相关产品推荐更多 >
万千商家帮你免费找货
0 人在求购买到急需产品
- 详细信息
- 技术资料
- 免疫原:
Synthetic protein corresponding to residues near the C terminal of human CCNK
- 形态:
liquid
- 保存条件:
Store at -20˚C
- 克隆性:
Polyclonal
- 适应物种:
Human
- 保质期:
12 months
- 抗原来源:
Rabbit
- 供应商:
南京赛戈巍生物科技有限公司
- 宿主:
Rabbit
- 应用范围:
WB IHC
- 靶点:
Uniprot:O75909
- 抗体英文名:
CCNK Antibody
- 规格:
50ul/100ul
计算分子量:64 kDa
配方:Rabbit IgG in pH7.4 PBS, 0.05% NaN3, 40% Glycerol.
应用详情:Western blotting: 1:200-1:1000
Immunohistochemistry: 1: 30-150
图片:
![CCNK Antibody[46427]](https://img1.dxycdn.com/p/s14/2025/0923/741/0802205944416040791.jpg)
Gel: 8%SDS-PAGE
lysate: 40 |ìg, Lane 1-2: Hela and K562 cell lysates,
Primary antibody: 46427£¨CCNK Antibody) at dilution 1/250
Secondary antibody: Goat anti rabbit IgG at 1/8000 dilution,
Exposure time: 10 seconds
,
![CCNK Antibody[46427]](https://img1.dxycdn.com/p/s14/2025/0923/866/0257459666416040791.jpg)
The image on the left is immunohistochemistry of paraffin-embedded Human gastric cancer tissue using 46427(CCNK Antibody) at dilution 1/40, on the right is treated with fusion protein. (Original magnification: x200)
,
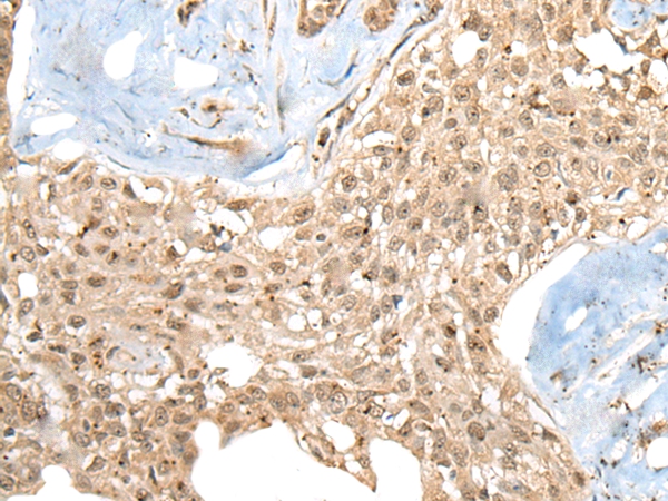
![CCNK Antibody[46427]](https://img1.dxycdn.com/p/s14/2025/0923/138/8024351266416040791.jpg)
The image on the left is immunohistochemistry of paraffin-embedded Human thyroid cancer tissue using 46427(CCNK Antibody) at dilution 1/40, on the right is treated with fusion protein. (Original magnification: x200)
风险提示:丁香通仅作为第三方平台,为商家信息发布提供平台空间。用户咨询产品时请注意保护个人信息及财产安全,合理判断,谨慎选购商品,商家和用户对交易行为负责。对于医疗器械类产品,请先查证核实企业经营资质和医疗器械产品注册证情况。
技术资料暂无技术资料 索取技术资料


![CCNK Antibody[46427]](https://img1.dxycdn.com/p/s14/2025/0923/496/0462304380155040791.jpg)


![Timp1 Monoclonal Antibody[42048]](https://img1.dxycdn.com/p/s14/2025/0922/568/0046652811090600791.jpg!wh200)
![IL11RA Antibody[35221]](https://img1.dxycdn.com/p/s14/2025/0922/359/6146153295428599691.jpg!wh200)
![NKX2.2 Mouse mAb[64003]](https://img1.dxycdn.com/p/s14/2025/0922/632/2321321568067599691.jpg!wh200)
