相关产品推荐更多 >
万千商家帮你免费找货
0 人在求购买到急需产品
- 详细信息
- 技术资料
- 免疫原:
Recombinant protein fragment contain a sequence corresponding to a region within amino acids 1370 and 1669 (Q14999) of Cullin 7
- 形态:
liquid
- 保存条件:
Store at -20˚C
- 克隆性:
Polyclonal
- 适应物种:
Human
- 保质期:
12 months
- 抗原来源:
Rabbit
- 供应商:
南京赛戈巍生物科技有限公司
- 宿主:
Rabbit
- 应用范围:
WB IHC IF
- 抗体英文名:
Cullin-7 antibody
- 规格:
50ul/100ul
配方:Supplied in 0.1M Tris-buffered saline with 20% Glycerol (pH7.0). 0.01% Thimerosal was added as a preservative.
应用详情:Predicted MW: 191kd
Western blotting: 1:500-1:3000
Immunohistochemistry: 1:100-1:250
Immunofluorescence: 1:100-1:200
图片:
应用详情:Predicted MW: 191kd
Western blotting: 1:500-1:3000
Immunohistochemistry: 1:100-1:250
Immunofluorescence: 1:100-1:200
图片:

Sample (30 ug of whole cell lysate)
A: Molt-4
7.5% SDS PAGE
Primary antibody diluted at 1: 1000
,

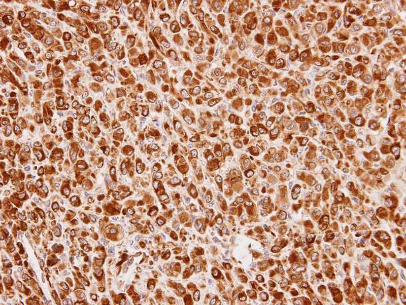
Immunohistochemical analysis of paraffin-embedded U87 xenograft, using Cullin 7 antibody at 1: 100 dilution.
,

Immunofluorescence analysis of methanol-fixed HeLa, using Cullin 7 antibody at 1: 200 dilution.
风险提示:丁香通仅作为第三方平台,为商家信息发布提供平台空间。用户咨询产品时请注意保护个人信息及财产安全,合理判断,谨慎选购商品,商家和用户对交易行为负责。对于医疗器械类产品,请先查证核实企业经营资质和医疗器械产品注册证情况。
技术资料暂无技术资料 索取技术资料
Cullin-7 antibody
询价





![GSTT1 Polyclonal Antibody HRP Conjugated[C90958HRP]](https://img1.dxycdn.com/p/s14/2025/0922/498/0460884283108299691.jpg!wh200)

![SETD7 Conjugated Antibody[C31797]](https://img1.dxycdn.com/p/s14/2025/0923/305/2150219664296040791.jpg!wh200)
