相关产品推荐更多 >
万千商家帮你免费找货
0 人在求购买到急需产品
- 详细信息
- 文献和实验
- 技术资料
- 免疫原:
Raised against a peptide corresponding to 15 amino acids near the N terminus of human Bcl-2.
- 形态:
liquid
- 保存条件:
Store at -20˚C
- 克隆性:
Polyclonal
- 适应物种:
Human;Mouse;Rat
- 保质期:
12 months
- 抗原来源:
Rabbit
- 供应商:
南京赛戈巍生物科技有限公司
- 宿主:
Rabbit
- 应用范围:
ELISA WB IHC
- 抗体英文名:
Bcl-2 Antibody
- 规格:
50ul/100ul
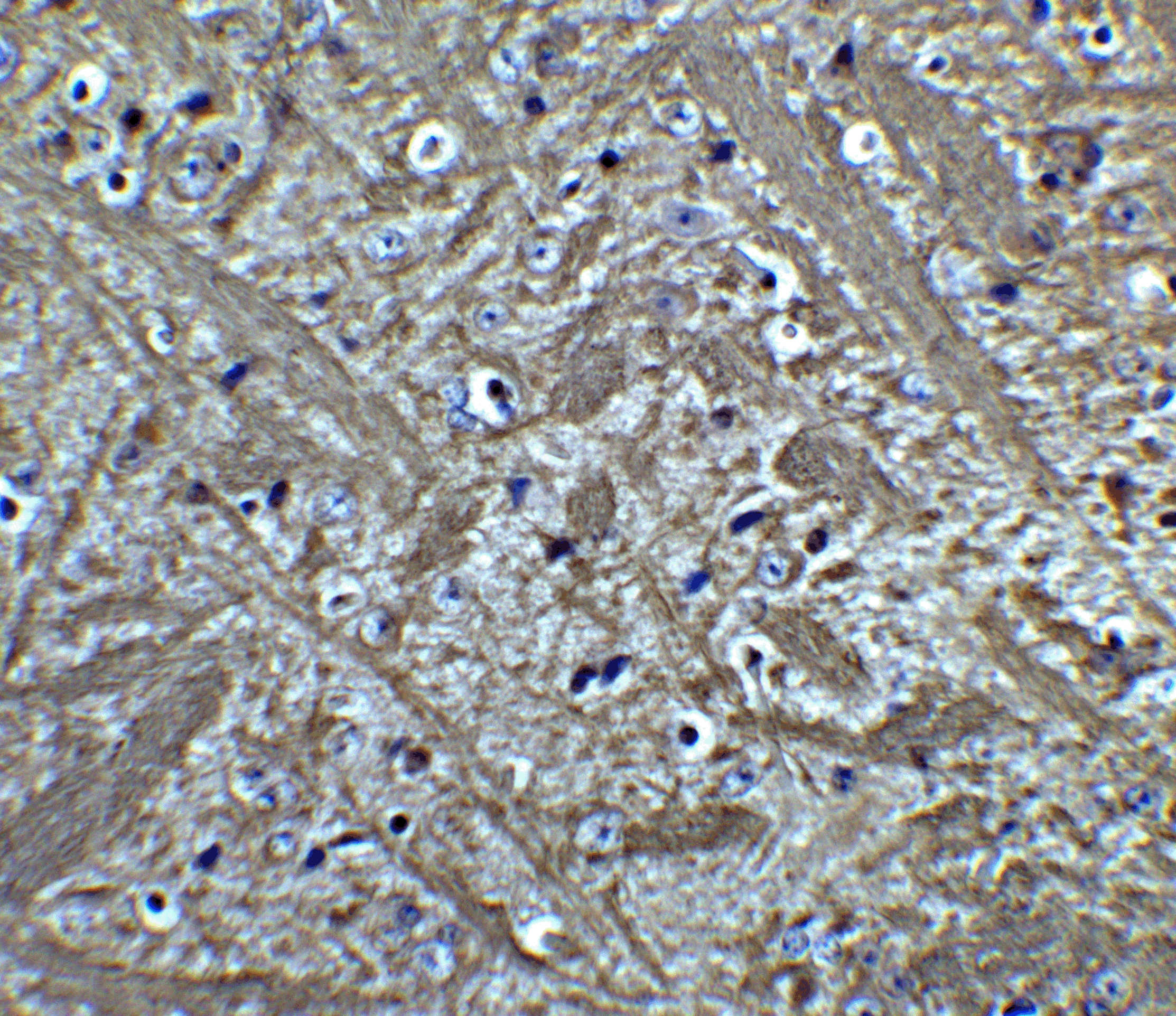
图片:

Western blot analysis of Bcl-2 in A-20 cell lysate with Bcl-2 antibody at (A) 1 and (B) 2 μg/mL.
,

Immunofluorescence of Bcl 2 in mouse brain tissue with Bcl 2 Antibodyat 20 μg/mL.
,

Immunohistochemistry of Bcl 2 in mouse brain tissue with Bcl 2 Antibodyat 5 μg/mL.
风险提示:丁香通仅作为第三方平台,为商家信息发布提供平台空间。用户咨询产品时请注意保护个人信息及财产安全,合理判断,谨慎选购商品,商家和用户对交易行为负责。对于医疗器械类产品,请先查证核实企业经营资质和医疗器械产品注册证情况。
文献和实验【求助】如果要证明Bcl-2和RARP活性,应该做什么实验?
eeflying 目前有两种化合物,分别为Bcl-2和PARP的抑制剂, 虽然这两个指标通常作为细胞凋亡的指标常用于分子生物实验, 但是,如何证明这两个分子被抑制的实验却第一次碰到, 请各位战友支招,我要直接检测哪个蛋白的WB 或者做什么实验合适? magichunter 用western检测bcl-2的含量变化,检测PARP活性裂解片段的含量变化以及原型态PARP的含量
Bcl-2蛋白是bcl-2 原癌基因的编码产物,是细胞存活促进因子,属膜整合蛋白,分子量为26kDa, 定位于线粒体、内质网和连续的核周膜。Bcl-2蛋白家族是一个特别的家族,成员中有些促进凋亡,如Bad、Bid 、Bax,有些成员阻止细胞凋亡,如Bcl-2、 Bcl-x、Bcl-w。Bcl-2能够阻止细胞色素c从线粒体释放到细胞质,从而抑制了细胞凋亡。
bcl-2 原癌基因(bcl-2 protooncogene)
人的B-淋巴细胞(B-cell lymphomas)中染色体易位激活的原癌基因。bcl即是B-淋巴细胞的英文缩写。该基因编码一种细胞质膜蛋白,能够抑制细胞的程序性死亡。bcl-2原癌基因与秀丽隐杆线虫的ced-9基因同源。
技术资料暂无技术资料 索取技术资料






![PUM1 Rabbit Polyclonal Antibody[54972]](https://img1.dxycdn.com/p/s14/2025/0922/498/0460884283108299691.jpg!wh200)
![YTHDC2 Polyclonal Antibody[28800]](https://img1.dxycdn.com/p/s14/2025/0923/305/2150219664296040791.jpg!wh200)
![CIB1 Conjugated Antibody[C37488]](https://img1.dxycdn.com/p/s14/2025/0923/278/4431488150116040791.jpg!wh200)

