相关产品推荐更多 >
万千商家帮你免费找货
0 人在求购买到急需产品
- 详细信息
- 文献和实验
- 技术资料
- 免疫原:
Raised against a 16 amino acid peptide from near the amino terminus of human TIM-1.
- 形态:
liquid
- 保存条件:
Store at -20˚C
- 克隆性:
Polyclonal
- 适应物种:
Human;Mouse
- 保质期:
12 months
- 抗原来源:
Rabbit
- 供应商:
南京赛戈巍生物科技有限公司
- 宿主:
Rabbit
- 应用范围:
ELISA WB IHC
- 抗体英文名:
TIM-1 Antibody
- 规格:
50ul/100ul
配方:Supplied in PBS containing 0.02% sodium azide.
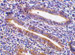
图片:

Western blot analysis of TIM-1 in human uterus tissue lysate with TIM-1 antibody at (A) 1 and (B) 2 ug/mL.
,

Immunohistochemistry of TIM-1 in human uterus tissue with TIM-1 antibody at 10 ug/mL.
风险提示:丁香通仅作为第三方平台,为商家信息发布提供平台空间。用户咨询产品时请注意保护个人信息及财产安全,合理判断,谨慎选购商品,商家和用户对交易行为负责。对于医疗器械类产品,请先查证核实企业经营资质和医疗器械产品注册证情况。
文献和实验希望各位大侠帮忙设计下CASPASE-3的REAL TIME PCR引物。以下是序列:1 atggacaaca acgaaacctc cgtggattca aaatccatta ataattttga aacaaagact61 atccatggaa gcaagtcgat ggactctgga atatatctgg acagcagtta caaaatggat121 taccctgaaa tgggcttgtg tataataatt aataataaga acttccataa aagcactgga
人 TIM-1 酶联免疫 分析( ELISA ) 试剂 盒使用说明书 本试剂仅供研究使用 目的:本试剂盒用于测定人血清,血浆及相关液体样本中 TIM-1 的 含量。 实验原理 : 本试剂盒应用 双抗体 夹心法测定 标本 中 人 TIM-1 水平。用纯化的 人 TIM-1 抗体 包被微孔板,制成固相 抗 体,往包被 单抗 的微孔中依次加入 TIM-1 ,再与HRP 标记的 TIM-1 抗体结合,形成抗体- 抗原 - 酶标抗体复合
人 TIM-3 酶联免疫 分析( ELISA ) 试剂 盒使用说明书 本试剂仅供研究使用 目的:本试剂盒用于测定人血清,血浆及相关液体样本中 TIM-3 的 含量。 实验原理 : 本试剂盒应用 双抗体 夹心法测定 标本 中 人 TIM-3 水平。用纯化的 人 TIM-3 抗体 包被微孔板,制成固相 抗 体,往包被 单抗 的微孔中依次加入 TIM-3 ,再与HRP 标记的 TIM-3 抗体结合,形成抗体- 抗原 - 酶标抗体复合
技术资料暂无技术资料 索取技术资料






![EIF5A Conjugated Antibody[C32552]](https://img1.dxycdn.com/p/s14/2025/0923/278/4431488150116040791.jpg!wh200)
![N4-Methylcytidine Polyclonal Antibody[29530]](https://img1.dxycdn.com/p/s14/2025/0923/305/2150219664296040791.jpg!wh200)
![EPCAM Antibody[SAB355]](https://img1.dxycdn.com/p/s14/2025/0922/498/0460884283108299691.jpg!wh200)

