相关产品推荐更多 >
万千商家帮你免费找货
0 人在求购买到急需产品
- 详细信息
- 文献和实验
- 技术资料
- 免疫原:
Raised against a 19 amino acid peptide near the carboxy terminus of human erbB-2.
- 形态:
liquid
- 保存条件:
Store at -20˚C
- 克隆性:
Polyclonal
- 适应物种:
Human;Mouse;Rat
- 保质期:
12 months
- 抗原来源:
Chicken
- 供应商:
南京赛戈巍生物科技有限公司
- 宿主:
Chicken
- 应用范围:
ELISA WB IHC
- 靶点:
Uniprot:NP_004439
- 抗体英文名:
erbB-2 Antibody
- 规格:
50ul/100ul
配方:Supplied in PBS containing 0.02% sodium azide.
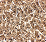
图片:

Western blot analysis of erbB-2 in rat liver tissue lysate with erbB-2 antibody at (A) 1 and (B) 2 ug/mL.
,

Immunohistochemistry of erbB-2 in human liver tissue with erbB-2 antibody at 2.5 ug/mL.
风险提示:丁香通仅作为第三方平台,为商家信息发布提供平台空间。用户咨询产品时请注意保护个人信息及财产安全,合理判断,谨慎选购商品,商家和用户对交易行为负责。对于医疗器械类产品,请先查证核实企业经营资质和医疗器械产品注册证情况。
文献和实验both at transcriptional or posttranscriptional levels (8 -10 ). Recombinant fusion proteins consisting of various bacterial toxins selectively targeted to the tumor by virtue of single-chain anti-erbB- 2 antibody (sFv) moieties has also been utilized in this context (7 ).
c-erbB 编码 EGF 受体,是一种分子量为 65KDa 的跨膜蛋白,由 1186 个氨基酸组成。膜外的部分( 621aa )是 EGF 结合功能区。前面有 24aa 构成的信号肽。跨膜区由 23 个疏水氨基酸组成。膜内部分由 542aa 组成。其中包括 4 个磷酸化位点和一个 TPK 功能区。 4 个磷酸化位点中有一个是紧靠膜内侧的 654 位 Thr ,其余 3 个位于 1068 , 1148 和 1173Tyr 自身磷酸化位点
c-erbB-2 Immunohistochemistry in Paraffin Tumors
Immunohistochemistry is the study of the intracellular distribution of antigens based on the formation of an immune complex. The concept is based on the application of a specific antibody to the antigen to be detected and visualization
技术资料暂无技术资料 索取技术资料






![FGD5 Polyclonal Antibody[28871]](https://img1.dxycdn.com/p/s14/2025/0923/305/2150219664296040791.jpg!wh200)
![Histone H2A Polyclonal Antibody[41871]](https://img1.dxycdn.com/p/s14/2025/0922/568/0046652811090600791.jpg!wh200)
