相关产品推荐更多 >
万千商家帮你免费找货
0 人在求购买到急需产品
- 详细信息
- 技术资料
- 免疫原:
Fusion protein of human WASL
- 形态:
liquid
- 保存条件:
Store at -20˚C
- 克隆性:
Polyclonal
- 适应物种:
Human
- 保质期:
12 months
- 抗原来源:
Rabbit
- 供应商:
南京赛戈巍生物科技有限公司
- 宿主:
Rabbit
- 应用范围:
WB IHC
- 靶点:
Uniprot:O00401
- 抗体英文名:
WASL Antibody
- 规格:
50ul/100ul
别名:NWASP; N-WASP
计算分子量:55kd
配方:Rabbit IgG in pH7.4 PBS, 0.05% NaN3, 40% Glycerol.
应用详情:Western blotting: 1:500-1:2000
Immunohistochemistry: 1:25-1:100
图片:
计算分子量:55kd
配方:Rabbit IgG in pH7.4 PBS, 0.05% NaN3, 40% Glycerol.
应用详情:Western blotting: 1:500-1:2000
Immunohistochemistry: 1:25-1:100
图片:
![WASL Antibody[43021]](https://img1.dxycdn.com/p/s14/2025/0922/864/2118164989388600791.jpg)
Gel: 8%SDS-PAGE
Lysate: 40 μg
Lane 1-4: K562, hela, A172 and 231 cell
Primary antibody: 1/400 dilution
Secondary antibody: Goat anti rabbit IgG at 1/8000 dilution
Exposure time: 5 seconds
,
![WASL Antibody[43021]](https://img1.dxycdn.com/p/s14/2025/0922/742/0618668880488600791.jpg)
Immunohistochemical analysis of paraffin-embedded Human prostate cancer tissue using #43021 at dilution 1/20.
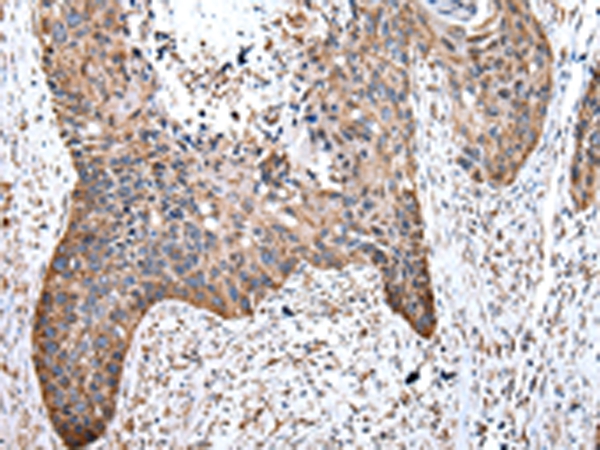
,
![WASL Antibody[43021]](https://img1.dxycdn.com/p/s14/2025/0922/141/0483217390488600791.jpg)
Immunohistochemical analysis of paraffin-embedded Human esophagus cancer tissue using #43021 at dilution 1/20.
风险提示:丁香通仅作为第三方平台,为商家信息发布提供平台空间。用户咨询产品时请注意保护个人信息及财产安全,合理判断,谨慎选购商品,商家和用户对交易行为负责。对于医疗器械类产品,请先查证核实企业经营资质和医疗器械产品注册证情况。
技术资料暂无技术资料 索取技术资料
WASL Antibody[43021]
询价


![WASL Antibody[43021]](https://img1.dxycdn.com/p/s14/2025/0922/568/0046652811090600791.jpg)


![CERS5 Conjugated Antibody[C37697]](https://img1.dxycdn.com/p/s14/2025/0923/278/4431488150116040791.jpg!wh200)
![SFXN1 Antibody[43557]](https://img1.dxycdn.com/p/s14/2025/0922/568/0046652811090600791.jpg!wh200)
![FLJ20259 Antibody[62107]](https://img1.dxycdn.com/p/s14/2025/0922/632/2321321568067599691.jpg!wh200)
