and Ca2+), pH 7.4, 150mM NaCl, 0.02% sodium azide and 50% glycerol.
应用详情:
Immunohistochemistry: 1:50~1:100
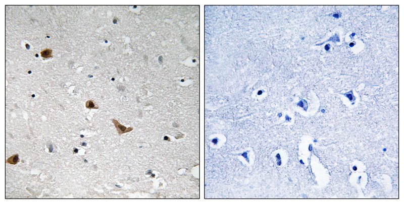
图片:

Immunohistochemical analysis of paraffin-embedded human brain tissue using IKK-γ (Phospho-Ser376) antibody #11732 (left)or the same antibody preincubated with blocking peptide (right).
风险提示:丁香通仅作为第三方平台,为商家信息发布提供平台空间。用户咨询产品时请注意保护个人信息及财产安全,合理判断,谨慎选购商品,商家和用户对交易行为负责。对于医疗器械类产品,请先查证核实企业经营资质和医疗器械产品注册证情况。
文献和实验机体在抗原物质刺激下,由B细胞分化成的浆细胞所产生的、可与相应抗原发生特异性结合反应的免疫球蛋白。因为最初有人用电泳证明血清中抗体活性在γ球蛋白部分,故曾把抗体统称为两种(γ)球蛋白。后来证明,抗体并不都在γ区;而且位于γ区的球蛋白,也不一定都具有抗体活性。1964年,世界卫生组织举行专门会议,将具有抗体活性以及与抗体相关的球蛋白统称为免疫球蛋白(Ig)。如骨髓瘤蛋白,巨球蛋白血症、冷球蛋白血症等患者血清中存在的异常免疫球蛋白以及“正常人”天然存在的免疫
Antibody Microprobes for Detecting Neuropeptide Release
through a series of chemical coatings, starting with a γ-aminopropyltriethoxysilane solution and ending with the antibody specific to the peptide transmitter of interest. The key to the reliability and repeatability of the technique
Radiometal Labeling of Antibodies and Antibody Fragments for Imaging and Therapy
Monoclonal antibodies (MAbs) are highly selective agents for delivering radiation to tumors both for in vivo imaging (radioimmunoscintigraphy, RIS) and for therapy (radioimmunotherapy, RIT). Antibody-based radiopharmaceuticals can be labeled
技术资料暂无技术资料 索取技术资料






![GLRB Mouse mAb[63672]](https://img1.dxycdn.com/p/s14/2025/0922/632/2321321568067599691.jpg!wh200)
![ZNF337 Antibody[34133]](https://img1.dxycdn.com/p/s14/2025/0922/359/6146153295428599691.jpg!wh200)
![CPSF2 Conjugated Antibody[C46984]](https://img1.dxycdn.com/p/s14/2025/0923/305/2150219664296040791.jpg!wh200)
![VPS4B Antibody[40402]](https://img1.dxycdn.com/p/s14/2025/0922/568/0046652811090600791.jpg!wh200)

