相关产品推荐更多 >
万千商家帮你免费找货
0 人在求购买到急需产品
- 详细信息
- 文献和实验
- 技术资料
- 免疫原:
Recombinant human Complement C3 protein
- 形态:
liquid
- 保存条件:
Store at -20˚C
- 克隆性:
Polyclonal
- 适应物种:
Human
- 保质期:
12 months
- 抗原来源:
Rabbit
- 供应商:
南京赛戈巍生物科技有限公司
- 宿主:
Rabbit
- 应用范围:
IHC
- 靶点:
Uniprot:P01024
- 抗体英文名:
Complement C3 Polyclonal Antibody;
- 规格:
50ul/100ul
配方:Preservative: 0.03% Proclin 300 Constituents: 50% Glycerol, 0.01M PBS, PH 7.4
应用详情:
Immunohistochemistry: 1:20 - 1:200
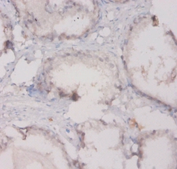
图片:

Immunohistochemical analysis of paraffin-embedded human prostate using #42525 at dilution of 1:20.
风险提示:丁香通仅作为第三方平台,为商家信息发布提供平台空间。用户咨询产品时请注意保护个人信息及财产安全,合理判断,谨慎选购商品,商家和用户对交易行为负责。对于医疗器械类产品,请先查证核实企业经营资质和医疗器械产品注册证情况。
文献和实验Polyclonal Antibody Production
to inactivate complement. Ring the inside walls of the tube with a glass pipet and place at 4 °C overnight to clot. Decant the clotted blood into a centrifuge tube and centrifuge at 4 °C 10,000g for 10
Polyclonal Antibody Production
Polyclonal Antibody Production Very useful for rapid and simple generation of antibodies for western blots, ELISA assays, and immunoprecipitation. Rabbit Immunization Initial Preparation Your antigen
Purification and Characterization of Human and Mouse Complement C3
Complement component C3 is the most abundant complement protein in plasma, central to all three complement activation pathways and essential to complement amplification. Thus, it is one of the most extensively studied complement proteins
技术资料暂无技术资料 索取技术资料





![CD97 Conjugated Antibody[C56568]](https://img1.dxycdn.com/p/s14/2025/0922/632/2321321568067599691.jpg!wh200)
![RIG-I / DDX58 Polyclonal Antibody[27992]](https://img1.dxycdn.com/p/s14/2025/0923/305/2150219664296040791.jpg!wh200)
![TFF1 Antibody[35953]](https://img1.dxycdn.com/p/s14/2025/0922/359/6146153295428599691.jpg!wh200)
