相关产品推荐更多 >
万千商家帮你免费找货
0 人在求购买到急需产品
- 详细信息
- 文献和实验
- 技术资料
- 免疫原:
Recombinant human X-ray repair cross-complementing protein 6 ptotein
- 形态:
liquid
- 保存条件:
Store at -20˚C
- 克隆性:
Polyclonal
- 适应物种:
Human
- 保质期:
12 months
- 抗原来源:
Rabbit
- 供应商:
南京赛戈巍生物科技有限公司
- 宿主:
Rabbit
- 应用范围:
WB IHC
- 靶点:
Uniprot:P12956
- 抗体英文名:
X-ray repair cross-complementing protein 6 Polyclonal Antibody
- 规格:
50ul/100ul
计算分子量:70kd
配方:Preservative: 0.03% Proclin 300 Constituents: 50% Glycerol, 0.01M PBS, PH 7.4
应用详情:Western blotting: 1:500 - 1:1000
Immunohistochemistry: 1:20 - 1:200
图片:

All lanes:X-ray repair cross-complementing protein 6 antibody at 2ug/ml Lane 1:Hela whole cell lysate Lane 2:A549 whole cell lysate secondary Goat polyclonal to rabbit at 1/10000 dilution predicted band size :70kDa observed band size :70kDa
,

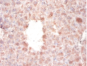
Immunohistochemical analysis of paraffin-embedded mouse liver tissue using #42275 at dilution of 1:100.
,

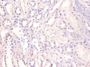
Immunohistochemical analysis of paraffin-embedded human kidney tissue using #42275 at dilution of 1:100.
,

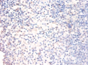
Immunohistochemical analysis of paraffin-embedded human spleen tissue using #42275 at dilution of 1:100.
风险提示:丁香通仅作为第三方平台,为商家信息发布提供平台空间。用户咨询产品时请注意保护个人信息及财产安全,合理判断,谨慎选购商品,商家和用户对交易行为负责。对于医疗器械类产品,请先查证核实企业经营资质和医疗器械产品注册证情况。
文献和实验Generation of Plant Protein Microarrays and Investigation of Antigen-Antibody Interactions
we describe a method to generate plant protein microarrays and to use them for characterizing monoclonal antibodies or polyclonal sera with regard to their specificity and cross-reactivity. The method starts with characterized E. coli cDNA expression clones encoding
Epitope Mapping: Identiflcation of Antibody- Binding Sites on Protein Antigens
), though it can be done with polyclonal antisera in a rather less rigorous way, bearing in mind that antisera behave as mixtures of MAbs. Mapping can be done directly by X-ray crystallography of antibody-antigen complexes, but it can also be done by changing individual ammo-acids
Analysis of Alterations in a Base-Excision Repair Gene in Lung Cancer
; Proliferating Cell Nuclear Antigen, PCNA; X-Ray Cross Complementing 1, XRCC1, Xeroderma Pigmentosum, XP; Base-excision repair, BER; Nucleotide excision repair, NER.
技术资料暂无技术资料 索取技术资料





![CBLN4 Conjugated Antibody[C34573]](https://img1.dxycdn.com/p/s14/2025/0923/278/4431488150116040791.jpg!wh200)
![LC3 Polyclonal Antibody APC Conjugated[C92732APC]](https://img1.dxycdn.com/p/s14/2025/0922/498/0460884283108299691.jpg!wh200)
![G-protein coupled receptor 161 Polyclonal Antibody[42408]](https://img1.dxycdn.com/p/s14/2025/0922/568/0046652811090600791.jpg!wh200)
![SEMA5B Polyclonal Antibody[28364]](https://img1.dxycdn.com/p/s14/2025/0923/305/2150219664296040791.jpg!wh200)

