相关产品推荐更多 >
万千商家帮你免费找货
0 人在求购买到急需产品
- 详细信息
- 文献和实验
- 技术资料
- 免疫原:
Synthesized peptide derived from N-terminal of human CKI-γ1.
- 形态:
liquid
- 保存条件:
Store at -20˚C
- 克隆性:
Polyclonal
- 适应物种:
Human;Mouse;Rat
- 保质期:
12 months
- 抗原来源:
Rabbit
- 供应商:
南京赛戈巍生物科技有限公司
- 宿主:
Rabbit
- 应用范围:
WB
- 靶点:
Uniprot:Q9HCP0
- 抗体英文名:
CKI-γ1 Antibody
- 规格:
50ul/100ul
配方:Rabbit IgG in phosphate buffered saline (without Mg2+ and Ca2+), pH 7.4, 150mM NaCl, 0.02% sodium azide and 50% glycerol.
应用详情:Western blotting: 1:500~1:3000
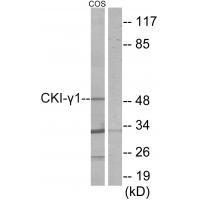
图片:

Western blot analysis of extracts from COS-7 cells, using CKI-γ1 antibody #34073.
风险提示:丁香通仅作为第三方平台,为商家信息发布提供平台空间。用户咨询产品时请注意保护个人信息及财产安全,合理判断,谨慎选购商品,商家和用户对交易行为负责。对于医疗器械类产品,请先查证核实企业经营资质和医疗器械产品注册证情况。
文献和实验γ离心纤维 γ efferent,γ efferent fiber
从脊髓去向四肢的神经纤维分为粗细两种,莱克赛尔(L. Leksell, 1945)将其中的细神经纤维定名为γ纤维,占其总纤维量的 30%。哺乳类的这种纤维束到达肌梭中的梭内肌纤维,其中直径稍粗的γ纤维为γ 1 ,它终止于Ⅰ类梭内肌纤维(细胞核集中于纤维中部)的两瑞形成终板;其中稍细的γ纤维叫γ 2 ,它终止于Ⅱ类梭内肌纤维(细胞核分布成线状)的中心部到两端,扩展成网状。γ 1 和γ 1 又分别称为动态γ运动神经元和静态γ运动神经元,二者都由脊髓前角发出。γ纤维经常呈现自发性放电
人白细胞介素32γ(IL-32γ)酶联免疫分析(ELISA)
人 白细胞介素32γ(IL-32γ) 酶联免疫 分析( ELISA ) 试剂 盒使用说明书 本试剂仅供研究使用 目的:本试剂盒用于测定人血清,血浆及相关液体样本中 白细胞介素32γ(IL-32γ)的 含量。 实验原理 : 本试剂盒应用 双抗体 夹心法测定 标本 中 人白细胞介素32 γ (IL-32 γ ) 水平。用纯化的 人白细胞介素32 γ (IL-32 γ ) 抗体 包被微孔板,制成固相 抗 体,往包被 单抗
γ微管蛋白是存于中心体的另一种微管蛋白, γ微管蛋白对微管的形成具有重要作用。通过遗传学的研究,发现γ-微管蛋白通过与β-微管蛋白的相互作用帮助微管的成核反应(nucleation)。即在微管的组装中γ微管蛋白先形成一个圆或形成钩环结构, γ微管蛋白的这种结构可指导微管蛋白二聚体结合上去并进行微管的组装。 细胞中的γ微管蛋白大约有80%是一种25S复合体的一部分, 这种复合体被称为γ微管蛋白环状复合体(γ-tubulin ring complex, γ-TuRC), 因为在电子
技术资料暂无技术资料 索取技术资料





![IRS2 Antibody[43094]](https://img1.dxycdn.com/p/s14/2025/0922/568/0046652811090600791.jpg!wh200)
![JNK3 Conjugated Antibody[C49181]](https://img1.dxycdn.com/p/s14/2025/0923/305/2150219664296040791.jpg!wh200)
![PRMT7 Antibody[35889]](https://img1.dxycdn.com/p/s14/2025/0922/359/6146153295428599691.jpg!wh200)
![CD121B Mouse mAb[63231]](https://img1.dxycdn.com/p/s14/2025/0922/632/2321321568067599691.jpg!wh200)

