相关产品推荐更多 >
万千商家帮你免费找货
0 人在求购买到急需产品
- 详细信息
- 文献和实验
- 技术资料
- 免疫原:
Fusion protein corresponding to a region derived from 182-480 amino acids of Human Cell division cycle protein 20 homolog
- 形态:
liquid
- 保存条件:
Store at -20˚C
- 克隆性:
Polyclonal
- 适应物种:
Human
- 保质期:
12 months
- 抗原来源:
Rabbit
- 供应商:
南京赛戈巍生物科技有限公司
- 宿主:
Rabbit
- 应用范围:
ELISA WB IHC
- 靶点:
Uniprot:BC010044
- 抗体英文名:
CDC20 Antibody
- 规格:
50ul/100ul
配方:Supplied at 1mg/mL in phosphate buffered saline (without Mg2+ and Ca2+), pH 7.3, 0.05% sodium azide and 50% glycerol.
应用详情:Predicted MW: 55kd
ELISA: 1:1000-1:5000
Western blotting: 1:500-1:2000
Immunohistochemistry: 1:10-1:50
图片:

Gel: 10%SDS-PAGE
Lane1: 293T cell lysate
Lane2: Human cervical cancer tissue lysate
Lysates: 30ug per lane
Primary antibody: 1/600 dilution
Secondary antibody: Donkey anti Rabbit IgG - H&L (HRP) at 1/3000 dilution
Exposure time: 30 seconds
,

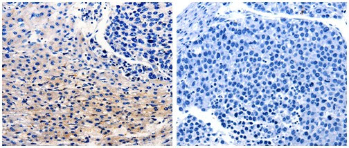
The image on the left is immunohistochemistry of paraffin-embedded Human liver cancer tissue using 31052(CDC20 Antibody) at dilution 1/10, on the right is treated with the fusion protein.
风险提示:丁香通仅作为第三方平台,为商家信息发布提供平台空间。用户咨询产品时请注意保护个人信息及财产安全,合理判断,谨慎选购商品,商家和用户对交易行为负责。对于医疗器械类产品,请先查证核实企业经营资质和医疗器械产品注册证情况。
文献和实验An In Vitro Assay for Cdc20-Dependent Mitotic Anaphase-Promoting Complex Activity from Budding Yeast
protein co-factor called Cdc20. In vitro Cdc20-dependent APC (APCCdc20 ) assays have been useful in the identification and validation of target substrates, and in the study of APC enzymology and regulation. Many aspects of the regulation of cell cycle
Generation of Antibody Molecules Through Antibody Engineering
been overcome to a large extent using genetic-engineering techniques to produce chimeric mouse/human and completely human antibodies. Such an approach is particularly suitable because of the domain structure of the antibody molecule ( 2 ), where functional
The importance of antibody molecules was first recognized in the 1890s, when it was shown that immunity to tetanus and diphtheria was caused by antibodies against the bacterial exotoxins (1 ). Around the same time, it was shown that antisera
技术资料暂无技术资料 索取技术资料





![SERPINC1 Polyclonal Antibody Biotin Conjugated[C91196Bio]](https://img1.dxycdn.com/p/s14/2025/0922/498/0460884283108299691.jpg!wh200)
![FAM213B Antibody[46564]](https://img1.dxycdn.com/p/s14/2025/0923/496/0462304380155040791.jpg!wh200)
![CA7 Antibody[45846]](https://img1.dxycdn.com/p/s14/2025/0922/568/0046652811090600791.jpg!wh200)

