相关产品推荐更多 >
万千商家帮你免费找货
0 人在求购买到急需产品
- 详细信息
- 技术资料
- 免疫原:
Full length fusion protein of human HIF1AN
- 形态:
liquid
- 保存条件:
Store at -20˚C
- 克隆性:
Polyclonal
- 适应物种:
Human
- 保质期:
12 months
- 抗原来源:
Rabbit
- 供应商:
南京赛戈巍生物科技有限公司
- 宿主:
Rabbit
- 应用范围:
WB IHC
- 靶点:
Uniprot:Q9NWT6
- 抗体英文名:
HIF1AN Antibody
- 规格:
50ul/100ul
别名:FIH1
计算分子量:40kd
配方:Rabbit IgG in pH7.4 PBS, 0.05% NaN3, 40% Glycerol.
应用详情:Western blotting: 1:200-1:1000
Immunohistochemistry: 1:10-1:50
图片:
计算分子量:40kd
配方:Rabbit IgG in pH7.4 PBS, 0.05% NaN3, 40% Glycerol.
应用详情:Western blotting: 1:200-1:1000
Immunohistochemistry: 1:10-1:50
图片:
![HIF1AN Antibody[42894]](https://img1.dxycdn.com/p/s14/2025/0922/843/4684021999238600791.jpg)
Gel: 12%SDS-PAGE
Lysate: 40 μg
Lane: Human fetal muscle tissue
Primary antibody: 1/300 dilution
Secondary antibody: Goat anti rabbit IgG at 1/8000 dilution
Exposure time: 1 minute
,
![HIF1AN Antibody[42894]](https://img1.dxycdn.com/p/s14/2025/0922/424/6984431982338600791.jpg)
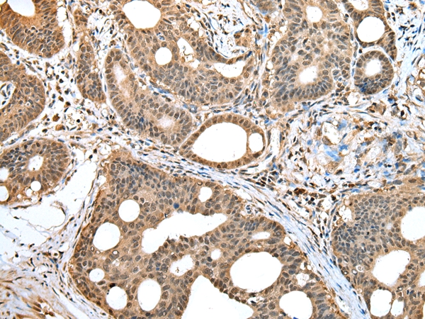
Immunohistochemical analysis of paraffin-embedded Human gastric cancer tissue using #42894 at dilution 1/25.
,
![HIF1AN Antibody[42894]](https://img1.dxycdn.com/p/s14/2025/0922/439/4205070292338600791.jpg)
Immunohistochemical analysis of paraffin-embedded Human tonsil tissue using #42894 at dilution 1/25.
风险提示:丁香通仅作为第三方平台,为商家信息发布提供平台空间。用户咨询产品时请注意保护个人信息及财产安全,合理判断,谨慎选购商品,商家和用户对交易行为负责。对于医疗器械类产品,请先查证核实企业经营资质和医疗器械产品注册证情况。
技术资料暂无技术资料 索取技术资料
HIF1AN Antibody[42894]
询价


![HIF1AN Antibody[42894]](https://img1.dxycdn.com/p/s14/2025/0922/568/0046652811090600791.jpg)


![DCP1A Conjugated Antibody[C36402]](https://img1.dxycdn.com/p/s14/2025/0923/278/4431488150116040791.jpg!wh200)
![NUDT12 Antibody[43374]](https://img1.dxycdn.com/p/s14/2025/0922/568/0046652811090600791.jpg!wh200)
![APP Mouse mAb[63083]](https://img1.dxycdn.com/p/s14/2025/0922/632/2321321568067599691.jpg!wh200)
![DCLK2 Antibody[33967]](https://img1.dxycdn.com/p/s14/2025/0922/359/6146153295428599691.jpg!wh200)
