相关产品推荐更多 >
万千商家帮你免费找货
0 人在求购买到急需产品
- 详细信息
- 文献和实验
- 技术资料
- 免疫原:
Recombinant human V-type proton ATPase subunit F
- 形态:
liquid
- 保存条件:
Store at -20˚C
- 克隆性:
Polyclonal
- 适应物种:
Human
- 保质期:
12 months
- 抗原来源:
Rabbit
- 供应商:
南京赛戈巍生物科技有限公司
- 宿主:
Rabbit
- 应用范围:
IHC
- 靶点:
Uniprot:Q16864
- 抗体英文名:
V-type proton ATPase subunit F Polyclonal Antibody
- 规格:
50ul/100ul
配方:Preservative: 0.03% Proclin 300 Constituents: 50% Glycerol, 0.01M PBS, PH 7.4
应用详情:
Immunohistochemistry: 1:20 - 1:200
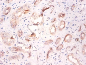
图片:

Immunohistochemical analysis of paraffin-embeded human stomach using #42272 at dilution of 1:100.
风险提示:丁香通仅作为第三方平台,为商家信息发布提供平台空间。用户咨询产品时请注意保护个人信息及财产安全,合理判断,谨慎选购商品,商家和用户对交易行为负责。对于医疗器械类产品,请先查证核实企业经营资质和医疗器械产品注册证情况。
文献和实验Polyclonal and Monoclonal Antibodies
Polyclonal Antibody Immunization of Mice: Injections should be made at intervals of at least two weeks.. We have been using either of the two following adjuvants with success: Freund adjuvant and MPL+TDM adjuvant ( RIBI ImmunoChem
Single-Molecule Observation of Rotation of F1-ATPase Through Microbeads
, and is thus called F1 -ATPase. Rotation of a shaft domain in F0 F1 -ATP synthase has been hypothesized by Paul Boyer, and ultimately was confirmed by direct observation as rotation of the γ-subunit in an isolated α3 β3 γ subcomplex. Unitary turnover of ATP induces 120�
Application of Amide Proton Exchange Mass Spectrometry for the Study of Protein‐Protein Interactions
describes amide proton exchange experiments that probe for changes in solvent accessibility at protein?protein interfaces. The simplest version of the protocol, termed the ?on?exchange? experiment, detects protein?protein interfaces by taking advantage
技术资料暂无技术资料 索取技术资料






![Phospho-NF-kB p65 (S529) Rabbit mAb[13347]](https://img1.dxycdn.com/p/s14/2025/0923/496/0462304380155040791.jpg!wh200)
![HOXA4 Antibody[36924]](https://img1.dxycdn.com/p/s14/2025/0922/359/6146153295428599691.jpg!wh200)

