相关产品推荐更多 >
万千商家帮你免费找货
0 人在求购买到急需产品
- 详细信息
- 文献和实验
- 技术资料
- 免疫原:
Recombinant human 60 kDa SS-A/Ro ribonucleoprotein protein
- 形态:
liquid
- 保存条件:
Store at -20˚C
- 克隆性:
Polyclonal
- 适应物种:
Human
- 保质期:
12 months
- 抗原来源:
Rabbit
- 供应商:
南京赛戈巍生物科技有限公司
- 宿主:
Rabbit
- 应用范围:
WB
- 靶点:
Uniprot:P10155
- 抗体英文名:
60 kDa SS-A/Ro ribonucleoprotein Polyclonal Antibody
- 规格:
50ul/100ul
计算分子量:61kd
配方:Preservative: 0.03% Proclin 300 Constituents: 50% Glycerol, 0.01M PBS, PH 7.4
应用详情:Western blotting: 1:500 - 1:1000
Immunohistochemistry: 1:20 - 1:200
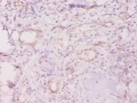
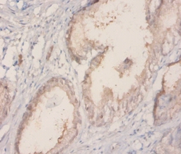
图片:

All lanes:60 kDa SS-A/Ro ribonucleoprotein antibody at 2ug/ml Lane 1:Hela whole cell lysate Lane 2:293T whole cell lysate secondary Goat polyclonal to rabbit at 1/10000 dilution predicted band size :61kDa observed band size :61kDa
,

Immunohistochemical analysis of paraffin-embedded humankiney using #42572 at dilution of 1:20.
,

Immunohistochemical analysis of paraffin-embedded humanprostate using #42572 at dilution of 1:20.
风险提示:丁香通仅作为第三方平台,为商家信息发布提供平台空间。用户咨询产品时请注意保护个人信息及财产安全,合理判断,谨慎选购商品,商家和用户对交易行为负责。对于医疗器械类产品,请先查证核实企业经营资质和医疗器械产品注册证情况。
文献和实验Polyclonal Antibody Production
Your antigen should at least have a molecular weight of 20 KDa for development of a strong immune response in animals. If it is a small protein , it can be linked to a larger protein by chemical methods
Polyclonal Antibody Production
Polyclonal Antibody Production Very useful for rapid and simple generation of antibodies for western blots, ELISA assays, and immunoprecipitation. Rabbit Immunization Initial Preparation Your antigen
Polyclonal and Monoclonal Antibodies
Polyclonal Antibody Immunization of Mice: Injections should be made at intervals of at least two weeks.. We have been using either of the two following adjuvants with success: Freund adjuvant and MPL+TDM adjuvant ( RIBI ImmunoChem
技术资料暂无技术资料 索取技术资料





![ACOT12 Antibody[34380]](https://img1.dxycdn.com/p/s14/2025/0922/359/6146153295428599691.jpg!wh200)

![FASTKD5 Conjugated Antibody[C36469]](https://img1.dxycdn.com/p/s14/2025/0923/278/4431488150116040791.jpg!wh200)

