相关产品推荐更多 >
万千商家帮你免费找货
0 人在求购买到急需产品
- 详细信息
- 文献和实验
- 技术资料
- 免疫原:
Raised against a peptide corresponding to 16 amino acids near the amino terminus of human TLR1.
- 形态:
liquid
- 保存条件:
Store at -20˚C
- 克隆性:
Polyclonal
- 适应物种:
Human;Mouse
- 保质期:
12 months
- 抗原来源:
Rabbit
- 供应商:
南京赛戈巍生物科技有限公司
- 宿主:
Rabbit
- 应用范围:
ELISA WB IHC
- 抗体英文名:
TLR1 Antibody
- 规格:
50ul/100ul
配方:Supplied in PBS containing 0.02% sodium azide.
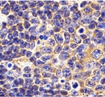
图片:

Western blot analysis of TLR1 in mouse spleen lysate with TLR1 antibody at (A) 1, (B) 2, and (C) 4 ug/mL.
,

Immunohistochemistry of TLR1 in mouse spleen tissue with TLR1 antibody at 10 ug/mL.
风险提示:丁香通仅作为第三方平台,为商家信息发布提供平台空间。用户咨询产品时请注意保护个人信息及财产安全,合理判断,谨慎选购商品,商家和用户对交易行为负责。对于医疗器械类产品,请先查证核实企业经营资质和医疗器械产品注册证情况。
文献和实验Generation of Antibody Molecules Through Antibody Engineering
been overcome to a large extent using genetic-engineering techniques to produce chimeric mouse/human and completely human antibodies. Such an approach is particularly suitable because of the domain structure of the antibody molecule ( 2 ), where functional
【进展|热点】TLR1/TLR2 Agonist Induces Tumor Regression by Reciprocal Modulation of Effector and Regulator
肿瘤效应,不是通过直接作用于固有免疫系统或抗原提呈细胞,而是通过抑制调节性T淋巴细胞功能,进而促进杀伤性T淋巴细胞的活性。该研究成果为转化医学及免疫‘生物治疗’奠定了坚实的基础。 The Journal of Immunology doi: 10.4049/jimmunol.1002320 TLR1/TLR2 Agonist Induces Tumor Regression by Reciprocal Modulation of Effector and Regulatory T
The importance of antibody molecules was first recognized in the 1890s, when it was shown that immunity to tetanus and diphtheria was caused by antibodies against the bacterial exotoxins (1 ). Around the same time, it was shown that antisera
技术资料暂无技术资料 索取技术资料





![ADP-ribosylation factor 4 Polyclonal Antibody[42173]](https://img1.dxycdn.com/p/s14/2025/0922/568/0046652811090600791.jpg!wh200)
![MTA2 Rabbit Polyclonal Antibody[53202]](https://img1.dxycdn.com/p/s14/2025/0922/498/0460884283108299691.jpg!wh200)
![ATF2(Phospho-T71) Conjugated Antibody[C13380]](https://img1.dxycdn.com/p/s14/2025/0923/278/4431488150116040791.jpg!wh200)
![5-HT-4 Antibody[34153]](https://img1.dxycdn.com/p/s14/2025/0922/359/6146153295428599691.jpg!wh200)

