相关产品推荐更多 >
万千商家帮你免费找货
0 人在求购买到急需产品
- 详细信息
- 文献和实验
- 技术资料
- 免疫原:
Recombinant Human Cell surface glycoprotein MUC18 Protein
- 形态:
liquid
- 保存条件:
Store at -20˚C
- 克隆性:
Polyclonal
- 适应物种:
Human
- 保质期:
12 months
- 抗原来源:
Rabbit
- 供应商:
南京赛戈巍生物科技有限公司
- 宿主:
Rabbit
- 应用范围:
IHC
- 靶点:
Uniprot:P43121
- 抗体英文名:
Cell surface glycoprotein MUC18 Polyclonal Antibody
- 规格:
50ul/100ul
配方:Preservative: 0.03% Proclin 300 Constituents: 50% Glycerol, 0.01M PBS, PH 7.4
应用详情:
Immunohistochemistry: 1:20 - 1:200
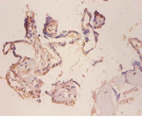
图片:

Immunohistochemical analysis of paraffin-embedded human placenta using #42523 at dilution of 1:100.
风险提示:丁香通仅作为第三方平台,为商家信息发布提供平台空间。用户咨询产品时请注意保护个人信息及财产安全,合理判断,谨慎选购商品,商家和用户对交易行为负责。对于医疗器械类产品,请先查证核实企业经营资质和医疗器械产品注册证情况。
文献和实验Polyclonal Antibody Production
in your eyes, or anywhere else. Calmly take the rabbit out of its cage, reassuringly petting it. There is no need for a restrainer. Place on a flat surface for the injection. With a 1 mL syringe, draw in 1 mL of your antigen
Polyclonal Antibody Production
Polyclonal Antibody Production Very useful for rapid and simple generation of antibodies for western blots, ELISA assays, and immunoprecipitation. Rabbit Immunization Initial Preparation Your antigen
Antibody Affinity Optimization Using Yeast Cell Surface Display
technologies, in general, and yeast surface display, in particular, allow specific traits of a given antibody to be discreetly augmented to enhance biosensor performance. Large variegated libraries derived from existing antibodies already employed
技术资料暂无技术资料 索取技术资料






![hnRNP K Polyclonal Conjugated Antibody[C41026]](https://img1.dxycdn.com/p/s14/2025/0923/278/4431488150116040791.jpg!wh200)
![TJP2 Polyclonal Antibody[27233]](https://img1.dxycdn.com/p/s14/2025/0923/305/2150219664296040791.jpg!wh200)
![CD8 Polyclonal Antibody PE-Cy7 Conjugated[C90571PE-Cy7]](https://img1.dxycdn.com/p/s14/2025/0922/498/0460884283108299691.jpg!wh200)

