相关产品推荐更多 >
万千商家帮你免费找货
0 人在求购买到急需产品
- 详细信息
- 询价记录
- 技术资料
- 免疫原:
Full length fusion protein of human EEF1E1
- 形态:
liquid
- 保存条件:
Store at -20˚C
- 克隆性:
Polyclonal
- 适应物种:
Human
- 保质期:
12 months
- 抗原来源:
Rabbit
- 供应商:
南京赛戈巍生物科技有限公司
- 宿主:
Rabbit
- 应用范围:
WB IHC
- 靶点:
Uniprot:O43324
- 抗体英文名:
EEF1E1 Antibody
- 规格:
50ul/100ul
计算分子量:20kd
配方:Rabbit IgG in pH7.4 PBS, 0.05% NaN3, 40% Glycerol.
应用详情:Western blotting: 1:500-1:2000
Immunohistochemistry: 1:25-1:100
图片:
![EEF1E1 Antibody[42964]](https://img1.dxycdn.com/p/s14/2025/0922/183/2135233988068600791.jpg)
Gel: 12%SDS-PAGE
Lysate: 40 μg
Lane 1-6: A431 cell£?Hepg2 cell£?293T cell£?Human testis tissue£?Jurkat and A549 cell
Primary antibody: 1/300 dilution
Secondary antibody: Goat anti rabbit IgG at 1/8000 dilution
Exposure time: 2 seconds
,
![EEF1E1 Antibody[42964]](https://img1.dxycdn.com/p/s14/2025/0922/570/8212116941168600791.jpg)
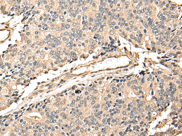
Immunohistochemical analysis of paraffin-embedded Human prostate cancer tissue using #42964 at dilution 1/25.
,
![EEF1E1 Antibody[42964]](https://img1.dxycdn.com/p/s14/2025/0922/015/8841135690168600791.jpg)
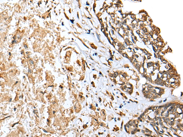
Immunohistochemical analysis of paraffin-embedded Human esophagus cancer tissue using #42964 at dilution 1/25.
风险提示:丁香通仅作为第三方平台,为商家信息发布提供平台空间。用户咨询产品时请注意保护个人信息及财产安全,合理判断,谨慎选购商品,商家和用户对交易行为负责。对于医疗器械类产品,请先查证核实企业经营资质和医疗器械产品注册证情况。
- 作者
- 内容
- 询问日期
技术资料暂无技术资料 索取技术资料


![EEF1E1 Antibody[42964]](https://img1.dxycdn.com/p/s14/2025/0922/568/0046652811090600791.jpg)



![ALPP Rabbit Polyclonal Antibody[54993]](https://img1.dxycdn.com/p/s14/2025/0922/498/0460884283108299691.jpg!wh200)
![CTSS Antibody[43650]](https://img1.dxycdn.com/p/s14/2025/0922/568/0046652811090600791.jpg!wh200)
![MRPL9 Antibody[34326]](https://img1.dxycdn.com/p/s14/2025/0922/359/6146153295428599691.jpg!wh200)
![SMCHD1 Conjugated Antibody[C56679]](https://img1.dxycdn.com/p/s14/2025/0922/632/2321321568067599691.jpg!wh200)
