相关产品推荐更多 >
万千商家帮你免费找货
0 人在求购买到急需产品
- 详细信息
- 文献和实验
- 技术资料
- 免疫原:
Raised against a 12 amino acid peptide from near the carboxy terminus of human MANF.
- 形态:
liquid
- 保存条件:
Store at -20˚C
- 克隆性:
Polyclonal
- 适应物种:
Human;Mouse;Rat
- 保质期:
12 months
- 抗原来源:
Rabbit
- 供应商:
南京赛戈巍生物科技有限公司
- 宿主:
Rabbit
- 应用范围:
ELISA WB IHC
- 靶点:
Uniprot:P55145
- 抗体英文名:
MANF Antibody
- 规格:
50ul/100ul
配方:Supplied in PBS containing 0.02% sodium azide.
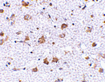
图片:

Western blot analysis of MANF in mouse brain tissue lysate with MANF antibody at (A) 1 and (B) 2 ug/mL.
,

Immunohistochemistry of MANF in human brain tissue with MANF antibody at 2.5 ug/mL.
风险提示:丁香通仅作为第三方平台,为商家信息发布提供平台空间。用户咨询产品时请注意保护个人信息及财产安全,合理判断,谨慎选购商品,商家和用户对交易行为负责。对于医疗器械类产品,请先查证核实企业经营资质和医疗器械产品注册证情况。
文献和实验Generation of Antibody Molecules Through Antibody Engineering
been overcome to a large extent using genetic-engineering techniques to produce chimeric mouse/human and completely human antibodies. Such an approach is particularly suitable because of the domain structure of the antibody molecule ( 2 ), where functional
吃货福音!华西医院何金汗等 JEM 报道进食诱导的肝因子能减轻饮食性肥胖
肥胖,又一「社会公敌」,是能量摄入和能量消耗不平衡的结果,也是糖尿病、心血管疾病等许多代谢性疾病发生和发展的危险因素。同时,肥胖也是一种慢性疾病,是目前全球公共卫生领域内非常棘手的挑战。导致肥胖的因素有很多,其中管不住嘴、迈不动腿可谓是最直接最重要的原因了 。近日,下面这项研究可能是很多「吃货」的福音了!2021 年 4 月 15 日,四川大学华西医院国家老年疾病临床医学研究中心何金汗领衔的团队在 JEM 在线发表了题为 Feeding-induced hepatokine, Manf
The importance of antibody molecules was first recognized in the 1890s, when it was shown that immunity to tetanus and diphtheria was caused by antibodies against the bacterial exotoxins (1 ). Around the same time, it was shown that antisera
技术资料暂无技术资料 索取技术资料





![AEBP1 Conjugated Antibody[C40358]](https://img1.dxycdn.com/p/s14/2025/0923/278/4431488150116040791.jpg!wh200)
![ERO1L Antibody[39835]](https://img1.dxycdn.com/p/s14/2025/0922/568/0046652811090600791.jpg!wh200)
![GABPA Conjugated Antibody[C27675]](https://img1.dxycdn.com/p/s14/2025/0923/305/2150219664296040791.jpg!wh200)
![Endothelin 2 Polyclonal Antibody Biotin Conjugated[C90664Bio]](https://img1.dxycdn.com/p/s14/2025/0922/498/0460884283108299691.jpg!wh200)

