相关产品推荐更多 >
万千商家帮你免费找货
0 人在求购买到急需产品
- 详细信息
- 技术资料
- 免疫原:
Recombinant human 14-3-3 protein beta/alpha protein
- 形态:
liquid
- 保存条件:
Store at -20˚C
- 克隆性:
Polyclonal
- 适应物种:
Human;Mouse;Rat
- 保质期:
12 months
- 抗原来源:
Rabbit
- 供应商:
南京赛戈巍生物科技有限公司
- 宿主:
Rabbit
- 应用范围:
WB IHC
- 靶点:
Uniprot:P31946
- 抗体英文名:
14-3-3 protein beta/alpha Polyclonal Antibody
- 规格:
50ul/100ul
别名:Protein 1054, Protein kinase C inhibitor protein 1, KCIP-1, 14-3-3 protein beta/alpha, N-terminally processed
计算分子量:27kd
配方:Preservative: 0.03% Proclin 300 Constituents: 50% Glycerol, 0.01M PBS, PH 7.4
应用详情:Western blotting: 1:500 - 1:1000
Immunohistochemistry: 1:20 - 1:200
图片:
计算分子量:27kd
配方:Preservative: 0.03% Proclin 300 Constituents: 50% Glycerol, 0.01M PBS, PH 7.4
应用详情:Western blotting: 1:500 - 1:1000
Immunohistochemistry: 1:20 - 1:200
图片:

All lanes : 14-3-3 protein beta/alpha antibody at 2ug/ml Lane 1 : 293T whole cell lysate Lane 2 : EC109 whole cell lysate SecondaryGoat polyclonal to Rabbit IgG at 1/15000 dilution Predicted band size : 27 kDa Observed band size:27 kDa
,

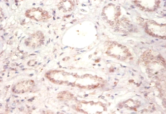
Immunohistochemical analysis of paraffin-embeded human kidney using #42265 at dilution of 1:50.
风险提示:丁香通仅作为第三方平台,为商家信息发布提供平台空间。用户咨询产品时请注意保护个人信息及财产安全,合理判断,谨慎选购商品,商家和用户对交易行为负责。对于医疗器械类产品,请先查证核实企业经营资质和医疗器械产品注册证情况。
技术资料暂无技术资料 索取技术资料
14-3-3 protein beta/alpha Polyclonal Antibody[42265]
询价


![14-3-3 protein beta/alpha Polyclonal Antibody[42265]](https://img1.dxycdn.com/p/s14/2025/0922/568/0046652811090600791.jpg)


![UNC93B1 Antibody[43838]](https://img1.dxycdn.com/p/s14/2025/0922/568/0046652811090600791.jpg!wh200)
![NSUN5 Rabbit pAb[62026]](https://img1.dxycdn.com/p/s14/2025/0922/632/2321321568067599691.jpg!wh200)

