相关产品推荐更多 >
万千商家帮你免费找货
0 人在求购买到急需产品
- 详细信息
- 技术资料
- 免疫原:
Fusion protein of human STXBP1
- 形态:
liquid
- 保存条件:
Store at -20˚C
- 克隆性:
Polyclonal
- 适应物种:
Human;Mouse;Rat
- 保质期:
12 months
- 抗原来源:
Rabbit
- 供应商:
南京赛戈巍生物科技有限公司
- 宿主:
Rabbit
- 应用范围:
WB IHC
- 靶点:
Uniprot:P61764
- 抗体英文名:
STXBP1 Antibody
- 规格:
50ul/100ul
别名:P67; NSEC1; UNC18; RBSEC1; MUNC18-1
计算分子量:68kd
配方:Rabbit IgG in pH7.4 PBS, 0.05% NaN3, 40% Glycerol.
应用详情:Western blotting: 1:200-1:1000
Immunohistochemistry: 1:25-1:100
图片:
计算分子量:68kd
配方:Rabbit IgG in pH7.4 PBS, 0.05% NaN3, 40% Glycerol.
应用详情:Western blotting: 1:200-1:1000
Immunohistochemistry: 1:25-1:100
图片:
![STXBP1 Antibody[43334]](https://img1.dxycdn.com/p/s14/2025/0922/169/6988845878399600791.jpg)
Gel: 8%SDS-PAGE
Lysate: 40 μg
Lane 1-2: A375 cells, hela cells
Primary antibody: 1/300 dilution
Secondary antibody: Goat anti rabbit IgG at 1/8000 dilution
Exposure time: 20 seconds
,
![STXBP1 Antibody[43334]](https://img1.dxycdn.com/p/s14/2025/0922/267/4095951210499600791.jpg)
Immunohistochemical analysis of paraffin-embedded Human brain tissue using #43334 at dilution 1/20.
,
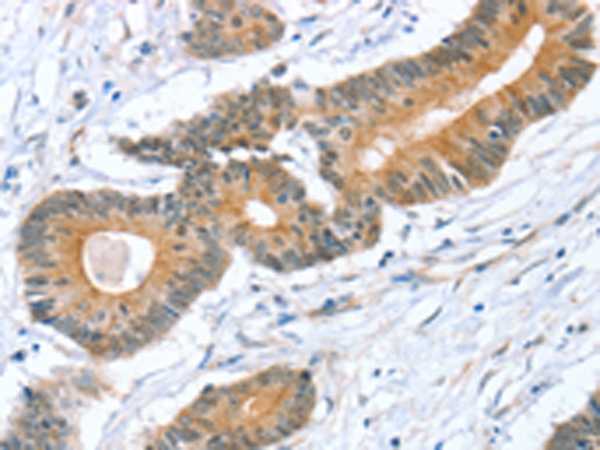
![STXBP1 Antibody[43334]](https://img1.dxycdn.com/p/s14/2025/0922/720/0658545700499600791.jpg)
Immunohistochemical analysis of paraffin-embedded Human colon cancer tissue using #43334 at dilution 1/20.
风险提示:丁香通仅作为第三方平台,为商家信息发布提供平台空间。用户咨询产品时请注意保护个人信息及财产安全,合理判断,谨慎选购商品,商家和用户对交易行为负责。对于医疗器械类产品,请先查证核实企业经营资质和医疗器械产品注册证情况。
技术资料暂无技术资料 索取技术资料
STXBP1 Antibody[43334]
询价


![STXBP1 Antibody[43334]](https://img1.dxycdn.com/p/s14/2025/0922/568/0046652811090600791.jpg)


![IL18BP antibody[38923]](https://img1.dxycdn.com/p/s14/2025/0922/359/6146153295428599691.jpg!wh200)
![IDUA Antibody[47644]](https://img1.dxycdn.com/p/s14/2025/0923/496/0462304380155040791.jpg!wh200)
![DLC1 (Phospho-Ser567) Antibody[SAB326P]](https://img1.dxycdn.com/p/s14/2025/0922/498/0460884283108299691.jpg!wh200)
![MGST2 Polyclonal Antibody[41143]](https://img1.dxycdn.com/p/s14/2025/0922/568/0046652811090600791.jpg!wh200)
