相关产品推荐更多 >
万千商家帮你免费找货
0 人在求购买到急需产品
- 详细信息
- 文献和实验
- 技术资料
- 免疫原:
Fusion protein corresponding to a region derived from 2-91 amino acids of human C-reactive protein, pentraxin-related
- 形态:
liquid
- 保存条件:
Store at -20˚C
- 克隆性:
Polyclonal
- 适应物种:
Human
- 保质期:
12 months
- 抗原来源:
Rabbit
- 供应商:
南京赛戈巍生物科技有限公司
- 宿主:
Rabbit
- 应用范围:
ELISA WB IHC
- 靶点:
Uniprot:BC020766
- 抗体英文名:
CRP Antibody
- 规格:
50ul/100ul
配方:Supplied at 2.8mg/mL in phosphate buffered saline (without Mg2+ and Ca2+), pH 7.3, 0.05% sodium azide and 50% glycerol.
应用详情:
Predicted MW: 25kd
ELISA: 1:2000-1:10000
Western blotting: 1:1000-1:5000
Immunohistochemistry: 1:100-1:300
图片:

Gel: 12%SDS-PAGE
Lysate: 40 μg Human liver cancer tissue lysate
Primary antibody: 1/1400 dilution
Secondary antibody: Goat anti Rabbit IgG - H&L (HRP) at 1/10000 dilution
Exposure time: 1 minute
,

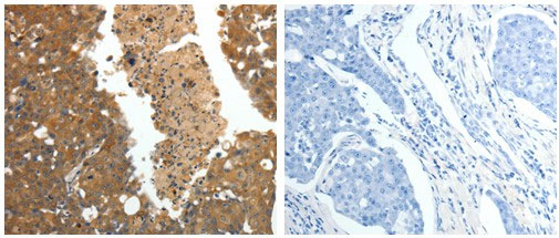
The image on the left is immunohistochemistry of paraffin-embedded human breast cancer tissue using 31062 (CRP Antibody) at dilution 1/80, on the right is treated with the fusion protein.
风险提示:丁香通仅作为第三方平台,为商家信息发布提供平台空间。用户咨询产品时请注意保护个人信息及财产安全,合理判断,谨慎选购商品,商家和用户对交易行为负责。对于医疗器械类产品,请先查证核实企业经营资质和医疗器械产品注册证情况。
文献和实验天津市公安医院 王金良教授 超敏CRP是一新的检验项目,它能非常敏感地检验出在血液内含量很低的C反应性蛋白。C反应性蛋白这个检验项目过去就有,早在上世纪50年代,科学家就发现细菌性感染患者的血清中存在一种能与肺炎链球菌的荚膜C多糖发生沉淀反应的蛋白,取名为C反应性蛋白(CRP)。这里的C代表C多糖。后来发现它是在炎症因子刺激下,由肝脏迅速产生的一种炎症反应性蛋白,凡是人体有炎症或组织损伤时均会升高,而且比白细胞升高或血沉加快更为敏感。 其后几十年间, CRP的测定从定性
犬C- 反应蛋白 ( CRP ) 酶联免疫 分析 试剂 盒使用说明书 本试剂仅供研究使用 目的:本试剂盒用于测定犬血清,血浆及相关液体样本中 C-反应蛋白(CRP) 的含量。 实验原理 : 本试剂盒应用 双抗体 夹心法测定 标本 中 犬C- 反应蛋白 ( CRP ) 水平。用纯化的 犬C- 反应蛋白 ( CRP ) 抗体 包被微孔板,制成固相 抗 体,往包被 单抗 的微孔中加入 C-反应蛋白 ( CRP ) ,再与HRP
大鼠 C- 反应蛋白 (CRP) 酶联免疫分析 试剂盒使用说明书 本试剂仅供研究使用 目的:本试剂盒用于测定大鼠血清,血浆及相关液体样本中 C- 反应蛋白(CRP) 的含量。 实验原理: 本试剂盒应用双抗体夹心法测定标本中 大鼠 C- 反应蛋白 (CRP) 水平。用纯化的 大鼠 C- 反应蛋白 (CRP) 抗体 包被微孔板,制成固相抗体,往包被单抗的微孔中加入 C- 反应蛋白 (CRP) ,再与 HRP 标记
技术资料暂无技术资料 索取技术资料





![Cadherin 7 Antibody[47914]](https://img1.dxycdn.com/p/s14/2025/0923/278/4431488150116040791.jpg!wh200)
![Hist1h1t Rabbit Polyclonal Antibody[54575]](https://img1.dxycdn.com/p/s14/2025/0922/498/0460884283108299691.jpg!wh200)
